VPS29 Antibody
-
中文名稱:VPS29兔多克隆抗體
-
貨號:CSB-PA890661LA01HU
-
規格:¥880
-
圖片:
-
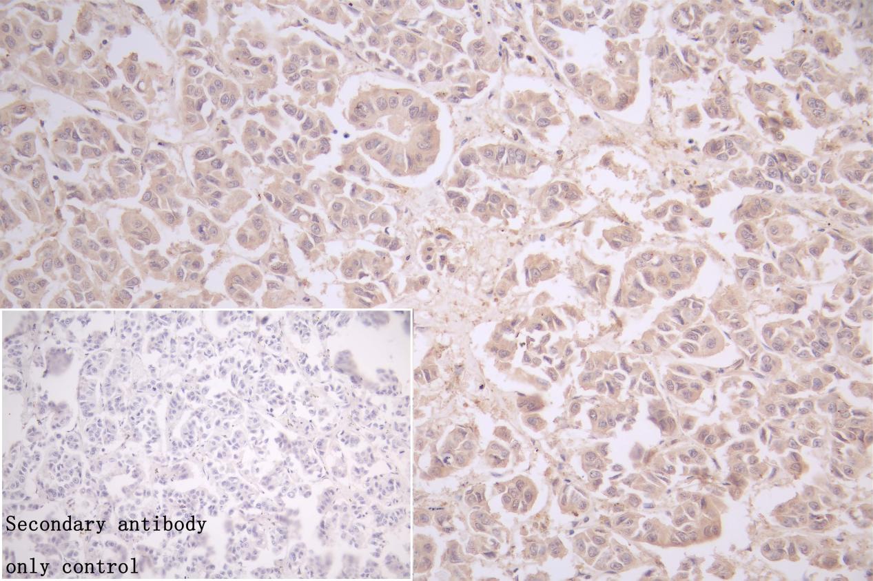
IHC image of CSB-PA890661LA01HU diluted at 1:150 and staining in paraffin-embedded human breast cancer performed on a Leica BondTM system. After dewaxing and hydration, antigen retrieval was mediated by high pressure in a citrate buffer (pH 6.0). Section was blocked with 10% normal goat serum 30min at RT. Then primary antibody (1% BSA) was incubated at 4°C overnight. The primary is detected by a Goat anti-rabbit polymer IgG labeled by HRP and visualized using 0.05% DAB. Secondary antibody only control: uses 1% BSA instead of primary antibody
-
Western Blot
Positive WB detected in: Hela whole cell lysate, 293T whole cell lysate, HepG2 whole cell lysate, mouse Brain tissue lysate
All lanes: VPS29 antibody at 1:1000
Secondary
Goat polyclonal to rabbit IgG at 1/50000 dilution
Predicted band size: 21 kDa
Observed band size: 21 kDa -
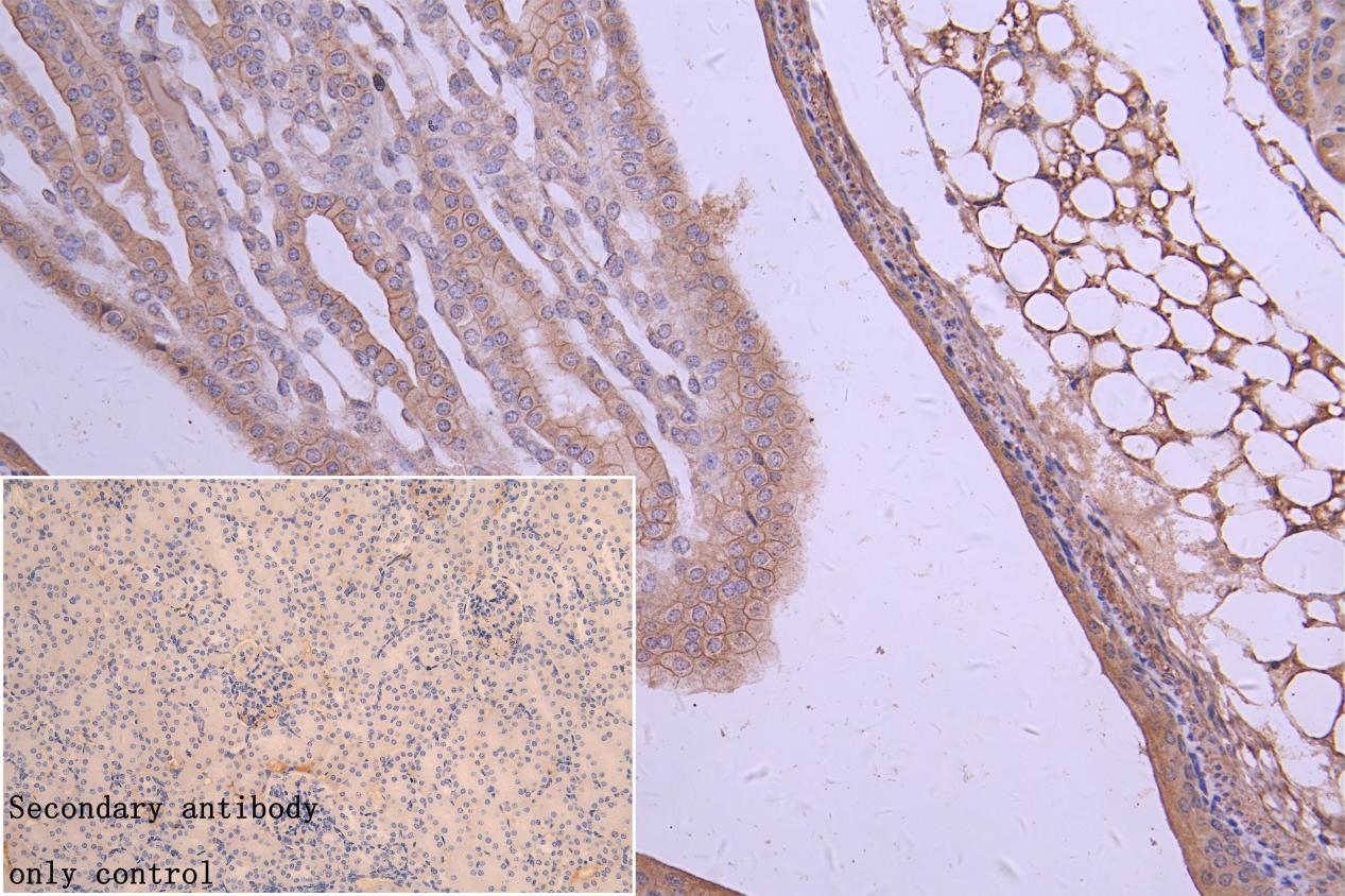
IHC image of CSB-PA890661LA01HU diluted at 1:300 and staining in paraffin-embedded mouse kidney tissue performed on a Leica BondTM system. After dewaxing and hydration, antigen retrieval was mediated by high pressure in a citrate buffer (pH 6.0). Section was blocked with 10% normal goat serum 30min at RT. Then primary antibody (1% BSA) was incubated at 4°C overnight. The primary is detected by a Goat anti-rabbit polymer IgG labeled by HRP and visualized using 0.05% DAB. Secondary antibody only control: uses 1% BSA instead of primary antibody
-
-
其他:
產品詳情
-
產品名稱:Rabbit anti-Homo sapiens (Human) VPS29 Polyclonal antibody
-
Uniprot No.:
-
基因名:
-
別名:DC15 antibody; DC7 antibody; DKFZp564F0223 antibody; FLJ20492 antibody; hVPS29 antibody; PEP11 antibody; PEP11 homolog antibody; Retromer protein antibody; Vacuolar protein sorting 29 antibody; Vacuolar protein sorting 29 (yeast homolog) antibody; Vacuolar protein sorting 29 (yeast) antibody; Vacuolar protein sorting 29 homolog (S. cerevisiae) antibody; Vacuolar protein sorting 29 homolog antibody; Vacuolar protein sorting associated protein 29 antibody; Vacuolar protein sorting-associated protein 29 antibody; Vacuolar sorting protein VPS29/PEP11 antibody; Vesicle protein sorting 29 antibody; VPS 29 antibody; VPS29 antibody; VPS29 retromer complex component antibody; VPS29_HUMAN antibody; x 007 protein antibody
-
宿主:Rabbit
-
反應種屬:Human, Mouse
-
免疫原:Recombinant Human Vacuolar protein sorting-associated protein 29 protein
-
免疫原種屬:Homo sapiens (Human)
-
標記方式:Non-conjugated
本頁面中的產品,VPS29 Antibody (CSB-PA890661LA01HU),的標記方式是Non-conjugated。對于VPS29 Antibody,我們還提供其他標記。見下表:
-
克隆類型:Polyclonal
-
抗體亞型:IgG
-
純化方式:Antigen?affinity?purification
-
濃度:It differs from different batches. Please contact us to confirm it.
-
保存緩沖液:PBS with 50% glycerol, pH7.4.
-
產品提供形式:Liquid
-
應用范圍:ELISA, WB, IHC
-
推薦稀釋比:
Application Recommended Dilution WB 1:500-1:2000 IHC 1:50-1:200 -
Protocols:
-
儲存條件:Upon receipt, store at -20°C or -80°C. Avoid repeated freeze.
-
貨期:Basically, we can dispatch the products out in 1-3 working days after receiving your orders. Delivery time maybe differs from different purchasing way or location, please kindly consult your local distributors for specific delivery time.
-
用途:For Research Use Only. Not for use in diagnostic or therapeutic procedures.
相關產品
靶點詳情
-
功能:Acts as component of the retromer cargo-selective complex (CSC). The CSC is believed to be the core functional component of retromer or respective retromer complex variants acting to prevent missorting of selected transmembrane cargo proteins into the lysosomal degradation pathway. The recruitment of the CSC to the endosomal membrane involves RAB7A and SNX3. The SNX-BAR retromer mediates retrograde transport of cargo proteins from endosomes to the trans-Golgi network (TGN) and is involved in endosome-to-plasma membrane transport for cargo protein recycling. The SNX3-retromer mediates the retrograde endosome-to-TGN transport of WLS distinct from the SNX-BAR retromer pathway. The SNX27-retromer is believed to be involved in endosome-to-plasma membrane trafficking and recycling of a broad spectrum of cargo proteins. The CSC seems to act as recruitment hub for other proteins, such as the WASH complex and TBC1D5. Required to regulate transcytosis of the polymeric immunoglobulin receptor (pIgR-pIgA). Acts also as component of the retriever complex. The retriever complex is a heterotrimeric complex related to retromer cargo-selective complex (CSC) and essential for retromer-independent retrieval and recycling of numerous cargos such as integrin alpha-5/beta-1 (ITGA5:ITGB1). In the endosomes, retriever complex drives the retrieval and recycling of NxxY-motif-containing cargo proteins by coupling to SNX17, a cargo essential for the homeostatic maintenance of numerous cell surface proteins associated with processes that include cell migration, cell adhesion, nutrient supply and cell signaling. The recruitment of the retriever complex to the endosomal membrane involves CCC and WASH complexes. Involved in GLUT1 endosome-to-plasma membrane trafficking; the function is dependent of association with ANKRD27.; (Microbial infection) The heterotrimeric retromer cargo-selective complex (CSC) mediates the exit of human papillomavirus from the early endosome and the delivery to the Golgi apparatus.
-
基因功能參考文獻:
- RidL is critical for binding of the L. pneumophila effector to the Vps29 retromer subunit and displacement of the regulator TBC1D5. PMID: 29146912
- The retromer complex is a highly conserved membrane trafficking assembly composed of three proteins - Vps26, Vps29 and Vps35, which are impaired in neurodegenerative diseases. (Review) PMID: 26965691
- This study demonstrated that Genetic variability of VPS29 in parkinsonism. PMID: 25475142
- Data indicate that vesicular transport proteins VPS35 and VPS29 influence the levels of the other subunit of retromer. PMID: 25937119
- Mutations in the gene composing the retromer cargo recognition subunit are not a common cause of Parkinson's disease. PMID: 24684791
- Conclusion is that VPS29 is a metal ion-independent, rigid scaffolding domain, which is essential but not sufficient for incorporation of retromer into functional endosomal transport assemblies. PMID: 21629666
- analysis of the phosphodiesterase/nuclease-like fold and two protein-protein interaction sites in human VPS29 PMID: 15788412
- It was demonstrated that recombinant human Vps29 displays in vitro phosphatase activity towards a serine-phosphorylated peptide, containing the acidic-cluster dileucine motif of the cytoplasmatic tail of the CI-M6PR. PMID: 16737443
- These observations indicate that the mammalian retromer complex assembles by sequential association of SNX1/2 and Vps26-Vps29-Vps35 subcomplexes on endosomal membranes and that SNX1 and SNX2 play interchangeable but essential roles. PMID: 17101778
- crystal structure of a VPS29-VPS35 subcomplex showing how the metallophosphoesterase-fold subunit VPS29 acts as a scaffold for the carboxy-terminal half of VPS35 PMID: 17891154
- Membrane recruitment of the cargo-selective retromer subcomplex VPS35/29/26 is catalysed by the small GTPase Rab7 and inhibited by the Rab-GAP TBC1D5. PMID: 19531583
顯示更多
收起更多
-
亞細胞定位:Cytoplasm. Membrane; Peripheral membrane protein. Endosome membrane; Peripheral membrane protein. Early endosome. Late endosome.
-
蛋白家族:VPS29 family
-
組織特異性:Ubiquitous. Highly expressed in heart, lung, placenta, spleen, peripheral blood leukocytes, thymus, colon skeletal muscle, kidney and brain.
-
數據庫鏈接:
Most popular with customers
-
-
YWHAB Recombinant Monoclonal Antibody
Applications: ELISA, WB, IHC, IF, FC
Species Reactivity: Human, Mouse, Rat
-
Phospho-YAP1 (S127) Recombinant Monoclonal Antibody
Applications: ELISA, WB, IHC
Species Reactivity: Human
-
-
-
-
-















