VRK2 Antibody
-
中文名稱:VRK2兔多克隆抗體
-
貨號:CSB-PA768235LA01HU
-
規格:¥440
-
圖片:
-
IHC image of CSB-PA768235LA01HU diluted at 1:600 and staining in paraffin-embedded human colon cancer performed on a Leica BondTM system. After dewaxing and hydration, antigen retrieval was mediated by high pressure in a citrate buffer (pH 6.0). Section was blocked with 10% normal goat serum 30min at RT. Then primary antibody (1% BSA) was incubated at 4°C overnight. The primary is detected by a biotinylated secondary antibody and visualized using an HRP conjugated SP system.
-
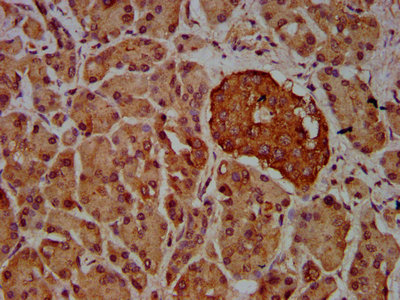
IHC image of CSB-PA768235LA01HU diluted at 1:600 and staining in paraffin-embedded human pancreatic tissue performed on a Leica BondTM system. After dewaxing and hydration, antigen retrieval was mediated by high pressure in a citrate buffer (pH 6.0). Section was blocked with 10% normal goat serum 30min at RT. Then primary antibody (1% BSA) was incubated at 4°C overnight. The primary is detected by a biotinylated secondary antibody and visualized using an HRP conjugated SP system.
-
Immunofluorescence staining of HepG2 cells with CSB-PA768235LA01HU at 1:200, counter-stained with DAPI. The cells were fixed in 4% formaldehyde, permeabilized using 0.2% Triton X-100 and blocked in 10% normal Goat Serum. The cells were then incubated with the antibody overnight at 4°C. The secondary antibody was Alexa Fluor 488-congugated AffiniPure Goat Anti-Rabbit IgG(H+L).
-
-
其他:
產品詳情
-
產品名稱:Rabbit anti-Homo sapiens (Human) VRK2 Polyclonal antibody
-
Uniprot No.:
-
基因名:VRK2
-
別名:VRK2; Serine/threonine-protein kinase VRK2; Vaccinia-related kinase 2
-
宿主:Rabbit
-
反應種屬:Human
-
免疫原:Recombinant Human Serine/threonine-protein kinase VRK2 protein (317-472AA)
-
免疫原種屬:Homo sapiens (Human)
-
標記方式:Non-conjugated
本頁面中的產品,VRK2 Antibody (CSB-PA768235LA01HU),的標記方式是Non-conjugated。對于VRK2 Antibody,我們還提供其他標記。見下表:
-
克隆類型:Polyclonal
-
抗體亞型:IgG
-
純化方式:>95%, Protein G purified
-
濃度:It differs from different batches. Please contact us to confirm it.
-
保存緩沖液:Preservative: 0.03% Proclin 300
Constituents: 50% Glycerol, 0.01M PBS, pH 7.4 -
產品提供形式:Liquid
-
應用范圍:ELISA, IHC, IF
-
推薦稀釋比:
Application Recommended Dilution IHC 1:500-1:1000 IF 1:200-1:500 -
Protocols:
-
儲存條件:Upon receipt, store at -20°C or -80°C. Avoid repeated freeze.
-
貨期:Basically, we can dispatch the products out in 1-3 working days after receiving your orders. Delivery time maybe differs from different purchasing way or location, please kindly consult your local distributors for specific delivery time.
-
用途:For Research Use Only. Not for use in diagnostic or therapeutic procedures.
相關產品
靶點詳情
-
功能:Serine/threonine kinase that regulates several signal transduction pathways. Isoform 1 modulates the stress response to hypoxia and cytokines, such as interleukin-1 beta (IL1B) and this is dependent on its interaction with MAPK8IP1, which assembles mitogen-activated protein kinase (MAPK) complexes. Inhibition of signal transmission mediated by the assembly of MAPK8IP1-MAPK complexes reduces JNK phosphorylation and JUN-dependent transcription. Phosphorylates 'Thr-18' of p53/TP53, histone H3, and may also phosphorylate MAPK8IP1. Phosphorylates BANF1 and disrupts its ability to bind DNA and reduces its binding to LEM domain-containing proteins. Downregulates the transactivation of transcription induced by ERBB2, HRAS, BRAF, and MEK1. Blocks the phosphorylation of ERK in response to ERBB2 and HRAS. Can also phosphorylate the following substrates that are commonly used to establish in vitro kinase activity: casein, MBP and histone H2B, but it is not sure that this is physiologically relevant.; Isoform 2 phosphorylates 'Thr-18' of p53/TP53, as well as histone H3. Reduces p53/TP53 ubiquitination by MDM2, promotes p53/TP53 acetylation by EP300 and thereby increases p53/TP53 stability and activity.
-
基因功能參考文獻:
- VRK2 is suggested as a candidate gene for neurological disorders through its role in signaling pathway, the neuronal loss and stress response. PMID: 29100046
- GSK3beta may inhibit VRK2 catalytic activity by disrupting its flexibility. The inhibition of VRK2 catalytic activity by GSK3beta may also inhibit VRK2-induced degradation of TRiC, which could suppress polyQ-expanded Htt aggregation. PMID: 27377031
- The combined analysis confirmed evidence of genome-wide significant associations in the Han Chinese population for three loci, at 2p16.1 (rs1051061, in an exon of VRK2, P=1.14 x 10-12, odds ratio (OR)=1.17), 6p22.1 (rs115070292 in an intron of GABBR1, P=4.96 x 10-10, OR=0.77) and 10q24.32 (rs10883795 in an intron of AS3MT, P=7.94 x 10-10, OR=0.87; rs10883765 at an intron of ARL3, P=3.06 x 10-9, OR=0.87). PMID: 27922604
- Reduced VRK2 mRNA levels are involved in the underlying mechanisms in schizophrenia spectrum disorders. PMID: 26941264
- These data support a model in which vaccinia virus B1 and human VRK2 share additional substrates important for the replication of cytoplasmic poxviruses. PMID: 28515294
- we replicated one known signal in PAX8 (2.6 minutes per allele, 95% CI [1.9, 3.2], P = 5.7x10-16) and identified and replicated two novel associations at VRK2 (2.0 minutes per allele, 95% CI [1.3, 2.7], P = 1.2x10-9; and 1.6 minutes per allele, 95% CI [1.1, 2.2], P = 7.6x10-9) PMID: 27494321
- The data provides further evidence for the genetic contributions of VRK2 rs2312147 to schizophrenia susceptibility especially in Europeans, while further replication analyses in Asian populations are still needed. [meta-analysis] PMID: 27382989
- Our data provide preliminary evidence that the VRK2 gene might play a major role in the development of SCZ in the Northwest Chinese Han population. PMID: 26345874
- data may provide evidence for the effect of VRK2 on WM connectivity in patients with schizophrenia PMID: 25079070
- Findings suggest that ubiquitin-specific protease 25 (USP25) as a VRK2 substrate that acts on TRiC deubiquitination. PMID: 25755282
- VRK2 is crucial to regulate the ubiquitination-proteosomal degradation of eukaryotic chaperonin TCP-1 ring complex PMID: 24298020
- Low levels of VRK2A causes an increase in mitochondrial Bax protein level, leading to an increase in the release of cytochrome C and caspase activation, detected by PARP processing. PMID: 23449449
- Generalized epilepsies implicates susceptibility genes: CHRM3 at 1q43, VRK2 at 2p16.1, ZEB2 at 2q22.3, SCN1A at 2q24.3 and PNPO at 17q21.32. PMID: 22949513
- This study analyzed 5 genome-wide supported variants in a Han Chinese sample, and the variant rs2312147 at VRK2 showed significant association, which was confirmed in the meta-analysis combining multiple Asian and European. PMID: 23102693
- Human VRK2 is an active kinase playing a role in regulation of cancer cell invasion through the NFAT pathway and COX-2 expression. PMID: 23105117
- VRK2A can form a high molecular size complex with both MEK1 and KSR1; the KSR1 complex assembled and retained by VRK2A in the endoplasmic reticulum can have a modulatory effect on the signal mediated by MAPK,locally affecting the magnitude of its responses PMID: 22752157
- Common variants at VRK2 show genome-wide significant association with schizophrenia. PMID: 21791550
- Data suggest a role for VRK2A in ErbB2-MAPK signaling. PMID: 20679487
- VRK2 induces p53 stabilization by post-translational modification, largely due to threonine 18 phosphorylation in tumor cell lines. PMID: 16704422
- human VRK2 interacts specifically with EBV BHRF1 and that the interaction is involved in protecting cells from apoptosis PMID: 16963744
- Data show that TAK1 forms a stable complex with JIP1 and regulates the activation of JNK, which in turn determines the cellular stress response to hypoxia; this activation of TAK1-JIP1-JNK is suppressed by vaccinia-related kinase 2. PMID: 17709393
- the activity of JIP1-JNK complexes is downregulated by VRK2 in response to interleukin-1beta PMID: 18286207
- the downregulation of VRK2 protein levels, as a consequence of p53 accumulation, is thus dependent on the levels of the p300/CBP protein available for transcriptional complexes PMID: 18612383
顯示更多
收起更多
-
亞細胞定位:[Isoform 1]: Cytoplasm. Endoplasmic reticulum membrane; Single-pass type IV membrane protein. Mitochondrion membrane; Single-pass type IV membrane protein. Nucleus envelope.; [Isoform 2]: Cytoplasm. Nucleus.
-
蛋白家族:Protein kinase superfamily, CK1 Ser/Thr protein kinase family, VRK subfamily
-
組織特異性:Isoform 1 and isoform 2 are expressed in various tumor cell lines. Expression of isoform 1 inversely correlates with ERBB2 in breast carcinomas (at protein level). Widely expressed. Highly expressed in fetal liver, skeletal muscle, pancreas, heart, periph
-
數據庫鏈接:
Most popular with customers
-
-
YWHAB Recombinant Monoclonal Antibody
Applications: ELISA, WB, IHC, IF, FC
Species Reactivity: Human, Mouse, Rat
-
Phospho-YAP1 (S127) Recombinant Monoclonal Antibody
Applications: ELISA, WB, IHC
Species Reactivity: Human
-
-
-
-
-















