VENTX Antibody
-
中文名稱:VENTX兔多克隆抗體
-
貨號:CSB-PA528513DSR2HU
-
規格:¥440
-
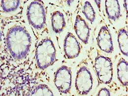
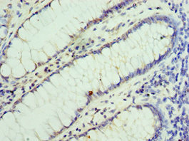
圖片:
-
其他:
產品詳情
-
產品名稱:Rabbit anti-Homo sapiens (Human) VENTX Polyclonal antibody
-
Uniprot No.:
-
基因名:VENTX
-
別名:hemopoietic progenitor homeobox protein VENTX2 antibody; Homeobox protein VENTX antibody; HPX42B antibody; MGC119910 antibody; MGC119911 antibody; NA88A antibody; VENT homeobox homolog antibody; VENT like homeobox 2 antibody; VENT like homeobox protein 2 antibody; VENT-like homeobox protein 2 antibody; VENTX antibody; VENTX_HUMAN antibody; VENTX2 antibody
-
宿主:Rabbit
-
反應種屬:Human
-
免疫原:Recombinant Human Homeobox protein VENTX protein (1-258AA)
-
免疫原種屬:Homo sapiens (Human)
-
標記方式:Non-conjugated
-
克隆類型:Polyclonal
-
抗體亞型:IgG
-
純化方式:Antigen Affinity Purified
-
濃度:It differs from different batches. Please contact us to confirm it.
-
保存緩沖液:PBS with 0.02% sodium azide, 50% glycerol, pH7.3.
-
產品提供形式:Liquid
-
應用范圍:ELISA, IHC
-
推薦稀釋比:
Application Recommended Dilution IHC 1:20-1:200 -
Protocols:
-
儲存條件:Upon receipt, store at -20°C or -80°C. Avoid repeated freeze.
-
貨期:Basically, we can dispatch the products out in 1-3 working days after receiving your orders. Delivery time maybe differs from different purchasing way or location, please kindly consult your local distributors for specific delivery time.
-
用途:For Research Use Only. Not for use in diagnostic or therapeutic procedures.
相關產品
靶點詳情
-
功能:May be involved in ventralization.
-
基因功能參考文獻:
- Findings suggest potential applications of homeobox protein VentX (VentX)-regulated tumor-associated macrophages (TAMs) in cancer immunotherapy. PMID: 29872044
- VENTX impairs expression of genes involved in erythroid differentiation and is highly expressed in patients with acute erythroid leukemia. PMID: 27888632
- VentX induces apoptosis of cancer cells in a p53-independent manner PMID: 27175592
- Data suggest that homeobox transcription factor VentX may be a target to modulate Dendritic cells (DCs) functions and manage inflammatory diseases. PMID: 24706756
- VentX regulates critical cell cycle regulators and Wnt downstream genes previously implicated in HSC/MPP proliferation and expansion. PMID: 22791709
- Results provide mechanistic insight into the crucial roles of VentX in macrophage differentiation and proinflammatory activation and suggest that dysregulation of VentX may play a role in the pathogenesis of autoimmune diseases. PMID: 21670496
- Data show that VentX is a direct transcriptional activator of p53-p21 and p16ink4a-Rb tumor suppression pathways. PMID: 21325273
- these data extend our insights into the function of embryonic mesodermal factors in human postnatal hematopoiesis and indicate a role for VENTX in normal and malignant myelopoiesis. PMID: 20833819
- a potential role of VentX in the clinical behavior of hematopoietic malignancies. PMID: 20028861
顯示更多
收起更多
-
亞細胞定位:Nucleus.
-
組織特異性:Expressed in bone marrow of patients recovering from chemotherapy. Also expressed in an erythroleukemia cell line.
-
數據庫鏈接:
Most popular with customers
-
-
YWHAB Recombinant Monoclonal Antibody
Applications: ELISA, WB, IHC, IF, FC
Species Reactivity: Human, Mouse, Rat
-
Phospho-YAP1 (S127) Recombinant Monoclonal Antibody
Applications: ELISA, WB, IHC
Species Reactivity: Human
-
-
-
-
-















