VPS35 Antibody
-
中文名稱:VPS35兔多克隆抗體
-
貨號:CSB-PA839401ESR2HU
-
規格:¥440
-
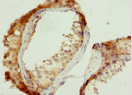
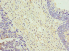
圖片:
-
其他:
產品詳情
-
產品名稱:Rabbit anti-Homo sapiens (Human) VPS35 Polyclonal antibody
-
Uniprot No.:
-
基因名:
-
別名:DKFZp434E1211 antibody; DKFZp434P1672 antibody; FLJ10752 antibody; FLJ13588 antibody; FLJ20388 antibody; hVPS35 antibody; Maternal embryonic 3 antibody; Maternal-embryonic 3 antibody; MEM 3 antibody; MEM3 antibody; PARK17 antibody; TCCCTA00141 antibody; Vacuolar protein sorting 35 (yeast) antibody; Vacuolar protein sorting 35 antibody; Vacuolar protein sorting 35 homolog antibody; Vacuolar protein sorting associated protein 35 antibody; Vacuolar protein sorting-associated protein 35 antibody; Vesicle protein sorting 35 antibody; VPS 35 antibody; VPS35 antibody; VPS35_HUMAN antibody
-
宿主:Rabbit
-
反應種屬:Human
-
免疫原:Recombinant Human Vacuolar protein sorting-associated protein 35 protein (1-250AA)
-
免疫原種屬:Homo sapiens (Human)
-
標記方式:Non-conjugated
-
克隆類型:Polyclonal
-
抗體亞型:IgG
-
純化方式:Antigen Affinity Purified
-
濃度:It differs from different batches. Please contact us to confirm it.
-
保存緩沖液:PBS with 0.02% sodium azide, 50% glycerol, pH7.3.
-
產品提供形式:Liquid
-
應用范圍:ELISA, IHC
-
推薦稀釋比:
Application Recommended Dilution IHC 1:20-1:200 -
Protocols:
-
儲存條件:Upon receipt, store at -20°C or -80°C. Avoid repeated freeze.
-
貨期:Basically, we can dispatch the products out in 1-3 working days after receiving your orders. Delivery time maybe differs from different purchasing way or location, please kindly consult your local distributors for specific delivery time.
-
用途:For Research Use Only. Not for use in diagnostic or therapeutic procedures.
相關產品
靶點詳情
-
功能:Acts as component of the retromer cargo-selective complex (CSC). The CSC is believed to be the core functional component of retromer or respective retromer complex variants acting to prevent missorting of selected transmembrane cargo proteins into the lysosomal degradation pathway. The recruitment of the CSC to the endosomal membrane involves RAB7A and SNX3. The CSC seems to associate with the cytoplasmic domain of cargo proteins predominantly via VPS35; however, these interactions seem to be of low affinity and retromer SNX proteins may also contribute to cargo selectivity thus questioning the classical function of the CSC. The SNX-BAR retromer mediates retrograde transport of cargo proteins from endosomes to the trans-Golgi network (TGN) and is involved in endosome-to-plasma membrane transport for cargo protein recycling. The SNX3-retromer mediates the retrograde endosome-to-TGN transport of WLS distinct from the SNX-BAR retromer pathway. The SNX27-retromer is believed to be involved in endosome-to-plasma membrane trafficking and recycling of a broad spectrum of cargo proteins. The CSC seems to act as recruitment hub for other proteins, such as the WASH complex and TBC1D5. Required for retrograde transport of lysosomal enzyme receptor IGF2R and SLC11A2. Required to regulate transcytosis of the polymeric immunoglobulin receptor (pIgR-pIgA). Required for endosomal localization of WASHC2C. Mediates the association of the CSC with the WASH complex via WASHC2. Required for the endosomal localization of TBC1D5.; (Microbial infection) The heterotrimeric retromer cargo-selective complex (CSC) mediates the exit of human papillomavirus from the early endosome and the delivery to the Golgi apparatus.
-
基因功能參考文獻:
- these results suggest that VPS35 D620N mutation-induced excessive mitochondrial fission leads to the defects in the assembled complex I and supercomplex and causes bioenergetics deficits. PMID: 28765075
- These experimental data establish the retromer complex as a key spatiotemporal regulator of IFNAR endosomal sorting and a new factor in type-I IFN-induced JAK/STAT signalling and gene transcription. PMID: 27917878
- Present data support a role for perturbed VPS35 and retromer function in the pathogenesis of Parkinson's disease. PMID: 28222538
- These findings provide new mechanistic insights into the role of VPS35 in the regulation of AIMP2 levels and cell death. PMID: 28383562
- The retromer complex is a highly conserved membrane trafficking assembly composed of three proteins - Vps26, Vps29 and Vps35, which are impaired in neurodegenerative diseases. (Review) PMID: 26965691
- It could interact with DRD1 and regulate DRD1 cell surface recycling, as well as DRD1- mediated dopamine signaling. PMID: 27460146
- The absence of mutations in VPS35 genes reveals that they are uncommon causes of Parkinson disease in Brazil PMID: 27777137
- VPS35 has been associated with autosomal dominant forms of Parkinson's disease with a high but incomplete penetrance . PMID: 26947123
- results lend further support to the notion that VPS35-DLP1 interaction is key to the retromer-dependent recycling of mitochondrial DLP1 complex during mitochondrial fission and provide a novel therapeutic target to control excessive fission and associated mitochondrial deficits. PMID: 28040727
- Silencing VPS35 increased N-Ras's association with cytoplasmic vesicles, diminished GTP loading of Ras, and inhibited mitogen-activated protein kinase signaling and growth of N-Ras-dependent melanoma cells. PMID: 27502489
- deletion of VPS35 in yeast (vps35Delta) leads to a dose-dependent growth defect towards copper. This increased sensitivity could be rescued by transformation with yeast wild-type VPS35 but not by the expression of a construct harboring the yeast equivalent (i.e. D686N) of the most commonly identified VPS35-associated Parkinson disease mutation, p.D620N PMID: 27262440
- the Vps35 R524W-containing retromer has a decreased endosomal association, which can be partially rescued by R55, a small molecule previously shown to stabilize the retromer complex, supporting the potential for future targeting of the retromer complex in the treatment of Parkinson disease. PMID: 27385586
- X-ray crystallographic analysis of a 4-component complex comprising the VPS26 & VPS35 subunits of retromer, sorting nexin SNX3, & recycling signal from the divalent cation transporter DMT1-II; analysis identifies a binding site for canonical recycling signals at the interface between VPS26 & SNX3; shows cooperative interactions among the VPS subunits, SNX3 & cargo that couple signal-recognition to membrane recruitment. PMID: 27889239
- findings provide evidence that the VPS35 D620N mutation likely confers pathogenicity through a partial loss of function mechanism and that this may be linked to other known pathogenic mechanisms such as mitochondrial dysfunction PMID: 26251041
- VPS35 mutations cause mitochondrial fragmentation and cell death in cultured neurons in vitro, in mouse substantia nigra neurons in vivo and in human fibroblasts from an individual with PD who has the VPS35(D620N) mutation. PMID: 26618722
- neither the R120W nor the N370S variant of the GBA gene nor D620N mutation of the VPS35 gene were detected among the Parkinson disease cases or the controls. PMID: 26547032
- Mutagenesis studies coupled with coimmunoprecipitations revealed that retromer-mediated trafficking requires the Env cytoplasmic tail that we show binds directly to retromer components Vps35 and Vps26. PMID: 25393110
- VPS35 D620N and EIF4G1 R1205H mutations are not a common cause of Parkinson disease in the Greek population. PMID: 26300542
- provides molecular insights into the essential role of Vps26 and Vps35 in Rab7-mediated recruitment of the core retromer complex PMID: 25367362
- This study demonstrated that Genetic variability of VPS35 in parkinsonism. PMID: 25475142
- VPS35 p.D620N is loss-of-function mutation with respect to VPS35 regulating synaptic transmission and AMPA-type glutamate receptors recycling in mouse cortical neurons and dopamine neuron-like cells produced from stem cells of human p.D620N carriers. PMID: 25416282
- D620N mutation in VPS35 restricts WASH complex recruitment to endosomes, inhibiting autophagy. The autophagy defects can be explained, at least in part, by abnormal trafficking of the autophagy protein ATG9A. PMID: 24819384
- the major defect of the D620N mutation in the retromer component VPS35 lies in the association to the actin-nucleating Wiskott-Aldrich syndrome and SCAR homolog (WASH) complex. PMID: 24980502
- Data indicate that vesicular transport proteins VPS35 and VPS29 influence the levels of the other subunit of retromer. PMID: 25937119
- dominant VPS35 mutations lead to neurodegeneration in Parkinson's disease. PMID: 24740878
- Its mutation is not a common cause of familial Parkinson's disease. PMID: 24854799
- Dominant expression of Vps35 D620N mutation results in endosomal trafficking alterations that may underpin its role in PD. PMID: 24152121
- In 2011 two groups reported the identification of the same missense mutation (p.Asp620Asn) in the vacuolar protein sorting 35 (VPS35) gene, as a novel cause of autosomal dominant parkinson disease. PMID: 24262182
- Its mutation causes Parkinson's disease in Indian population. PMID: 23726718
- Pathogenic VPS35 mutations provide important insights into novel molecular targets for parkinson disease. PMID: 23536430
- Mutations in VPS35 were found to not play a role in Parkinson disease patients from Southwest China. PMID: 23261770
- Pathogenic mutation in VPS35 impairs its protection against MPP(+) cytotoxicity in dopaminergic neurons in Parkinson's disease. PMID: 23411763
- result suggests that mutation in the VPS35 coding region probably does not represent a major cause of late-onset Parkinson Disease in the Chinese Han population. PMID: 22891780
- VPS35 variants are not associated with Parkinson's disease in the mainland Chinese population. PMID: 22673036
- There is no evidence for an overall contribution of genetic variability in VPS35 (or EIF4G1) to Parkinson disease development in this large family. PMID: 23408866
- Our study apart from identifying the p.Asp620Asn variant in familial cases also identified it in idiopathic Parkinson disease cases, and thus provides genetic evidence for a role of p.Asp620Asn in Parkinson disease in different populations worldwide. PMID: 23125461
- VPS35 mutations are a rare cause of PD in different populations. PMID: 22801713
- This study reported that VPS35 mutation in Japanese patients with typical Parkinson's disease. PMID: 22991136
- Hence, our data do not support a major role for VPS35 variations in the genetic etiology of Lewy body disorders in the Flanders-Belgian population. PMID: 22336192
- Failed to find any case of VPS35 pAsp620Asn mutation in a cohort of Italian patients with familial Parkinson disease. PMID: 22278960
- Data show that a component of the WASH regulatory complex (SHRC), FAM21, directly interacts with the retromer CSC protein VPS35. PMID: 22513087
- This study suggested that VPS35 Asp620Asn may be not associated with PD in Chinese population. PMID: 22410496
- We have extended the number of autosomal dominant PD families with VPS35 mutations to 13 families, worldwide; D620N is the most frequent. PMID: 22517097
- The results of this study concluded that VPS35 c.1858G>A mutation is an uncommon cause of familial Parkinson's disease. PMID: 22154191
- Knockdown of retromer protein VPS35 activity produces no change in the quantity or cellular distribution of total cellular amyloid precursor protein (APP) and has no affect on internalization of cell-surface APP. PMID: 21515373
- Frameshift mutations of VPS genes and losses of expression of Vps13A and Vps35 proteins are common in gastric cancers and colorectal cancers with high microsatellite instability. PMID: 21733561
- The amino-terminal conserved, glutamate-rich sequence of herpesvirus saimiri Tip specifically interacts with the human retromer subunit Vps35 and inhibits retromer activity. PMID: 21849449
- Disruption of VPS35 and retromer-mediated trans-membrane protein sorting, rescue, and recycling in the neurodegenerative process led to Parkinson disease. PMID: 21763482
- Only a single heterozygous variant in the VPS35 gene caused late-onset Parkinson disease in this family. PMID: 21763483
- Vps35 mediates vesicle transport between the mitochondria and peroxisomes. PMID: 20619655
顯示更多
收起更多
-
相關疾病:Parkinson disease 17 (PARK17)
-
亞細胞定位:Cytoplasm. Membrane; Peripheral membrane protein. Endosome. Early endosome. Late endosome.
-
蛋白家族:VPS35 family
-
組織特異性:Ubiquitous. Highly expressed in heart, brain, placenta, skeletal muscle, spleen, thymus, testis, ovary, small intestine, kidney and colon.
-
數據庫鏈接:
Most popular with customers
-
-
YWHAB Recombinant Monoclonal Antibody
Applications: ELISA, WB, IHC, IF, FC
Species Reactivity: Human, Mouse, Rat
-
Phospho-YAP1 (S127) Recombinant Monoclonal Antibody
Applications: ELISA, WB, IHC
Species Reactivity: Human
-
-
-
-
-















