-
中文名稱:VASN兔多克隆抗體
-
貨號:CSB-PA025796OA01HU
-
規格:¥440
-
圖片:
-
Western Blot
Positive WB detected in: SY5Y whole cell lysate(30μg), K562 whole cell lysate(30μg), HL60 whole cell lysate(30μg)
All lanes: VASN antibody at 1:1000
Secondary
Goat polyclonal to rabbit IgG at 1/20000 dilution
Predicted band size: 72 kDa
Observed band size: 72 kDa
Exposure time: 120s -
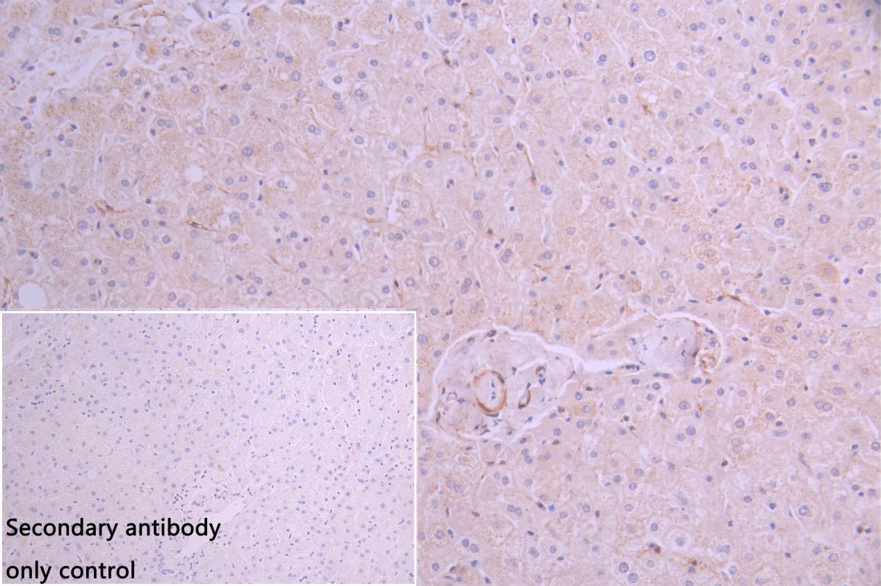
IHC image of CSB-PA025796OA01HU diluted at 1:100 and staining in paraffin-embedded human Liver tissue performed on a Leica BondTM system. After dewaxing and hydration, antigen retrieval was mediated by high pressure in a citrate buffer (pH 6.0). Section was blocked with 10% normal goat serum 30min at RT. Then primary antibody (1% BSA) was incubated at 4°C overnight. The primary is detected by a Goat anti-rabbit polymer IgG labeled by HRP and visualized using 0.05% DAB. Secondary antibody only control: uses 1% BSA instead of primary antibody
-
Immunofluorescence staining of Hela cell with CSB-PA025796OA01HU at 1:30, counter-stained with DAPI. The cells were fixed in 4% formaldehyde and blocked in 10% normal Goat Serum. The cells were then incubated with the antibody overnight at 4C. The secondary antibody was Alexa Fluor 488-congugated AffiniPure Goat Anti-Rabbit IgG(H+L).
-
Immunofluorescence staining of Hela cell with 5% goat serum, counter-stained with DAPI. The cells were fixed in 4% formaldehyde and blocked in 10% normal Goat Serum. The cells were then incubated with the antibody overnight at 4C. The secondary antibody was Alexa Fluor 488-congugated AffiniPure Goat Anti-Rabbit IgG(H+L).
-
Immunofluorescence staining of MCF-7 cell with CSB-PA025796OA01HU at 1:30, counter-stained with DAPI. The cells were fixed in 4% formaldehyde and blocked in 10% normal Goat Serum. The cells were then incubated with the antibody overnight at 4C. The secondary antibody was Alexa Fluor 488-congugated AffiniPure Goat Anti-Rabbit IgG(H+L).
-
Immunofluorescence staining of MCF-7 cell with 5% goat serum, counter-stained with DAPI. The cells were fixed in 4% formaldehyde and blocked in 10% normal Goat Serum. The cells were then incubated with the antibody overnight at 4C. The secondary antibody was Alexa Fluor 488-congugated AffiniPure Goat Anti-Rabbit IgG(H+L).
-
-
其他:
產品詳情
-
產品名稱:Rabbit anti-Homo sapiens (Human) VASN Polyclonal antibody
-
Uniprot No.:
-
基因名:VASN
-
別名:2610528G05Rik antibody; PRO1282 antibody; PRO357 antibody; Protein slit-like 2 antibody; Slit like 2 antibody; Slitl2 antibody; UNQ314 antibody; Vasn antibody; VASN_HUMAN antibody; Vasorin antibody
-
宿主:Rabbit
-
反應種屬:Human
-
免疫原:Synthesized peptide derived from part region of human protein
-
免疫原種屬:Homo sapiens (Human)
-
克隆類型:Polyclonal
-
抗體亞型:IgG
-
純化方式:Antigen affinity purification
-
濃度:It differs from different batches. Please contact us to confirm it.
-
保存緩沖液:Liquid in PBS containing 50% glycerol, 0.5% BSA and 0.02% sodium azide.
-
產品提供形式:Liquid
-
應用范圍:ELISA, WB, IHC, IF
-
推薦稀釋比:
Application Recommended Dilution WB 1:500-1:2000 IHC 1:100-1:300 IF 1:20-1:100 -
Protocols:
-
儲存條件:Upon receipt, store at -20°C or -80°C. Avoid repeated freeze.
-
貨期:Basically, we can dispatch the products out in 1-3 working days after receiving your orders. Delivery time maybe differs from different purchasing way or location, please kindly consult your local distributors for specific delivery time.
-
用途:For Research Use Only. Not for use in diagnostic or therapeutic procedures.
引用文獻
- Vasorin (VASN) overexpression promotes pulmonary metastasis and resistance to adjuvant chemotherapy in patients with locally advanced rectal cancer D Kang, S Huang, Y Liao, S Mi, J Zhou, Y Feng,Journal of Translational Medicine,2024
相關產品
靶點詳情
-
功能:May act as an inhibitor of TGF-beta signaling.
-
基因功能參考文獻:
- confirmed for the first time that HepG2-derived VASN can be transferred to human umbilical vein endothelial cells (HUVECs) via receptor mediated endocytosis of exosomes, at least in part through HSPGs PMID: 26157350
- results suggest that down-regulation of vasorin expression contributes to neointimal formation after vascular injury and that vasorin modulates cellular responses to pathological stimuli in the vessel wall [vasorin] PMID: 15247411
-
亞細胞定位:Membrane; Single-pass type I membrane protein. Secreted.
-
組織特異性:Expressed at highest levels in aorta, at intermediate levels in kidney and placenta and at lowest levels in brain, heart, liver, lung and skeletal muscle. Within the aorta, the strongest expression is found in the tunica media of the proximal ascending ao
-
數據庫鏈接:
Most popular with customers
-
-
YWHAB Recombinant Monoclonal Antibody
Applications: ELISA, WB, IHC, IF, FC
Species Reactivity: Human, Mouse, Rat
-
Phospho-YAP1 (S127) Recombinant Monoclonal Antibody
Applications: ELISA, WB, IHC
Species Reactivity: Human
-
-
-
-
-















