VPS33B Antibody
-
中文名稱:VPS33B兔多克隆抗體
-
貨號:CSB-PA884447ESR1HU
-
規格:¥440
-
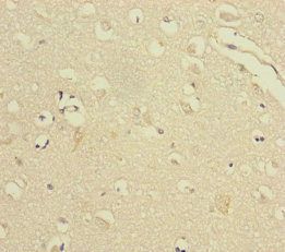
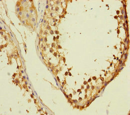
圖片:
-
其他:
產品詳情
-
產品名稱:Rabbit anti-Homo sapiens (Human) VPS33B Polyclonal antibody
-
Uniprot No.:
-
基因名:VPS33B
-
別名:VPS33BVacuolar protein sorting-associated protein 33B antibody; hVPS33B antibody
-
宿主:Rabbit
-
反應種屬:Human
-
免疫原:Recombinant Human Vacuolar protein sorting-associated protein 33B protein (348-617AA)
-
免疫原種屬:Homo sapiens (Human)
-
標記方式:Non-conjugated
-
克隆類型:Polyclonal
-
抗體亞型:IgG
-
純化方式:Antigen Affinity Purified
-
濃度:It differs from different batches. Please contact us to confirm it.
-
保存緩沖液:PBS with 0.02% sodium azide, 50% glycerol, pH7.3.
-
產品提供形式:Liquid
-
應用范圍:ELISA, IHC
-
推薦稀釋比:
Application Recommended Dilution IHC 1:20-1:200 -
Protocols:
-
儲存條件:Upon receipt, store at -20°C or -80°C. Avoid repeated freeze.
-
貨期:Basically, we can dispatch the products out in 1-3 working days after receiving your orders. Delivery time maybe differs from different purchasing way or location, please kindly consult your local distributors for specific delivery time.
-
用途:For Research Use Only. Not for use in diagnostic or therapeutic procedures.
相關產品
靶點詳情
-
功能:May play a role in vesicle-mediated protein trafficking to lysosomal compartments and in membrane docking/fusion reactions of late endosomes/lysosomes. Mediates phagolysosomal fusion in macrophages. Proposed to be involved in endosomal maturation implicating VIPAS39. In epithelial cells, the VPS33B:VIPAS39 complex may play a role in the apical recycling pathway and in the maintenance of the apical-basolateral polarity. Seems to be involved in the sorting of specific cargos from the trans-Golgi network to alpha-granule-destined multivesicular bodies (MVBs) promoting MVBs maturation in megakaryocytes.
-
基因功能參考文獻:
- ARKID syndrome is caused by VPS33B mutation. PMID: 28017832
- Vesicular trafficking complexes, containing VPS33B, are a novel class of modifiers of integrin function. PMID: 26399659
- Novel splice site mutations in the VPS33B gene were identified in arthrogryposis, renal dysfunction, and cholestasis syndrome in Koreans. PMID: 24917129
- Abnormal protein trafficking and impairment in multivesicular bodies maturation in Megakaryocytes underlie the alpha-granule deficiency in Vps33b(fl/fl)-ER(T2) mouse and ARC patients. PMID: 25947942
- Case Report: neonate with ARC syndrome and high GGT cholestasis caused by VPS33B heterozygous mutations. PMID: 24782640
- Case Report: novel mutations in VPS33B in Chinese patient with arthrogryposis, renal dysfunction and cholestasis syndrome. PMID: 24415890
- Our data suggest that the ARC syndrome may result through impaired VIPAS39/SPE-39 and Vps33b-dependent endosomal maturation or fusion. PMID: 23918659
- Evidence of genotype-phenotype correlation in ARC syndrome the VPS33B c.1225+5G>C mutation predicts a mild phenotype. PMID: 22753090
- VPS16B, similar to its binding partner VPS33B, is essential for megakaryocyte and platelet alpha-granule biogenesis. PMID: 23002115
- SPE-39 due to tyrosine phosphorylation and ubiquitination on the function of Vps33B in the EGF-stimulated cells PMID: 22677173
- encodes a homolog of the class C yeast vacuolar protein sorting gene, that contains a Sec1-like domain important in the regulation of vesicle-to-target SNARE complex formation and subsequent membrane fusion PMID: 15052268
- A and B classes reflect the evolution of organelle/tissue-specific functions PMID: 15790593
- VPS33B is involved in intracellular vesicle trafficking PMID: 16123220
- The present observations indicate that VPS33B deficiency results in abnormal secretion of lamellar granules, which underlies ichthyosis in ARC syndrome. PMID: 18347289
- Genetic deletion of ptpA attenuates Mycobacterium tuberculosis growth in human macrophages and identify VPS33B, a regulator of membrane fusion, as a PtpA substrate. PMID: 18474358
- We assessed the clinical characteristics and investigated the VPS33B mutations in Korean patients with ARC (arthrogryposis, renal dysfunction, and cholestasis) syndrome. PMID: 19274792
顯示更多
收起更多
-
相關疾病:Arthrogryposis, renal dysfunction and cholestasis syndrome 1 (ARCS1)
-
亞細胞定位:Late endosome membrane; Peripheral membrane protein; Cytoplasmic side. Lysosome membrane; Peripheral membrane protein; Cytoplasmic side. Early endosome. Cytoplasmic vesicle, clathrin-coated vesicle. Recycling endosome.
-
蛋白家族:STXBP/unc-18/SEC1 family
-
組織特異性:Ubiquitous; highly expressed in testis and low expression in the lung.
-
數據庫鏈接:
Most popular with customers
-
-
YWHAB Recombinant Monoclonal Antibody
Applications: ELISA, WB, IHC, IF, FC
Species Reactivity: Human, Mouse, Rat
-
Phospho-YAP1 (S127) Recombinant Monoclonal Antibody
Applications: ELISA, WB, IHC
Species Reactivity: Human
-
-
-
-
-















