WDR74 Antibody
-
中文名稱:WDR74兔多克隆抗體
-
貨號:CSB-PA747557LA01HU
-
規格:¥440
-
圖片:
-
Western blot
All lanes: WDR74 antibody at 0.5µg/ml + Hela whole cell lysate
Secondary
Goat polyclonal to rabbit IgG at 1/10000 dilution
Predicted band size: 43, 41 kDa
Observed band size: 43 kDa -
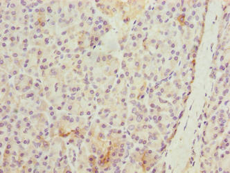
Immunohistochemistry of paraffin-embedded human pancreatic tissue using CSB-PA747557LA01HU at dilution of 1:100
-
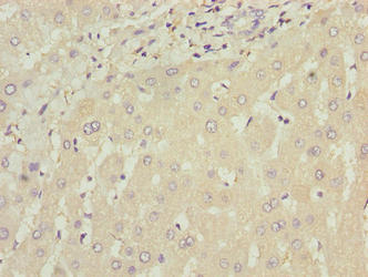
Immunohistochemistry of paraffin-embedded human liver tissue using CSB-PA747557LA01HU at dilution of 1:100
-
-
其他:
產品詳情
-
產品名稱:Rabbit anti-Homo sapiens (Human) WDR74 Polyclonal antibody
-
Uniprot No.:
-
基因名:WDR74
-
別名:WDR74 antibody; NSA1 antibody; WD repeat-containing protein 74 antibody; NOP seven-associated protein 1 antibody
-
宿主:Rabbit
-
反應種屬:Human
-
免疫原:Recombinant Human WD repeat-containing protein 74 protein (111-366AA)
-
免疫原種屬:Homo sapiens (Human)
-
標記方式:Non-conjugated
本頁面中的產品,WDR74 Antibody (CSB-PA747557LA01HU),的標記方式是Non-conjugated。對于WDR74 Antibody,我們還提供其他標記。見下表:
-
克隆類型:Polyclonal
-
抗體亞型:IgG
-
純化方式:Antigen Affinity Purified
-
濃度:It differs from different batches. Please contact us to confirm it.
-
保存緩沖液:Preservative: 0.03% Proclin 300
Constituents: 50% Glycerol, 0.01M PBS, PH 7.4 -
產品提供形式:Liquid
-
應用范圍:ELISA, WB, IHC
-
推薦稀釋比:
Application Recommended Dilution WB 1:1000-1:5000 IHC 1:20-1:200 -
Protocols:
-
儲存條件:Upon receipt, store at -20°C or -80°C. Avoid repeated freeze.
-
貨期:Basically, we can dispatch the products out in 1-3 working days after receiving your orders. Delivery time maybe differs from different purchasing way or location, please kindly consult your local distributors for specific delivery time.
-
用途:For Research Use Only. Not for use in diagnostic or therapeutic procedures.
相關產品
靶點詳情
-
功能:Regulatory protein of the MTREX-exosome complex involved in the synthesis of the 60S ribosomal subunit. Participates in an early cleavage of the pre-rRNA processing pathway in cooperation with NVL. Required for blastocyst formation, is necessary for RNA transcription, processing and/or stability during preimplantation development.
-
基因功能參考文獻:
- knockdown of WDR74 leads to significant defects in the pre-rRNA cleavage within the internal transcribed spacer 1, occurring in an early stage of the processing pathway. When the dissociation of WDR74 from the MTR4-containing exonuclease complex was impaired upon expression of mutant NVL2, the same processing defect, with partial migration of WDR74 from the nucleolus towards the nucleoplasm, was observed. PMID: 29107693
- results suggest that WDR74 is a novel regulatory protein of the MTR4-exsosome complex whose interaction is regulated by NVL2 and is involved in ribosome biogenesis PMID: 26456651
-
亞細胞定位:Nucleus, nucleolus. Nucleus.
-
數據庫鏈接:
Most popular with customers
-
-
YWHAB Recombinant Monoclonal Antibody
Applications: ELISA, WB, IHC, IF, FC
Species Reactivity: Human, Mouse, Rat
-
Phospho-YAP1 (S127) Recombinant Monoclonal Antibody
Applications: ELISA, WB, IHC
Species Reactivity: Human
-
-
-
-
-















