VASH2 Antibody
-
中文名稱:VASH2兔多克隆抗體
-
貨號:CSB-PA769783EA01HU
-
規格:¥440
-
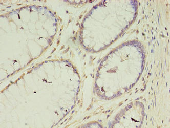
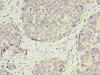
圖片:
-
其他:
產品詳情
-
產品名稱:Rabbit anti-Homo sapiens (Human) VASH2 Polyclonal antibody
-
Uniprot No.:
-
基因名:
-
別名:FLJ12505 antibody; OTTHUMP00000035013 antibody; OTTHUMP00000035017 antibody; OTTHUMP00000228345 antibody; OTTHUMP00000228346 antibody; OTTHUMP00000228347 antibody; RP11-275G3.1 antibody; VASH2 antibody; VASH2_HUMAN antibody; Vasohibin-2 antibody; Vasohibin-like protein antibody
-
宿主:Rabbit
-
反應種屬:Human
-
免疫原:Recombinant Human Vasohibin-2 protein (1-156AA)
-
免疫原種屬:Homo sapiens (Human)
-
標記方式:Non-conjugated
本頁面中的產品,VASH2 Antibody (CSB-PA769783EA01HU),的標記方式是Non-conjugated。對于VASH2 Antibody,我們還提供其他標記。見下表:
-
克隆類型:Polyclonal
-
抗體亞型:IgG
-
純化方式:>95%, Protein G purified
-
濃度:It differs from different batches. Please contact us to confirm it.
-
保存緩沖液:Preservative: 0.03% Proclin 300
Constituents: 50% Glycerol, 0.01M PBS, PH 7.4 -
產品提供形式:Liquid
-
應用范圍:ELISA, IHC
-
推薦稀釋比:
Application Recommended Dilution IHC 1:20-1:200 -
Protocols:
-
儲存條件:Upon receipt, store at -20°C or -80°C. Avoid repeated freeze.
-
貨期:Basically, we can dispatch the products out in 1-3 working days after receiving your orders. Delivery time maybe differs from different purchasing way or location, please kindly consult your local distributors for specific delivery time.
-
用途:For Research Use Only. Not for use in diagnostic or therapeutic procedures.
相關產品
靶點詳情
-
功能:Tyrosine carboxypeptidase that removes the C-terminal tyrosine residue of alpha-tubulin, thereby regulating microtubule dynamics and function. Critical for spindle function and accurate chromosome segregation during mitosis since microtuble detyronisation regulates mitotic spindle length and postioning. Acts as an activator of angiogenesis: expressed in infiltrating mononuclear cells in the sprouting front to promote angiogenesis. Plays a role in axon formation.
-
基因功能參考文獻:
- VASH2 may promote drug resistance of breast cancer cells through regulating ABCG2 via the AKT signaling pathway. PMID: 29039601
- These results suggest that VASH-2 could play an important role in the pathogenesis of renal diseases, and that VASH-2 is closely associated with hypertension and impaired glucose tolerance. PMID: 29042694
- VASH1 and VASH2 but not SVBP alone, increased detyrosination of -tubulin, and purified vasohibins removed the C-terminal tyrosine of -tubulin. PMID: 29146869
- These results suggest that VASH2 plays an important role in gastric tumor progression via the accumulation of cancer-associated fibroblasts PMID: 28960674
- The present study suggests a protective effect of miR-200b/c on high glucose induced human retinal microvascular endothelial cell line dysfunction by inhibiting VASH2. PMID: 28882646
- VASH2 expression is positively correlated with FGF2 expression and promotes angiogenesis in human luminal breast cancer by transcriptional activation of fibroblast growth factor 2 through non-paracrine mechanisms. PMID: 27702660
- These data suggest that VASH2 reduces the chemosensitivity to gemcitabine in pancreatic cancer cells via JUN-dependent transactivation of RRM2. PMID: 28327155
- identified a novel UPS regulatory system in which essential domain architecture (VASH-PS) of VASHs, comprising regions VASH191-180 and VASH280-169 , regulate the cytosolic punctate structure formation in the absence of SVBP. PMID: 27879017
- The results indicate that VASH2 played a significant role in the epithelial-mesenchymal transition by modulating the TGF-beta signaling. PMID: 28064471
- to the best of our knowledge, these results are the first clinical data indicating that nuclear VASH2, but not cytoplasmic VASH2, promotes cell proliferation by driving the cell cycle from the G0/G1 to S phase. PMID: 26177649
- MiR200-upregulated Vasohibin 2 promotes the malignant transformation of tumors by inducing epithelial-mesenchymal transition in hepatocellular carcinoma PMID: 25269476
- Suggest that overexpression of VASH2 in pancreatic ductal adenocarcinoma accelerated the pace of tumor development toward a more serious malignant phenotype and was associated with a poor clinical outcome. PMID: 25916042
- VASH1 and VASH2 showed distinctive localization and opposing function on the fetoplacental vascularization. PMID: 25184477
- VASH2 overexpression downregulated wild-type p53. PMID: 24595063
- VASH2 expressed in serous ovarian carcinoma cells promoted tumor growth and peritoneal dissemination by promoting angiogenesis. PMID: 22826464
- This is the first study to report differences in the intracellular localization of the VASH2 protein and, hence, a new research direction on the study of VASH2 PMID: 23615928
- vasohibin-1 and vasohibin-2 mRNA are expressed in gastric cancer cells and in tumor-associated macrophages (TAMs), and their expressions are altered by hypoxia. PMID: 22438034
- VASH2 contributes to the angiogenesis in hepatocellular carcinoma via an Small vasohibin binding protein-mediated paracrine mechanism. PMID: 22614011
- Data suggest that VASH1 is expressed in vascular endothelium to terminate angiogenesis; VASH2 appears to be expressed in other cells (primarily mononuclear leukocytes) to promote angiogenesis. [REVIEW] PMID: 23100270
顯示更多
收起更多
-
亞細胞定位:Cytoplasm. Secreted. Cytoplasm, cytoskeleton.
-
蛋白家族:Vasohibin family
-
數據庫鏈接:
Most popular with customers
-
-
YWHAB Recombinant Monoclonal Antibody
Applications: ELISA, WB, IHC, IF, FC
Species Reactivity: Human, Mouse, Rat
-
Phospho-YAP1 (S127) Recombinant Monoclonal Antibody
Applications: ELISA, WB, IHC
Species Reactivity: Human
-
-
-
-
-
VDAC1 Recombinant Monoclonal Antibody
Applications: ELISA, WB, IHC
Species Reactivity: Human, Mouse, Rat















