VLDLR Antibody
-
中文名稱:VLDLR兔多克隆抗體
-
貨號:CSB-PA025865LA01HU
-
規格:¥440
-
圖片:
-
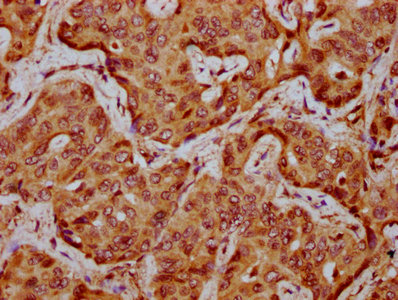
IHC image of CSB-PA025865LA01HU diluted at 1:300 and staining in paraffin-embedded human liver cancer performed on a Leica BondTM system. After dewaxing and hydration, antigen retrieval was mediated by high pressure in a citrate buffer (pH 6.0). Section was blocked with 10% normal goat serum 30min at RT. Then primary antibody (1% BSA) was incubated at 4°C overnight. The primary is detected by a biotinylated secondary antibody and visualized using an HRP conjugated SP system.
-
Immunofluorescence staining of HepG2 cells with CSB-PA025865LA01HU at 1:100, counter-stained with DAPI. The cells were fixed in 4% formaldehyde, permeabilized using 0.2% Triton X-100 and blocked in 10% normal Goat Serum. The cells were then incubated with the antibody overnight at 4°C. The secondary antibody was Alexa Fluor 488-congugated AffiniPure Goat Anti-Rabbit IgG(H+L).
-
-
其他:
產品詳情
-
產品名稱:Rabbit anti-Homo sapiens (Human) VLDLR Polyclonal antibody
-
Uniprot No.:
-
基因名:VLDLR
-
別名:FLJ35024 antibody; Very low density lipoprotein receptor antibody; Very low-density lipoprotein receptor antibody; VLDL R antibody; VLDL receptor antibody; VLDL-R antibody; VLDLR antibody; VLDLR_HUMAN antibody; VLDLRCH antibody
-
宿主:Rabbit
-
反應種屬:Human
-
免疫原:Recombinant Human Very low-density lipoprotein receptor protein (133-247AA)
-
免疫原種屬:Homo sapiens (Human)
-
標記方式:Non-conjugated
本頁面中的產品,VLDLR Antibody (CSB-PA025865LA01HU),的標記方式是Non-conjugated。對于VLDLR Antibody,我們還提供其他標記。見下表:
-
克隆類型:Polyclonal
-
抗體亞型:IgG
-
純化方式:>95%, Protein G purified
-
濃度:It differs from different batches. Please contact us to confirm it.
-
保存緩沖液:Preservative: 0.03% Proclin 300
Constituents: 50% Glycerol, 0.01M PBS, pH 7.4 -
產品提供形式:Liquid
-
應用范圍:ELISA, IHC, IF
-
推薦稀釋比:
Application Recommended Dilution IHC 1:200-1:500 IF 1:50-1:200 -
Protocols:
-
儲存條件:Upon receipt, store at -20°C or -80°C. Avoid repeated freeze.
-
貨期:Basically, we can dispatch the products out in 1-3 working days after receiving your orders. Delivery time maybe differs from different purchasing way or location, please kindly consult your local distributors for specific delivery time.
-
用途:For Research Use Only. Not for use in diagnostic or therapeutic procedures.
相關產品
靶點詳情
-
功能:Binds VLDL and transports it into cells by endocytosis. In order to be internalized, the receptor-ligand complexes must first cluster into clathrin-coated pits. Binding to Reelin induces tyrosine phosphorylation of Dab1 and modulation of Tau phosphorylation.
-
基因功能參考文獻:
- In summary, ER retention of pathogenic VLDLR mutants involves binding to calnexin, elevated endoplasmic reticulum stress, and delayed degradation which is dependent on SEL1L. PMID: 29371607
- Our findings described an atherogenic phenotype characterized by low VLDL-C but high VLDLR mRNA expression in peripheral WBCs, which suggested that VLDLR in all types of peripheral WBCs may be involved in lipid deposition, and VLDL-C and VLDLR may co-determine the development of atherosclerosis. PMID: 29042132
- In the second family, we identified a previously unreported homozygous missense change, c.154T > C (p.Cys52Arg) in the VLDLR gene PMID: 27108886
- VLDLR expression was negatively regulated by miR-200c Colorectal cancer (CRC) cells and their expression levels were inversely correlated in CRC patients. PMID: 28112443
- We screened for mutations in RELN or VLDLR and compared the phenotype of these patients with that of previously reported patients. differences in clinical severity, involvement of the cerebellar hemispheres, together with the severity of the neocortical defect, enables RELN-mutated patients to be distinguished from VLDLR-mutated patients. PMID: 27000652
- Data suggest that, in the binding of fibrin beta N-domains and the (1-8) peptide fragment of VLDLR (very low density lipoprotein receptor), the second and third Lys/Arg clusters in fibrin make major contributions to this interaction while the contribution of the first cluster is moderate. PMID: 28437098
- The presence of reelin was elevated in junctional areas as in dysplastic nevi. VLDLR presented positive values in 16 cases (16/ 32) and ApoER2 was weak positive in 7 cases. PMID: 28255385
- These results for the first time demonstrated that SalA protected against IS/RP-induced endothelial barrier dysfunction through suppression of VLDL receptor expression PMID: 24662412
- these results suggest that VLDLR functions in vivo as an HCV receptor independent of canonical CD81-mediated HCV entry. PMID: 26699506
- the results obtained indicate that minimal fibrin-binding structures are located within the second and third CR domains of the VLDL receptor and the presence of the fourth CR domain is required for high-affinity binding PMID: 26153297
- The results of this study demonstrated the presence of reelin, its receptors VLDLR and ApoER2 as well as Dab1 in the ENS and might indicate a novel role of the reelin system in regulating neuronal plasticity and pre-synaptic functions in the ENS. PMID: 24844606
- these results suggested that the miR-135a-VLDLR-p38 axis may contribute to gallbladder cancer cell proliferation PMID: 24903309
- study identified a novel homozygous VLDLR c.2248C>T mutation (p.Q750X) and distinctive MRI findings in 2 siblings with ataxia; also marked vitamin E deficiency was detected in the proband PMID: 23813796
- these results identify a novel role for the VLDLR as a negative regulator of DC-mediated adaptive immune responses in HDM-induced allergic airway inflammation. PMID: 24733846
- ectopic expression of HIC1 in U2OS and MDA-MB-231 cell lines decreases expression of the ApoER2 and VLDLR genes, encoding two canonical tyrosine kinase receptors for Reelin. PMID: 24076391
- an unusual constellation of VLDLR mutations in Cerebellar ataxia, mental retardation and dysequilibrium syndrome 1 is reported PMID: 23670308
- Results show variation in VLDLR is implicated in disordered gambling PMID: 22780124
- These results conclude that in the hypoxic hearts of mice and men, the VLDLr gene is regulated by a direct binding of Hif-1alpha to the VLDLr promoter PMID: 23811271
- Stx5 might play a role in modulating VLDL-R physiology by participating in an abrasively described or completely novel Golgi-bypass pathway. PMID: 23701949
- In this report, we present 3 patients from 2 different families displaying very low density lipoprotein receptor-associated pontocerebellar hypoplasia, cortical dysplasia, mental retardation, and bipedal gait. PMID: 22532556
- The pathological increase of HIF-1alpha in clear-cell renal cell carcinoma cells upregulates VLDL-R, which mediates increased uptake and accumulation of lipids. PMID: 23185271
- Insulin could down-regulate expression of type I VLDLR and up-regulate the expression of type II VLDLR in SGC7901 cells. PMID: 21063833
- A homozygous missense mutation (c.2117 G > T, p.C706F) is identified in the VLDLR gene in both families on a shared affected haplotype block. PMID: 22973972
- Variation in genes encoding proteins at the gateway of Reelin signaling: ligands RELN and APOE, their common receptors APOER2 and VLDLR, and adaptor DAB1, was examined. PMID: 22419519
- VLDLR encodes very low-dentisy lipoprotein receptor. PMID: 22876580
- In the expression study, only ARG1 (4.5-fold) and VLDLR (4-fold) expressions were significantly upregulated in the overweight group compared with the normal-weight group. PMID: 22189190
- Copy number variation of VLDLR is associated with age-related macular degeneration. PMID: 22355348
- In later stages of cerebral cortical development, ApoER2 is expressed earlier than VLDLR in migrating neurons. PMID: 21601501
- activation of VLDLR and apoER2 by reelin and apoE induces ABCA1 expression and cholesterol efflux via a Dab1-PI3K-PKCzeta-Sp1 signaling cascade. PMID: 22170052
- RIG-I signaling results in the inhibitions of infections of rhinoviruses 1B through the miR-23b-mediated down-regulation of its receptor VLDLR PMID: 21642441
- VLDLR II may have a role in lymph node and distant metastasis in gastric and breast cancer patients, and has a potential link with beta-catenin signaling pathway PMID: 21047397
- VLDL or beta-VLDL-induced VLDLR expression via PKC/ERK cascades and the effect was linked to the transcriptional activation of VLDLR gene promoter. PMID: 19224153
- These results indicated that extracellular ligands can change the expression of type II VLDLR to affect cell proliferation and migration. PMID: 20624392
- Transfected ecombinant human VLDLR bound mouse Pafah1b3 or Pafah1b2 but not with Lis1. PMID: 17330141
- binds to two adjacent copies of human rhinovirus VP1 proteins PMID: 12857919
- like the LDL receptor, LRP prefers lipid-bound forms of apoE, but in contrast to the LDL receptor, both LRP and the VLDL receptor recognize all apoE isoforms PMID: 15863833
- The effects of apoE on receptor proteolysis were mediated by the ligand binding domain of the receptor. We suggest that signaling promoted by these receptors depends in part on these regulated proteolytic events. PMID: 15950758
- These artificial receptors protected HeLa cells against infection with human rhinovirus serotype 2 (HRV2) to a degree that strongly increased with the number of repeats present. PMID: 15950998
- Results suggest that VLDLR CGG repeat polymorphism was associated with bone mineral density (BMD) in men, with two (CGG)(n > or= 8) alleles being related to increased BMD. PMID: 15953542
- Homozygous deletion of the very low density lipoprotein receptor gene causes autosomal recessive cerebellar hypoplasia with cerebral gyral simplification. PMID: 16080122
- fluorescence correlation spectroscopy was used to determine the equilibrium binding constants and the mode of attachment of recombinant concatemers of ligand binding module 3 of the human VLDLR to Human rhinovirus HRV2 PMID: 17472347
- VLDLR functions as a negative regulator of CNV, and this function is mediated through the wnt pathway. PMID: 17890782
- Our findings suggest that peripheral VLDLR mRNA levels may serve as a reliable peripheral biological marker of schizophrenia, and that the reelin-VLDLR/ApoER2 signaling pathway plays a role in the pathophysiology of schizophrenia. PMID: 17936586
- TSP1 and TSP2, together with the VLDLR, initiate a nonapoptotic pathway for maintenance of the normal adult vascular endothelium in a quiescent state. PMID: 18032585
- the activity of PCSK9 and its binding affinity on VLDLR and ApoER2 does not depend on the presence of LDLR. PMID: 18039658
- A nonsense mutation in patients with dysequilibrium syndrome affects the very low-density lipoprotein receptor (VLDLR) exclusively, confirming the central role of the VLDLR in the etiology of this condition. PMID: 18043714
- one tagSNP (SNP 1226; rs1454626) located in the 5' flanking region of VLDLR was associated with CAAD, BMI, and LDL-associated apoB. PMID: 18056683
- the binding sites for VLDLR (very low density lipoprotein receptor) and LRP (low-density lipoprotein receptor-related protein) within Factor VIII overlap and the A2 site becomes exposed upon physiological activation of Factor VIII. PMID: 18277139
- mutations in VLDLR impair cerebrocerebellar function, conferring in these families a dramatic influence on gait, and that hereditary disorders associated with quadrupedal gait in humans are genetically heterogeneous PMID: 18326629
- Associated with cerebellar ataxia, which can lead to quadrupedal locomotion. PMID: 18364738
顯示更多
收起更多
-
相關疾?。?/div>Cerebellar ataxia, mental retardation, and dysequilibrium syndrome 1 (CAMRQ1)亞細胞定位:Membrane; Single-pass type I membrane protein. Membrane, clathrin-coated pit; Single-pass type I membrane protein.組織特異性:Abundant in heart and skeletal muscle; also ovary and kidney; not in liver.數據庫鏈接:
Most popular with customers
-
-
YWHAB Recombinant Monoclonal Antibody
Applications: ELISA, WB, IHC, IF, FC
Species Reactivity: Human, Mouse, Rat
-
Phospho-YAP1 (S127) Recombinant Monoclonal Antibody
Applications: ELISA, WB, IHC
Species Reactivity: Human
-
-
-
-
-















