VASH1 Antibody
-
中文名稱:VASH1兔多克隆抗體
-
貨號:CSB-PA899191
-
規格:¥1100
-
圖片:
-
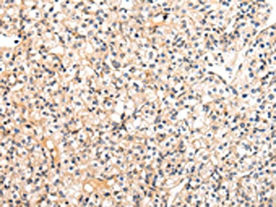
The image on the left is immunohistochemistry of paraffin-embedded Human esophagus cancer tissue using CSB-PA899191(VASH1 Antibody) at dilution 1/20, on the right is treated with fusion protein. (Original magnification: ×200)
-
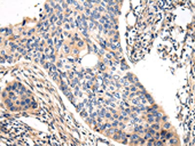
The image on the left is immunohistochemistry of paraffin-embedded Human prostate cancer tissue using CSB-PA899191(VASH1 Antibody) at dilution 1/20, on the right is treated with fusion protein. (Original magnification: ×200)
-
Gel: 8%SDS-PAGE, Lysate: 40 μg, Lane: NIH/3T3 cell, Primary antibody: CSB-PA899191(VASH1 Antibody) at dilution 1/200 dilution, Secondary antibody: Goat anti rabbit IgG at 1/8000 dilution, Exposure time: 10 seconds
-
-
其他:
產品詳情
-
Uniprot No.:
-
基因名:
-
別名:KIAA1036 antibody; VASH antibody; VASH1 antibody; VASH1_HUMAN antibody; Vasohibin 1 antibody; Vasohibin-1 antibody
-
宿主:Rabbit
-
反應種屬:Human,Mouse
-
免疫原:Full length fusion protein
-
免疫原種屬:Homo sapiens (Human)
-
標記方式:Non-conjugated
-
抗體亞型:IgG
-
純化方式:Antigen affinity purification
-
濃度:It differs from different batches. Please contact us to confirm it.
-
保存緩沖液:-20°C, pH7.4 PBS, 0.05% NaN3, 40% Glycerol
-
產品提供形式:Liquid
-
應用范圍:ELISA,WB,IHC
-
推薦稀釋比:
Application Recommended Dilution ELISA 1:1000-1:2000 WB 1:200-1:1000 IHC 1:25-1:100 -
Protocols:
-
儲存條件:Upon receipt, store at -20°C or -80°C. Avoid repeated freeze.
-
貨期:Basically, we can dispatch the products out in 1-3 working days after receiving your orders. Delivery time maybe differs from different purchasing way or location, please kindly consult your local distributors for specific delivery time.
-
用途:For Research Use Only. Not for use in diagnostic or therapeutic procedures.
相關產品
靶點詳情
-
功能:Tyrosine carboxypeptidase that removes the C-terminal tyrosine residue of alpha-tubulin, thereby regulating microtubule dynamics and function. Critical for spindle function and accurate chromosome segregation during mitosis since microtuble detyronisation regulates mitotic spindle length and postioning. Acts as an angiogenesis inhibitor: inhibits migration, proliferation and network formation by endothelial cells as well as angiogenesis. This inhibitory effect is selective to endothelial cells as it does not affect the migration of smooth muscle cells or fibroblasts.
-
基因功能參考文獻:
- Low VASH1 expression is associated with angiogenesis and tumor growth in renal cell carcinoma. PMID: 28656230
- VASH1 is a prognostic marker in ovarian carcinoma. PMID: 29057763
- VASH1 and VASH2 but not SVBP alone, increased detyrosination of -tubulin, and purified vasohibins removed the C-terminal tyrosine of -tubulin. PMID: 29146869
- High serum prolactin and vasoinhibin levels predict and may impact retinopathy of prematurity progression PMID: 27842054
- Studied angiogenic activity of vasohibin-1 (VASH1), by analyzing levels of VASH1 in both RCC tissue and non-neoplastic kidney tissue. Found elevated VASH1 density, but not microvascular density, was a significant and independent predictor of overall survival in RCC. PMID: 28287633
- identified a novel UPS regulatory system in which essential domain architecture (VASH-PS) of VASHs, comprising regions VASH191-180 and VASH280-169 , regulate the cytosolic punctate structure formation in the absence of SVBP. PMID: 27879017
- replicative senescence, the downregulation of VASH1 expression in endothelial cells was caused, at least in part, by the alteration of microRNA expression. PMID: 27325558
- VASH1 expression is associated with tumour progression and may be useful as a prognostic marker of head and neck squamous cell carcinoma PMID: 28314285
- VASH1 expression inhibited tumor vascularization and growth, not only in high VEGF-producing cells, but also in high PDGF-producing cells, reduced their peritoneal dissemination and ascites, and prolonged the survival time of the host PMID: 26893100
- in this study, the length of tube forming structures of endothelial cells in vitro showed that Vasohibin-1 expression in gastric cancer cells significantly decreased the ability of vessel formation of endothelium cells. PMID: 26666821
- These results indicate that cancer cells proteolytically inactivate VASH1 protein secreted by ECs in the tumour microenvironment PMID: 27169581
- Our present findings on VASH1A and VASH1B should provide an innovative approach that would improve the efficacy of antiangiogenic cancer therapy by balancing vascular normalization and pruning. PMID: 27080222
- VASH1 exerts an antitumor effect on ovarian cancer by inhibiting angiogenesis in the tumor environment PMID: 26460696
- VASH1 expression levels in atheroma reflects both enhanced neovascularization and the inflammatory burden PMID: 25843115
- Knockdown of VASH1 in cancer cells promoted cell growth, adhesion and migration in vitro, and enhanced tumorigenesis and metastasis in vivo. PMID: 25797264
- VASH1 and VASH2 showed distinctive localization and opposing function on the fetoplacental vascularization. PMID: 25184477
- These results suggest that the renal levels of VASH-1 may be affected by local inflammation, crescentic lesions and VEGFR-2. PMID: 25145408
- High VASH1 expression is associated with non-small cell lung cancer. PMID: 24748406
- Overexpression of VASH1 in CRC cells increased malignant potential and promoted metastasis. PMID: 25275025
- We found that vasohibin-1 and VEGF are up-regulated, in mesentery and liver, in cirrhotic and precirrhotic portal hypertensive rats and cirrhosis patients. PMID: 24390792
- High Vasohibin-1 expression is associated with colorectal cancer. PMID: 24366689
- Vasohibin 1/CD34 could identify the proliferative vessels and could be a useful biomarker for predicting the clinical outcome of hepatocellular carcinoma patients. PMID: 24444468
- Data show expression of TGF-beta1, TGF-beta2, BMP-4, and BMP-7 was increased in tumor-associated macrophages (TAMs) cocultured with pancreatic cancer cells, and vasohibin-1, VEGF-A, and vVEGF-C expression in pancreatic cancer cells was upregulated by TAMs. PMID: 23651239
- Vasohibin-1 is a new predictor of disease-free survival in operated patients with renal cell carcinoma. PMID: 23543668
- Vasohibin-1 and VEGF-A are the most important factors influencing the dismal prognosis based on the modulation of angiogenesis in hepatocellular carcinoma (HCC). PMID: 22101788
- vasohibin-1 and vasohibin-2 mRNA are expressed in gastric cancer cells and in tumor-associated macrophages (TAMs), and their expressions are altered by hypoxia. PMID: 22438034
- VASH1 density represents a clinically relevant predictor of patient prognosis and can be a new biomarker that would provide additional prognostic information in prostate cancer. PMID: 23591203
- we postulate that VASH1 would potentially be a biomarker and a candidate for molecular targeted therapy for patients with renal cell carcinoma PMID: 22865127
- novel candidate master regulator of endothelial cell apoptosis PMID: 23324451
- VASH1 is a critical factor that improves the stress tolerance of ECs via the induction of SOD2 and SIRT1 PMID: 23056314
- Data suggest that VASH1 is expressed in vascular endothelium to terminate angiogenesis; VASH2 appears to be expressed in other cells (primarily mononuclear leukocytes) to promote angiogenesis. [REVIEW] PMID: 23100270
- Results suggest that Vasohibin-1 (VASH1)density could become a new biomarker and provide additional prognostic information in patients with upper urinary tract urothelial carcinomas (UTUC). PMID: 22675166
- Transgene expression of VASH1 in the recipient lung significantly attenuated luminal obliteration of the tracheal allograft and significantly reduced aberrant angiogenesis. PMID: 22564651
- Data suggest that vasohibin inhibits cell proliferation of umbilical vein endothelial cells through degradation of HIF-1alpha via proline hydroxylase during oxidative stress. Vasohibin may be a negative feedback regulator of angiogenesis. PMID: 22569265
- Reduced vasohibin and VEGF expression may be responsible, at least in part, for the impaired vascular development which occurs during pre-eclampsia. PMID: 21302448
- SVBP(CCDC23)acts as a secretory chaperone for VASH1. PMID: 20736312
- vasohibin1 is the first known intrinsic factor having broad-spectrum antilymphangiogenic activity PMID: 20133819
- This review focuses on negative regulators of angiogenesis delta-like 4 and vasohibin 1 produced by endothelial cells. PMID: 20167561
- These results suggest that vasohibin-1 is expressed in RA synovial tissue and might be regulated by inflammatory cytokines. PMID: 20035291
- Results suggest that KIAA1036, or vasohibin, is an endothelium-derived negative feedback regulator of angiogenesis [vasohibin] PMID: 15467828
- Recombinant amino-terminal truncated forms of vasohibin retain inhibitory activity of angiogenesis in mouse corneal assay and show strong affinity to heparin. PMID: 16488400
- vasohibin has an activity to prevent neointimal formation by inhibiting adventitial angiogenesis PMID: 16707096
- expression of vasohibin in the stromal endothelial cells in human carcinomas. PMID: 18325046
- vasohibin-1 is associated with neovascularization and may especially play important roles in the regulation of intratumoral angiogenesis in human breast cancer. PMID: 19037993
- Hypoxia induces VEGF, which induces the production of vasohibin-1 in endothelial cells and inhibits angiogenesis as a negative feedback regulator. PMID: 19057892
- These results suggest a role for VASH1 in negative feedback regulation of haematopoietic progenitors proliferation during recovery following bone marrow ablation. PMID: 19179360
- These results suggest that endogenous vasohibin-1 is involved in tumor angiogenesis and exogenous vasohibin-1 blocks sprouting angiogenesis by tumors, matures the remaining vessels, and enhances the antitumor effect of conventional chemotherapy PMID: 19498005
- Streptozotocin- induced type 1 diabetic mice received intravenous injections of adenoviral vectors encoding VASH-1, which suppressed diabetic retinopathy. PMID: 19587360
- Overexpression of human VASH1 inhibited angiogenic sprouting and supports vascular maturation processes in vivo. PMID: 19682397
顯示更多
收起更多
-
亞細胞定位:Cytoplasm. Secreted.
-
蛋白家族:Vasohibin family
-
組織特異性:Preferentially expressed in endothelial cells. Highly expressed in fetal organs. Expressed in brain and placenta, and at lower level in heart and kidney. Highly detected in microvessels endothelial cells of atherosclerotic lesions.
-
數據庫鏈接:
Most popular with customers
-
-
YWHAB Recombinant Monoclonal Antibody
Applications: ELISA, WB, IHC, IF, FC
Species Reactivity: Human, Mouse, Rat
-
Phospho-YAP1 (S127) Recombinant Monoclonal Antibody
Applications: ELISA, WB, IHC
Species Reactivity: Human
-
-
-
-
-















