VARS2 Antibody
-
中文名稱:VARS2兔多克隆抗體
-
貨號:CSB-PA735951LA01HU
-
規格:¥440
-
圖片:
-
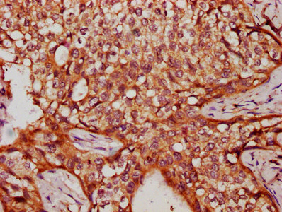
IHC image of CSB-PA735951LA01HU diluted at 1:300 and staining in paraffin-embedded human cervical cancer performed on a Leica BondTM system. After dewaxing and hydration, antigen retrieval was mediated by high pressure in a citrate buffer (pH 6.0). Section was blocked with 10% normal goat serum 30min at RT. Then primary antibody (1% BSA) was incubated at 4°C overnight. The primary is detected by a biotinylated secondary antibody and visualized using an HRP conjugated SP system.
-
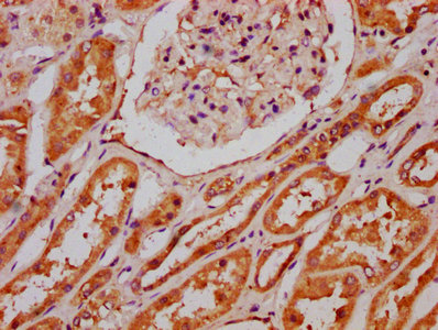
IHC image of CSB-PA735951LA01HU diluted at 1:300 and staining in paraffin-embedded human kidney tissue performed on a Leica BondTM system. After dewaxing and hydration, antigen retrieval was mediated by high pressure in a citrate buffer (pH 6.0). Section was blocked with 10% normal goat serum 30min at RT. Then primary antibody (1% BSA) was incubated at 4°C overnight. The primary is detected by a biotinylated secondary antibody and visualized using an HRP conjugated SP system.
-
-
其他:
產品詳情
-
產品名稱:Rabbit anti-Homo sapiens (Human) VARS2 Polyclonal antibody
-
Uniprot No.:
-
基因名:VARS2
-
別名:COXPD20 antibody; mitochondrial antibody; SYVM_HUMAN antibody; Valine--tRNA ligase antibody; ValRS antibody; Valyl tRNA synthetase 2 mitochondrial antibody; Valyl-tRNA synthetase antibody; Valyl-tRNA synthetase-like antibody; Vars2 antibody; VARS2L antibody; VARSL antibody
-
宿主:Rabbit
-
反應種屬:Human
-
免疫原:Recombinant Human Valine--tRNA ligase, mitochondrial protein (830-981AA)
-
免疫原種屬:Homo sapiens (Human)
-
標記方式:Non-conjugated
本頁面中的產品,VARS2 Antibody (CSB-PA735951LA01HU),的標記方式是Non-conjugated。對于VARS2 Antibody,我們還提供其他標記。見下表:
-
克隆類型:Polyclonal
-
抗體亞型:IgG
-
純化方式:>95%, Protein G purified
-
濃度:It differs from different batches. Please contact us to confirm it.
-
保存緩沖液:Preservative: 0.03% Proclin 300
Constituents: 50% Glycerol, 0.01M PBS, pH 7.4 -
產品提供形式:Liquid
-
應用范圍:ELISA, IHC
-
推薦稀釋比:
Application Recommended Dilution IHC 1:200-1:500 -
Protocols:
-
儲存條件:Upon receipt, store at -20°C or -80°C. Avoid repeated freeze.
-
貨期:Basically, we can dispatch the products out in 1-3 working days after receiving your orders. Delivery time maybe differs from different purchasing way or location, please kindly consult your local distributors for specific delivery time.
-
用途:For Research Use Only. Not for use in diagnostic or therapeutic procedures.
相關產品
靶點詳情
-
基因功能參考文獻:
- VARS2 mutation underlies a novel autosomal recessive syndrome with epilepsy, mental retardation, short stature, growth hormone deficiency, and hypogonadism. PMID: 29137650
- VARS2 polymorphism significantly associated with chronic hepatitis B in Korean population. PMID: 25404243
- VARS2 V552V may be considered as a prognostic factor for survival in patients with early breast cancer. PMID: 20503108
- Data indicate that variations in the levels of VARS2L between tissue types and patients could underlie the difference in clinical presentation between individuals homoplasmic for the 1624C>T MTTV (equivalent to mt-tRNAVal C25U) mutation. PMID: 18400783
-
相關疾病:Combined oxidative phosphorylation deficiency 20 (COXPD20)
-
亞細胞定位:Mitochondrion.
-
蛋白家族:Class-I aminoacyl-tRNA synthetase family
-
數據庫鏈接:
Most popular with customers
-
-
YWHAB Recombinant Monoclonal Antibody
Applications: ELISA, WB, IHC, IF, FC
Species Reactivity: Human, Mouse, Rat
-
-
-
-
-
-















