WFDC2 Antibody
-
中文名稱:WFDC2兔多克隆抗體
-
貨號:CSB-PA09794A0Rb
-
規格:¥440
-
圖片:
-
Western Blot
Positive WB detected in: HepG2 whole cell lysate, Mouse heart tissue
All lanes: WFDC2 antibody at 4µg/ml
Secondary
Goat polyclonal to rabbit IgG at 1/50000 dilution
Predicted band size: 13, 9, 12 kDa
Observed band size: 13 kDa -
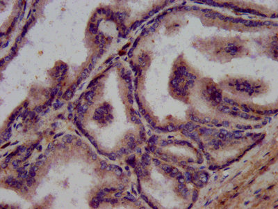
IHC image of CSB-PA09794A0Rb diluted at 1:200 and staining in paraffin-embedded human ovarian cancer performed on a Leica BondTM system. After dewaxing and hydration, antigen retrieval was mediated by high pressure in a citrate buffer (pH 6.0). Section was blocked with 10% normal goat serum 30min at RT. Then primary antibody (1% BSA) was incubated at 4°C overnight. The primary is detected by a biotinylated secondary antibody and visualized using an HRP conjugated SP system.
-
Immunofluorescent analysis of MCF-7 cells using CSB-PA09794A0Rb at dilution of 1:100 and Alexa Fluor 488-congugated AffiniPure Goat Anti-Rabbit IgG(H+L)
-
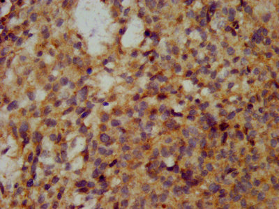
IHC image of CSB-PA09794A0Rb diluted at 1:200 and staining in paraffin-embedded human prostate tissue performed on a Leica BondTM system. After dewaxing and hydration, antigen retrieval was mediated by high pressure in a citrate buffer (pH 6.0). Section was blocked with 10% normal goat serum 30min at RT. Then primary antibody (1% BSA) was incubated at 4°C overnight. The primary is detected by a biotinylated secondary antibody and visualized using an HRP conjugated SP system.
-
-
其他:
產品詳情
-
產品名稱:Rabbit anti-Homo sapiens (Human) WFDC2 Polyclonal antibody
-
Uniprot No.:
-
基因名:WFDC2
-
別名:dJ461P17.6 antibody; EDDM4 antibody; epididymal protein 4 antibody; Epididymal secretory protein E4 antibody; Epididymis specific whey acidic protein type four disulfide core antibody; HE 4 antibody; Major epididymis specific protein E4 antibody; Major epididymis-specific protein E4 antibody; MGC57529 antibody; Putative protease inhibitor WAP5 antibody; WAP 5 antibody; WAP domain containing protein HE4 antibody; WAP domain containing protein HE4 V4 antibody; WAP four disulfide core domain 2 antibody; WAP four disulfide core domain protein 2 antibody; WAP four-disulfide core domain protein 2 antibody; WAP5 antibody; WFDC 2 antibody; WFDC2 antibody; WFDC2_HUMAN antibody
-
宿主:Rabbit
-
反應種屬:Human, Mouse
-
免疫原:Recombinant Human WAP four-disulfide core domain protein 2 protein (31-124AA)
-
免疫原種屬:Homo sapiens (Human)
-
標記方式:Non-conjugated
本頁面中的產品,WFDC2 Antibody (CSB-PA09794A0Rb),的標記方式是Non-conjugated。對于WFDC2 Antibody,我們還提供其他標記。見下表:
-
克隆類型:Polyclonal
-
抗體亞型:IgG
-
純化方式:>95%, Protein G purified
-
濃度:It differs from different batches. Please contact us to confirm it.
-
保存緩沖液:Preservative: 0.03% Proclin 300
Constituents: 50% Glycerol, 0.01M PBS, PH 7.4 -
產品提供形式:Liquid
-
應用范圍:ELISA, WB, IHC, IF
-
推薦稀釋比:
Application Recommended Dilution WB 1:500-1:2000 IHC 1:200-1:500 IF 1:50-1:200 -
Protocols:
-
儲存條件:Upon receipt, store at -20°C or -80°C. Avoid repeated freeze.
-
貨期:Basically, we can dispatch the products out in 1-3 working days after receiving your orders. Delivery time maybe differs from different purchasing way or location, please kindly consult your local distributors for specific delivery time.
-
用途:For Research Use Only. Not for use in diagnostic or therapeutic procedures.
相關產品
靶點詳情
-
功能:Broad range protease inhibitor.
-
基因功能參考文獻:
- These results may be commented as HE4 expression rises in patients with HER2/neu amplification. PMID: 30004048
- Serum HE4 with its high specificity is useful in ruling out ovarian malignancy especially among the premenopausal women and Risk of Ovarian Malignancy Algorithm (ROMA)which is the combination of both serum CA 125 and HE4, appears to be an all-rounder with overall good sensitivity and specificity especially among the postmenopausal women. PMID: 30063463
- CA125 appears the most reliable biomarker for OC monitoring, whereas HE4 contributes additional information only in a minority of cases PMID: 30125544
- level of HE4 might predict chemoresistance and the possibility of ascites formation. The determination of the expression of HE4 alone or combined with CA125 levels in both serum and ascites in ovarian cancer patients with ascites may have important significance for guiding and improving the treatment PMID: 29903044
- Elevated serum HE4 in SLE patients is significantly associated with a higher risk of incidence for lupus nephritis (LN), and may be a useful predictor for developing LN. PMID: 29747124
- HE4 has the potential to be used as a novel clinical biomarker for evaluating kidney function and predicting renal fibrosis in kidney transplant recipients PMID: 29738696
- A panel of three tumor markers CYFRA 21.1, HE4 and ProGRP may play a role for discriminating LC from benign lung disease and subtyping as SCLC. PMID: 29729229
- Serum Smac expression level was significantly lower in the EAOC group than in the control group and benign ovarian tumor group (P< 0.05), while HE4 and CA125 expression levels were significantly higher in the EAOC group than the other two groups. PMID: 29226858
- This study demonstrated that altered expression of HE4 may involve in tumorigenesis in the uterine cervix. Our findings also suggested the presence of a correlation between HE4 expression and the invasive potential of uterine tumors. Therefore it may be thought that the tissue expression of HE4 can be used to differentiate high grade intraepithelial tumors from carcinomas. PMID: 28326512
- Use of HE4 instead of CA125 did not significantly improve diagnostic performance of risk of malignancy indices 1-4 in patients with an adnexal mass PMID: 29238719
- The significant effect of the normalization of the HE4 marker after therapy and 50% reduction of HE4 levels before interval cytoreductive surgery on PFS and OS confirmed that HE4 might be an independent prognostic factor of treatment response. PMID: 29584739
- HE4 could help with the differentiation of prognostically varied patient groups as well as with the decision-making process associated with the development of individual treatment plans PMID: 29786997
- Studied serum levels of Parkinson's disease-associated protein 7 (DJ-1) and human epididymis protein 4 (HE4) in endometrial cancer (EC) patients and healthy controls. The median serum concentrations of DJ-1 and HE4 were found to be significantly higher in EC patients compared to controls. PMID: 28374920
- HE4 is a biomarker for ovarian cancer recurrence [review] PMID: 28825178
- Numerous studies indicated that HE4 is able to promote cancer progression and drug resistance. These observations strongly suggest that HE4 may play a significant role in cancer recurrence through its bioactivity in the regulation of malignant behavior at the cellular level. Overall, available data shows that high serum HE4 levels correlate well with ovarian cancer recurrence. [review] PMID: 28382859
- WFCD2, which is up-regulated in ovarian cancer, can now for the first time be considered a regulator of tumor metastasis. PMID: 28679402
- High HE4 expression is associated with adnexal malignancy. PMID: 27116243
- Architect CA 125 II and HE4 values in Chinese women presenting with a pelvic mass PMID: 28549533
- Review/Meta-analysis: urine HE4 has diagnostic value in detecting ovarian cancer. PMID: 28039447
- HE4 seems to be superior to CA125 in the detection of recurrent disease. PMID: 29463191
- Data show that serum human epididymis protein 4 (HE4) levels were significantly positively associated with renal fibrosis in chronic kidney disease (CKD) patients. PMID: 27589683
- serum HE4 level was a marker of poor prognosis in lung cancer patients PMID: 28499820
- This review summarizes data regarding the detection and alteration of HE4 in urine samples collected from ovarian cancer patients and controls. PMID: 28117603
- HE4 is a prognostic marker in endometrial cancer PMID: 28401338
- HE4 levels correspond to clinical and FIGO stage of endometrial cancer PMID: 28476847
- HE4 is elevated less frequently than CA125 in benign adnexal tumors, regardless of age or menopausal status PMID: 27752776
- HE4 expression in biopsy material from endometrial hyperplasia can be monitored and regulated by progestin. Changes in the expression of HE4 during progestin therapy regimens can predict therapy response or indicate progestin resistance for medium- and low-risk endometrial hyperplasia. PMID: 27537387
- Serum HE4 levels were significantly elevated in children and adults with cystic fibrosis (CF) compared to controls. Abnormal but lower HE4 concentrations were found in cases of severe bronchitis, asthma, pneumonia, and bronchiectasis. HE4 mRNA levels were significantly upregulated in CF vs. non-CF airway biopsy specimens. PMID: 27105680
- Human epididymis protein 4 induces chemoresistance against anti-cancer drugs and activates the AKT and Erk pathways to enhance tumor survival. Human epididymis protein 4 expression in ovarian cancer tissue is associated with a worse prognosis for epithelial ovarian cancer patients. PMID: 27862665
- Study indicated that serum human epididymis protein 4 levels are closely associated with primary fallopian tube carcinoma and the outcome of surgical therapy and recurrence in Chinese patients. PMID: 27307153
- This study found that increased serum HE4 is independently associated with the development of Lupus Nephritis and Chronic Kidney Disease in Systemic Lupus Erythematosus patients. PMID: 27075413
- The present study displayed the most fundamental and full-scale data to show differentially expressed genes in response to HE4 PMID: 27430660
- We found the high specificity of HE4 and CA125 while differentiating ovarian benign diseases from epithelial ovarian cancer in postmenopausal women and the high sensitivity of CA125 in detecting epithelial ovarian cancer in premenopausal patients PMID: 27436085
- HE4 levels at primary diagnosis correlate with an increased risk of endometrial cancer recurrence, particularly in cases of endometrioid histotype, and they may help to recognize patients who may need a more intensive follow-up PMID: 26531723
- Overexpression of HE4 promotes collateral resistance to cisplatin and paclitaxel, and downregulation of HE4 partially reverses this chemoresistance. PMID: 27184254
- High Serum HE4 level is associated with epithelial ovarian cancer. PMID: 27629144
- HE4 and miR-21 may play an important role in the development and progression of ovarian cancer and they may serve as prognostic indicators in ovarian cancer PMID: 26733162
- HE4 had more potential than CA125. PMID: 27797265
- High serum HE-4 levels were associated with Endometrial Cancer. PMID: 27268621
- High HE4 expression is associated with Ovarian Tumors. PMID: 27268637
- High correlation with MRI parameters related to neoangiogenesis may indicate signaling pathway of HE4. PMID: 27192502
- The aim of the study was to establish whether preoperative serum levels of HE4 and CA125 could be a good predictor for lymphadenectomy in the early stage of endometrioid adenocarcinoma of the uterus. PMID: 26344910
- Data suggest that the combination of epididymis protein 4 (HE4) and CA125 may be recommended as potential biomarkers in the preliminary differential diagnosis of between epithelial ovarian cancer (EOC) and peritoneal tuberculosis (PTB). PMID: 26667154
- findings suggested that serum HE4 was a better biomarker in early lung cancer than other frequently-used biomarkers PMID: 26851650
- HE4 is a promising biomarker for the early diagnosis of epithelial ovarian cancer [review] PMID: 26220095
- serum level associated with risk in endometrioid adenocarcinoma PMID: 26223178
- HE4 alone and even more the combined analysis of CA125 and HE4 using risk of malignancy algorithm improve the diagnostic accuracy of adnexal masses, especially in early ovarian cancer. PMID: 21923475
- Data suggest that overexpressed human epididymis protein 4 (HE4) played an important role in ovarian cancer progression and metastasis and that HE4 has the potential to serve as therapeutic target for ovarian cancer. PMID: 26575020
- optimal cut-off values (HE4: 70pmol/l for all; CA125: 60U/ml for pre- and 35U/ml for postmenopausal women) could notably improve diagnostic performance in EOC detection in patients in southern China PMID: 26285075
- Results show that recombinant HE4 proteins are able to promote the proliferation of pancreatic and endometrial cancer cells suggesting that HE4 secreted from cancer cells may carry out paracrine and endocrine functions in cancer patients. PMID: 26497244
顯示更多
收起更多
-
亞細胞定位:Secreted.
-
組織特異性:Expressed in a number of normal tissues, including male reproductive system, regions of the respiratory tract and nasopharynx. Highly expressed in a number of tumors cells lines, such ovarian, colon, breast, lung and renal cells lines. Initially described
-
數據庫鏈接:
Most popular with customers
-
-
YWHAB Recombinant Monoclonal Antibody
Applications: ELISA, WB, IHC, IF, FC
Species Reactivity: Human, Mouse, Rat
-
Phospho-YAP1 (S127) Recombinant Monoclonal Antibody
Applications: ELISA, WB, IHC
Species Reactivity: Human
-
-
-
-
-















