VPS26A Antibody
-
中文名稱:VPS26A兔多克隆抗體
-
貨號:CSB-PA025898LA11HU
-
規格:¥440
-
圖片:
-
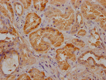
IHC image of CSB-PA025898LA11HU diluted at 1:300 and staining in paraffin-embedded human kidney tissue performed on a Leica BondTM system. After dewaxing and hydration, antigen retrieval was mediated by high pressure in a citrate buffer (pH 6.0). Section was blocked with 10% normal goat serum 30min at RT. Then primary antibody (1% BSA) was incubated at 4°C overnight. The primary is detected by a Goat anti-rabbit polymer IgG labeled by HRP and visualized using 0.05% DAB.
-
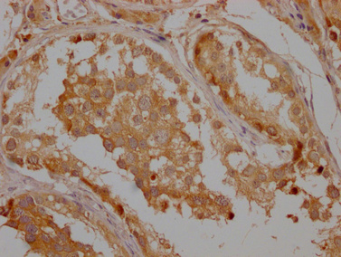
IHC image of CSB-PA025898LA11HU diluted at 1:300 and staining in paraffin-embedded human testis tissue performed on a Leica BondTM system. After dewaxing and hydration, antigen retrieval was mediated by high pressure in a citrate buffer (pH 6.0). Section was blocked with 10% normal goat serum 30min at RT. Then primary antibody (1% BSA) was incubated at 4°C overnight. The primary is detected by a Goat anti-rabbit polymer IgG labeled by HRP and visualized using 0.05% DAB.
-
-
其他:
產品詳情
-
產品名稱:Rabbit anti-Homo sapiens (Human) VPS26A Polyclonal antibody
-
Uniprot No.:
-
基因名:
-
別名:FLJ12930 antibody; HB 58 antibody; HB58 antibody; Hbeta 58 antibody; Hbeta 58 homolog antibody; Hbeta58 antibody; Hbeta58 homolog antibody; hVPS 26 antibody; hVPS26 antibody; MGC94168 antibody; PEP 8A antibody; PEP8A antibody; Vacuolar protein sorting 26 A antibody; Vacuolar protein sorting 26 antibody; Vacuolar protein sorting 26 homolog A antibody; Vacuolar protein sorting 26 homolog A S. pombe antibody; Vacuolar protein sorting 26 homolog A yeast antibody; Vacuolar protein sorting 26 yeast antibody; Vacuolar protein sorting 26 yeast homolog antibody; Vacuolar protein sorting 26A antibody; Vacuolar protein sorting associated protein 26A antibody; Vacuolar protein sorting-associated protein 26A antibody; Vesicle protein sorting 26 antibody; Vesicle protein sorting 26A antibody; VP26A_HUMAN antibody; VPS 26 antibody; VPS 26A antibody; VPS26A antibody
-
宿主:Rabbit
-
反應種屬:Human
-
免疫原:Recombinant Human Vacuolar protein sorting-associated protein 26A protein (21-180AA)
-
免疫原種屬:Homo sapiens (Human)
-
標記方式:Non-conjugated
本頁面中的產品,VPS26A Antibody (CSB-PA025898LA11HU),的標記方式是Non-conjugated。對于VPS26A Antibody,我們還提供其他標記。見下表:
-
克隆類型:Polyclonal
-
抗體亞型:IgG
-
純化方式:>95%, Protein G purified
-
濃度:It differs from different batches. Please contact us to confirm it.
-
保存緩沖液:Preservative: 0.03% Proclin 300
Constituents: 50% Glycerol, 0.01M PBS, PH 7.4 -
產品提供形式:Liquid
-
應用范圍:ELISA, IHC
-
推薦稀釋比:
Application Recommended Dilution IHC 1:200-1:500 -
Protocols:
-
儲存條件:Upon receipt, store at -20°C or -80°C. Avoid repeated freeze.
-
貨期:Basically, we can dispatch the products out in 1-3 working days after receiving your orders. Delivery time maybe differs from different purchasing way or location, please kindly consult your local distributors for specific delivery time.
-
用途:For Research Use Only. Not for use in diagnostic or therapeutic procedures.
相關產品
靶點詳情
-
功能:Acts as component of the retromer cargo-selective complex (CSC). The CSC is believed to be the core functional component of retromer or respective retromer complex variants acting to prevent missorting of selected transmembrane cargo proteins into the lysosomal degradation pathway. The recruitment of the CSC to the endosomal membrane involves RAB7A and SNX3. The SNX-BAR retromer mediates retrograde transport of cargo proteins from endosomes to the trans-Golgi network (TGN) and is involved in endosome-to-plasma membrane transport for cargo protein recycling. The SNX3-retromer mediates the retrograde endosome-to-TGN transport of WLS distinct from the SNX-BAR retromer pathway. The SNX27-retromer is believed to be involved in endosome-to-plasma membrane trafficking and recycling of a broad spectrum of cargo proteins. The CSC seems to act as recruitment hub for other proteins, such as the WASH complex and TBC1D5. Required for retrograde transport of lysosomal enzyme receptor IGF2R. Required to regulate transcytosis of the polymeric immunoglobulin receptor (pIgR-pIgA). Required for the endosomal localization of WASHC2A (indicative for the WASH complex). Required for the endosomal localization of TBC1D5. Mediates retromer cargo recognition of SORL1 and is involved in trafficking of SORL1 implicated in sorting and processing of APP. Involved in retromer-independent lysosomal sorting of F2R. Involved in recycling of ADRB2. Enhances the affinity of SNX27 for PDZ-binding motifs in cargo proteins.
-
基因功能參考文獻:
- The retromer complex is a highly conserved membrane trafficking assembly composed of three proteins - Vps26, Vps29 and Vps35, which are impaired in neurodegenerative diseases. (Review) PMID: 26965691
- Mutagenesis studies coupled with coimmunoprecipitations revealed that retromer-mediated trafficking requires the Env cytoplasmic tail that we show binds directly to retromer components Vps35 and Vps26. PMID: 25393110
- This study demonstrated that Genetic variability of VPS26A in parkinsonism. PMID: 25475142
- Mutations in the gene composing the retromer cargo recognition subunit are not a common cause of Parkinson's disease. PMID: 24684791
- Mutations in VPS26A are not a frequent cause of Parkinson's disease. PMID: 24417787
- VPS26A binding increases the affinity of the SNX27 PDZ domain for PDZ- binding motifs by an order of magnitude, revealing cooperativity in cargo selection. PMID: 25136126
- Rabankyrin-5 interacts with EHD1 and Vps26 to regulate endocytic trafficking and retromer function PMID: 22284051
- Colocalization of Vps26 paralogues with different endosomally located Rab proteins shows prolonged association of Vps26B-retromer with maturing endosomes relative to Vps26A-retromer. PMID: 21920005
- These observations indicate that the mammalian retromer complex assembles by sequential association of SNX1/2 and Vps26-Vps29-Vps35 subcomplexes on endosomal membranes and that SNX1 and SNX2 play interchangeable but essential roles. PMID: 17101778
- Membrane recruitment of the cargo-selective retromer subcomplex VPS35/29/26 is catalysed by the small GTPase Rab7 and inhibited by the Rab-GAP TBC1D5. PMID: 19531583
顯示更多
收起更多
-
亞細胞定位:Cytoplasm. Endosome membrane; Peripheral membrane protein. Early endosome.
-
蛋白家族:VPS26 family
-
數據庫鏈接:
Most popular with customers
-
-
YWHAB Recombinant Monoclonal Antibody
Applications: ELISA, WB, IHC, IF, FC
Species Reactivity: Human, Mouse, Rat
-
Phospho-YAP1 (S127) Recombinant Monoclonal Antibody
Applications: ELISA, WB, IHC
Species Reactivity: Human
-
-
-
-
-















