VPS25 Antibody
-
中文名稱:VPS25兔多克隆抗體
-
貨號:CSB-PA887108LA01HU
-
規格:¥440
-
圖片:
-
Western blot
All lanes: VPS25 antibody at 3µg/ml
Lane 1: Mouse kidney tissue
Lane 2: HL60 whole cell lysate
Lane 3: THP-1 whole cell lysate
Secondary
Goat polyclonal to rabbit IgG at 1/10000 dilution
Predicted band size: 21 kDa
Observed band size: 21 kDa -
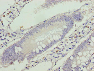
Immunohistochemistry of paraffin-embedded human colon cancer using CSB-PA887108LA01HU at dilution of 1:100
-
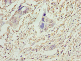
Immunohistochemistry of paraffin-embedded human pancreatic cancer using CSB-PA887108LA01HU at dilution of 1:100
-
Immunofluorescence staining of Hela cells with CSB-PA887108LA01HU at 1:100, counter-stained with DAPI. The cells were fixed in 4% formaldehyde, permeabilized using 0.2% Triton X-100 and blocked in 10% normal Goat Serum. The cells were then incubated with the antibody overnight at 4°C. The secondary antibody was Alexa Fluor 488-congugated AffiniPure Goat Anti-Rabbit IgG(H+L).
-
-
其他:
產品詳情
-
產品名稱:Rabbit anti-Homo sapiens (Human) VPS25 Polyclonal antibody
-
Uniprot No.:
-
基因名:
-
別名:Dermal papilla derived protein 9 antibody; Dermal papilla-derived protein 9 antibody; DERP9 antibody; EAP20 antibody; ELL associated protein of 20 kDa antibody; ELL-associated protein of 20 kDa antibody; ESCRT-II complex subunit VPS25 antibody; FAP20 antibody; HGNC:28122 antibody; hVps25 antibody; MGC10540 antibody; Vacuolar protein sorting 25 homolog (S. cerevisiae) antibody; Vacuolar protein sorting associated protein 25 antibody; Vacuolar protein-sorting-associated protein 25 antibody; VPS25 antibody; VPS25_HUMAN antibody
-
宿主:Rabbit
-
反應種屬:Human, Mouse
-
免疫原:Recombinant Human Vacuolar protein-sorting-associated protein 25 protein (1-176AA)
-
免疫原種屬:Homo sapiens (Human)
-
標記方式:Non-conjugated
本頁面中的產品,VPS25 Antibody (CSB-PA887108LA01HU),的標記方式是Non-conjugated。對于VPS25 Antibody,我們還提供其他標記。見下表:
-
克隆類型:Polyclonal
-
抗體亞型:IgG
-
純化方式:>95%, Protein G purified
-
濃度:It differs from different batches. Please contact us to confirm it.
-
保存緩沖液:Preservative: 0.03% Proclin 300
Constituents: 50% Glycerol, 0.01M PBS, PH 7.4 -
產品提供形式:Liquid
-
應用范圍:ELISA, WB, IHC, IF
-
推薦稀釋比:
Application Recommended Dilution WB 1:1000-1:5000 IHC 1:20-1:200 IF 1:50-1:200 -
Protocols:
-
儲存條件:Upon receipt, store at -20°C or -80°C. Avoid repeated freeze.
-
貨期:Basically, we can dispatch the products out in 1-3 working days after receiving your orders. Delivery time maybe differs from different purchasing way or location, please kindly consult your local distributors for specific delivery time.
-
用途:For Research Use Only. Not for use in diagnostic or therapeutic procedures.
相關產品
靶點詳情
-
功能:Component of the ESCRT-II complex (endosomal sorting complex required for transport II), which is required for multivesicular body (MVB) formation and sorting of endosomal cargo proteins into MVBs. The MVB pathway mediates delivery of transmembrane proteins into the lumen of the lysosome for degradation. The ESCRT-II complex is probably involved in the recruitment of the ESCRT-III complex. The ESCRT-II complex may also play a role in transcription regulation, possibly via its interaction with ELL. The ESCRT-II complex may be involved in facilitating the budding of certain RNA viruses.
-
基因功能參考文獻:
- mammalian ESCRTII is made up of hVps25p, hVps22p, and hVps36p and may be redundant, cargo-specific, or not required for protein sorting at the multivesicular body PMID: 16371348
-
亞細胞定位:Cytoplasm. Endosome membrane. Nucleus, nucleoplasm. Note=Distributes diffusely throughout the cytoplasm and nucleoplasm, but exhibits a punctate distribution on coexpression with CHMP6.
-
蛋白家族:VPS25 family
-
組織特異性:Expressed at the mRNA level in kidney, liver, pancreas, and placenta. Lower levels of expression are found in heart, skeletal muscle, brain and lung.
-
數據庫鏈接:
Most popular with customers
-
-
YWHAB Recombinant Monoclonal Antibody
Applications: ELISA, WB, IHC, IF, FC
Species Reactivity: Human, Mouse, Rat
-
-
-
-
-
-















