VHL Antibody
-
中文名稱:VHL兔多克隆抗體
-
貨號:CSB-PA991849
-
規格:¥1100
-
圖片:
-
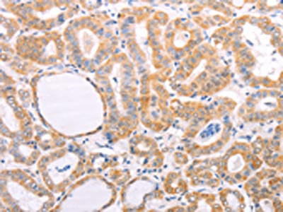
The image on the left is immunohistochemistry of paraffin-embedded Human cervical cancer tissue using CSB-PA991849(VHL Antibody) at dilution 1/40, on the right is treated with fusion protein. (Original magnification: ×200)
-
The image on the left is immunohistochemistry of paraffin-embedded Human thyroid cancer tissue using CSB-PA991849(VHL Antibody) at dilution 1/40, on the right is treated with fusion protein. (Original magnification: ×200)
-
-
其他:
產品詳情
-
Uniprot No.:
-
基因名:
-
別名:Elongin binding protein antibody; G7 protein antibody; HRCA 1 antibody; HRCA1 antibody; Protein G7 antibody; pVHL antibody; RCA 1 antibody; RCA1 antibody; VHL 1 antibody; VHL antibody; VHL_HUMAN antibody; VHL1 antibody; VHLH antibody; Von Hippel Lindau antibody; Von Hippel Lindau disease tumor suppressor antibody; von Hippel Lindau syndrome antibody; von Hippel Lindau tumor suppressor antibody; Von Hippel Lindau tumor suppressor, E3 ubiquitin protein ligase antibody; Von Hippel-Lindau disease tumor suppressor antibody
-
宿主:Rabbit
-
反應種屬:Human
-
免疫原:Fusion protein of Human VHL
-
免疫原種屬:Homo sapiens (Human)
-
標記方式:Non-conjugated
-
抗體亞型:IgG
-
純化方式:Antigen affinity purification
-
濃度:It differs from different batches. Please contact us to confirm it.
-
保存緩沖液:-20°C, pH7.4 PBS, 0.05% NaN3, 40% Glycerol
-
產品提供形式:Liquid
-
應用范圍:ELISA,IHC
-
推薦稀釋比:
Application Recommended Dilution ELISA 1:2000-1:10000 IHC 1:50-1:200 -
Protocols:
-
儲存條件:Upon receipt, store at -20°C or -80°C. Avoid repeated freeze.
-
貨期:Basically, we can dispatch the products out in 1-3 working days after receiving your orders. Delivery time maybe differs from different purchasing way or location, please kindly consult your local distributors for specific delivery time.
-
用途:For Research Use Only. Not for use in diagnostic or therapeutic procedures.
相關產品
靶點詳情
-
功能:Involved in the ubiquitination and subsequent proteasomal degradation via the von Hippel-Lindau ubiquitination complex. Seems to act as a target recruitment subunit in the E3 ubiquitin ligase complex and recruits hydroxylated hypoxia-inducible factor (HIF) under normoxic conditions. Involved in transcriptional repression through interaction with HIF1A, HIF1AN and histone deacetylases. Ubiquitinates, in an oxygen-responsive manner, ADRB2.
-
基因功能參考文獻:
- The sporadic hemangioblastoma can occur rarely without a somatic biallelic VHL mutation. The VHL protein was earlier found to be associated with the deposition of matrix fibronectin (FN) protein in the renal extracellular matrix. PMID: 29813026
- aldehyde dehydrogenase 2 (ALDH2) is found to be transcriptionally regulated by VHL and contributes to enhanced anthracyclines cytotoxicity in clear cell renal cell carcinoma cells. PMID: 28643803
- Study suggests that reduced expression of PBRM1 and VHL in clear cell renal cell carcinoma is correlated with an increased tumor aggressiveness. Low VHL expression identified as a risk factor for worse patient overall survival. PMID: 29169846
- The results of the present study also demonstrated a mutation in VHL associated with the VHL syndrome phenotype, which may be of future therapeutic benefit for the diagnosis of VHL syndrome. PMID: 29749453
- Overexpression of VHL was more successful at inhibiting fibrosis compared with silencing HIF-1a plus HIF-2a. Normoxia-active HIF-1a or HIF-2a prevented the inhibitory effect of VHL on liver fibrosis, indicating that attenuating fibrosis via VHL is HIF-1a- and HIF-2a-dependent to some extent. PMID: 28112200
- The inverse correlation between the VHL gene expression profile and alisertib sensitivity was further confirmed in human cancer xenografts models. Taken together, these results suggested that VHL loss could potentially serve as a biomarker for predicting the efficacy of AURKA inhibitors. PMID: 29845253
- JMJD6 regulates VHL gene expression in the human placenta. VHL downregulation in preeclampsia is dependent on decreased JMJD6 demethylase activity due to hypoxia and reduced Fe2+ bioavailability. PMID: 29373688
- Low VHL expression is associated with papillary thyroid carcinoma. PMID: 29340905
- that the reduced expression of LimD1 and VHL might have synergistic effect on induction of HIF1alpha resulting increased cellular proliferation and progression of the disease. PMID: 29033184
- A two-hit loss involving VHL predicted for clear-cell renal cell carcinoma(ccRCC ) and a better prognosis, whereas mutations in PTEN, TP53, or RELN predicted for Sarcomatoid clear-cell renal cell carcinoma and worse prognosis. PMID: 28710314
- we report a rare case of renal-cell carcinoma and hereditary polycythemia. Genotyping revealed that the patient carried both a germline HIF2A mutation and a somatic VHL mutation. Both mutations result in overactivation of HIF2A and its downstream target genes PMID: 29172931
- The co-transfection of VHL and PLN in HEK293 cells decreased PLN expression under oxidative stress, whereas knockdown of VHL increased PLN expression both under normal and oxidative stress conditions. PMID: 29068413
- missense mutations in the VHL gene during sporadic CCRCC were studied to evaluate their specific localization in relation to binding sites for the proteins interacting with VHL. PMID: 28853079
- epigenomic profiling of clear cell renal cell carcinoma (ccRCC) establishes a compendium of somatically altered cis-regulatory elements, uncovering new potential targets including ZNF395. Loss of VHL, a ccRCC signature event, causes pervasive enhancer malfunction, with binding of enhancer-centric HIF2a and recruitment of histone acetyltransferase p300 at preexisting lineage-specific promoter-enhancer complexes PMID: 28893800
- Biochemical analyses demonstrate that Daam2 associates with VHL and facilitates its ubiquitination and degradation. PMID: 29053101
- VHLdb presently contains 478 interactors, of which 117 have been manually curated, and 1,074 mutations. This makes it the largest available database for pVHL-related information PMID: 27511743
- A mouse model based on concurrent ectopic expression of constitutively active Notch1 (NICD1) and deletion of the Vhl gene show the existence of nests of dysplastic cells in the kidney with a clear cytoplasm as a consequence of lipid accumulation, thus displaying a one important hallmark of human clear cell renal cell carcinoma. PMID: 27491826
- VHL mutation is associated with paediatric pheochromocytoma and paraganglioma. PMID: 28432847
- pVHL loss causes the transcriptional activation of hypoxia-inducible factor (HIF) target genes, including many genes that encode histone lysine demethylases. PMID: 28701475
- VHL expression was associated with the presence of mutations, and the absence of expression was associated with nuclear grade and the presence of metastasis in clear cell renal cell carcinoma patients. PMID: 27836247
- HIF-1alpha/miR-210 pathway is strongly activated in VHL mutated paragangliomas, weakly activated in SDHx mutated PGLs, and not activated in VHLdel- and SDHxwt/VHLwt-PGLs. PMID: 28036268
- VHL missense mutations in the p53 binding domain show different effects on p53 signaling and HIFalpha degradation in clear cell renal cell carcinoma, enhancing tumor cell survival. PMID: 28052007
- the structural model of the HIF2a-pVHL complex presented in this study enhances understanding of how HIF2a is captured by pVHL. Moreover, the important contact amino acids that we identified may be useful in the development of drugs to treat HIF2a-related diseases. PMID: 27902963
- these findings demonstrate that USP9X is a novel regulator of Von Hippel-Lindau protein stability, and USP9X may be a therapeutic target for treatment of Von Hippel-Lindau protein-related tumors PMID: 27517496
- To the best of our knowledge, this is the first report of the coexistence of VHL disease and CPT2 deficiency in the same individual. Based on findings from animal models, the case illustrates that mutations in the VHL gene might protect against renal damage caused by CPT2 gene mutations. PMID: 27034144
- Our work provides the first evidence that VHL mutations positively correlate with PD-L1 expression in ccRCC and may influence the response to ccRCC anti-PD-L1/PD-1 immunotherapy. PMID: 26707870
- VHL is one of the commonly disrupted genes in patients with Sarcomatoid Renal Cell Carcinoma. PMID: 26895810
- This article puts together the sequential pathogenesis of VHL mutant Clear cell renal cell carcinoma (ccRCC) by elaborating these mechanisms and the interplay of oncogenic pathways, epigenetics, metabolism and immune evasion, with a perspective on potential therapeutic strategies. PMID: 27329246
- VHL promoter region 7896829 which was hypermethylated with sunitinib treatment in metastatic clear cell renal cancer PMID: 27029034
- Positive staining for pVHL was observed in cancerous areas but not in normal tissues in patients with tongue cancer PMID: 28549422
- miR-92 can target the VHL transcript to repress its expression. PMID: 28952293
- VHL gene expression is deregulated in the majority of papillary thyroid cancer tissues. PMID: 28089820
- kidney-specific deletion of Vhl and Pbrm1, but not either gene alone, results in bilateral, multifocal, transplantable clear cell kidney cancers. PMID: 28329682
- Loss of VHL gene is associated with paragangliomas. PMID: 28099933
- It has been proposed that the archetypal linker protein Rootletin maintains centrosome cohesion in part through inhibition of VHL-mediated Cep68 degradation. PMID: 28089774
- Results show that VHL missense mutations may exert mild, moderate or strong impact on protein stability. Besides the HIF binding domain, other pVHL binding sites seem to be non-randomly altered by missense mutations in sporadic clear cell renal cell carcinoma. PMID: 27530247
- Data identify VHL as an E3 ligase with important cellular functions under both normoxic and hypoxic conditions. PMID: 28114281
- Moderate/strong NEMO protein expression is more frequent in VHL wild-type ccRCCs. PMID: 26500060
- The Absence of MCM7 weakened the interaction between Cep68 and VHL, whereas MCM7 overexpression facilitated the Cep68-VHL association. PMID: 28578000
- this meta-analysis indicates that VHL gene alteration has no prognostic or predictive value in patients with clear cell renal cell carcinoma PMID: 28103578
- Low VHL expression is associated with Clear cell renal cell carcinoma. PMID: 27841867
- The negative feedback modulation between LncRNA-SARCC/AR complex and HIF-2alpha signaling may then lead to differentially modulated RCC progression in a VHL-dependent manner. Together, these results may provide us a new therapeutic approach via targeting this newly identified signal from LncRNA-SARCC to AR-mediated HIF-2alpha/C-MYC signals against RCC progression. PMID: 26973243
- Our study reveals a novel mechanism regulating VHL proteostasis and function, which is significant for identifying new drug targets and developing new therapeutic approaches targeting VHL deficiency in VHL diseases. PMID: 26973240
- The prefoldin subunit Pac10 (the human homolog VBP-1 binds to pVHL) is required for pVHL stability. Reduction of soluble functional pVHL might be crucial in VHL-related diseases. PMID: 27179072
- Up-regulation of 14-3-3zeta in response to pVHL is important for the recruitment of PI3K to the cell membrane and for stabilization of soluble beta-catenin. PMID: 28666999
- pVHL mediates K63-linked ubiquitination of IKKbeta, which plays a role in the regulation of IKK/NF-kappaB signalling. PMID: 27693634
- VHL hypermethylation was significantly correlated with SLE. PMID: 27940592
- by modulating hypoxia-inducible factor activity via up-regulation of VHL, FOXO3a (foxo3b) plays an important role in survival in response to hypoxic stress. PMID: 27777301
- Results show that pVHL interacts with B-Myb for proteasomal degradation. This regulation of B-Myb by pVHL plays a critical role in von Hippel-Lindau disease. PMID: 27090638
- The von Hippel-Lindau protein (pVHL)-dependent degradation of HIF-2a participates in the regulation of ERalpha expression. Additionally, HIF-2a forms a protein complex with ERa, and amino acids 396-823 of HIF-2a physically interact with the ligand-binding domain of ERa PMID: 27323688
顯示更多
收起更多
-
相關疾?。?/div>Pheochromocytoma (PCC); von Hippel-Lindau disease (VHLD); Erythrocytosis, familial, 2 (ECYT2); Renal cell carcinoma (RCC)亞細胞定位:[Isoform 1]: Cytoplasm. Membrane; Peripheral membrane protein. Nucleus. Note=Found predominantly in the cytoplasm and with less amounts nuclear or membrane-associated. Colocalizes with ADRB2 at the cell membrane.; [Isoform 3]: Cytoplasm. Nucleus. Note=Equally distributed between the nucleus and the cytoplasm but not membrane-associated.蛋白家族:VHL family組織特異性:Expressed in the adult and fetal brain and kidney.數據庫鏈接:
Most popular with customers
-
-
YWHAB Recombinant Monoclonal Antibody
Applications: ELISA, WB, IHC, IF, FC
Species Reactivity: Human, Mouse, Rat
-
Phospho-YAP1 (S127) Recombinant Monoclonal Antibody
Applications: ELISA, WB, IHC
Species Reactivity: Human
-
-
-
-
-















