VANGL2 Antibody
-
中文名稱:VANGL2兔多克隆抗體
-
貨號:CSB-PA890750ESR2HU
-
規格:¥440
-
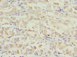
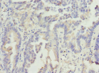
圖片:
-
其他:
產品詳情
-
產品名稱:Rabbit anti-Homo sapiens (Human) VANGL2 Polyclonal antibody
-
Uniprot No.:
-
基因名:
-
別名:VANGL2; KIAA1215; STB1; Vang-like protein 2; Loop-tail protein 1 homolog; Strabismus 1; Van Gogh-like protein 2
-
宿主:Rabbit
-
反應種屬:Human
-
免疫原:Recombinant Human Vang-like protein 2 protein (1-110AA)
-
免疫原種屬:Homo sapiens (Human)
-
標記方式:Non-conjugated
-
克隆類型:Polyclonal
-
抗體亞型:IgG
-
純化方式:Antigen Affinity Purified
-
濃度:It differs from different batches. Please contact us to confirm it.
-
保存緩沖液:PBS with 0.02% sodium azide, 50% glycerol, pH7.3.
-
產品提供形式:Liquid
-
應用范圍:ELISA, IHC
-
推薦稀釋比:
Application Recommended Dilution IHC 1:20-1:200 -
Protocols:
-
儲存條件:Upon receipt, store at -20°C or -80°C. Avoid repeated freeze.
-
貨期:Basically, we can dispatch the products out in 1-3 working days after receiving your orders. Delivery time maybe differs from different purchasing way or location, please kindly consult your local distributors for specific delivery time.
-
用途:For Research Use Only. Not for use in diagnostic or therapeutic procedures.
相關產品
靶點詳情
-
功能:Involved in the control of early morphogenesis and patterning of both axial midline structures and the development of neural plate. Plays a role in the regulation of planar cell polarity, particularly in the orientation of stereociliary bundles in the cochlea. Required for polarization and movement of myocardializing cells in the outflow tract and seems to act via RHOA signaling to regulate this process. Required for cell surface localization of FZD3 and FZD6 in the inner ear.
-
基因功能參考文獻:
- VANGL2 interacts with Integrin alphaVbeta3 to regulate matrix metalloproteinase activity and cell adhesion to the extracellular matrix. PMID: 29097183
- Our experimental data demonstrate that high expression of Prickle1 and Vangl2 reduce the growth of neuroblastoma cells and indicate different roles of PCP proteins in tumorigenic cells compared to normal cells. PMID: 27036398
- VANGL2 is overexpressed in basal breast cancers. It is involved in the proliferative signal cascade of the VANGL2-SQSTM1-JNK pathway. PMID: 26754771
- Propose that Arfrp1 exposes a binding site on AP-1 that recognizes the Vangl2 sorting motif for capture into a transport vesicle destined for the proximal surface of a polarized epithelial cell. PMID: 23326640
- The aberrant VANGL2 promoter methylation and the decreased gene expression is associated with Tetralogy of Fallot. PMID: 25200836
- Asymmetry of VANGL2 in migrating lymphocytes as a tool to monitor activity of the mammalian WNT/planar cell polarity pathway. PMID: 25627785
- These results strongly suggest that R181 and R274 play critical roles in Vangl protein function and that their mutations cause neural tube defects in humans. PMID: 25068569
- Van-Gogh-like 2 is frequently methylated in MSI-CRCs with BRAF mutation and may act as a tumour suppressor gene, counteracting WNT/beta-catenin signaling. PMID: 23579212
- these findings strongly implicate VANGL2 in the genetic causation of spinal NTDs in a subset of patients and provide additional evidence for a pathogenic role of PCP signaling in these malformations. PMID: 20738329
- Loss of membrane targeting of Vangl1 and Vangl2 proteins causes neural tube defects. PMID: 21142127
- The planar cell polarity genes Celsr1 and Vangl2 are required for normal lung branching morphogenesis. PMID: 20223754
- identified 3 novel missense mutations in fetuses with neural-tube defects PMID: 20558380
- Van Gogh-Like 2 regulates tumor cell migration and matrix metalloproteinase-dependent invasion. PMID: 19577357
- Results suggest that there is no specific mutation responsible for the Tetralogy of Fallot phenotype in the Vangl2 gene [Vangl2]. PMID: 18034999
顯示更多
收起更多
-
相關疾病:Neural tube defects (NTD)
-
亞細胞定位:Cell membrane; Multi-pass membrane protein.
-
蛋白家族:Vang family
-
數據庫鏈接:
Most popular with customers
-
-
Phospho-YAP1 (S127) Recombinant Monoclonal Antibody
Applications: ELISA, WB, IHC
Species Reactivity: Human
-
-
-
-
-
-















