VAMP4 Antibody
-
中文名稱:VAMP4兔多克隆抗體
-
貨號:CSB-PA997942
-
規格:¥1100
-
圖片:
-
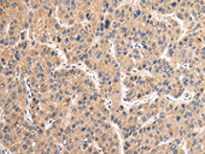
The image on the left is immunohistochemistry of paraffin-embedded Human liver cancer tissue using CSB-PA997942(VAMP4 Antibody) at dilution 1/35, on the right is treated with fusion protein. (Original magnification: ×200)
-
The image on the left is immunohistochemistry of paraffin-embedded Human brain tissue using CSB-PA997942(VAMP4 Antibody) at dilution 1/35, on the right is treated with fusion protein. (Original magnification: ×200)
-
Gel: 12%SDS-PAGE, Lysate: 40 μg, Lane 1-4: K562, hela, TM4 and PC3 cell, Primary antibody: CSB-PA997942(VAMP4 Antibody) at dilution 1/800 dilution, Secondary antibody: Goat anti rabbit IgG at 1/8000 dilution, Exposure time: 10 seconds
-
-
其他:
產品詳情
-
Uniprot No.:
-
基因名:VAMP4
-
別名:VAMP4; Vesicle-associated membrane protein 4; VAMP-4
-
宿主:Rabbit
-
反應種屬:Human,Mouse
-
免疫原:Full length fusion protein
-
免疫原種屬:Homo sapiens (Human)
-
標記方式:Non-conjugated
-
抗體亞型:IgG
-
純化方式:Antigen affinity purification
-
濃度:It differs from different batches. Please contact us to confirm it.
-
保存緩沖液:-20°C, pH7.4 PBS, 0.05% NaN3, 40% Glycerol
-
產品提供形式:Liquid
-
應用范圍:ELISA,WB,IHC
-
推薦稀釋比:
Application Recommended Dilution ELISA 1:2000-1:5000 WB 1:500-1:2000 IHC 1:25-1:100 -
Protocols:
-
儲存條件:Upon receipt, store at -20°C or -80°C. Avoid repeated freeze.
-
貨期:Basically, we can dispatch the products out in 1-3 working days after receiving your orders. Delivery time maybe differs from different purchasing way or location, please kindly consult your local distributors for specific delivery time.
-
用途:For Research Use Only. Not for use in diagnostic or therapeutic procedures.
相關產品
靶點詳情
-
功能:Involved in the pathway that functions to remove an inhibitor (probably synaptotagmin-4) of calcium-triggered exocytosis during the maturation of secretory granules. May be a marker for this sorting pathway that is critical for remodeling the secretory response of granule.
-
基因功能參考文獻:
- Syntaxin 6 and VAMP4 colocalize to the chlamydial inclusion. PMID: 23798538
- Data indicate that depletion of VAMP4, syntaxin 6, syntaxin 16, and Vti1a disrupted the Golgi ribbon structure. PMID: 23677696
- colocalization of ATP11B with fluorescent cisplatin and with vesicular trafficking proteins, such as STX6 and VAMP4, strongly suggests that ATP11B contributes to secretory vesicular transport of cisplatin from Golgi to plasma membrane PMID: 23585472
- The findings of this study suggested that VAMP4 and syb2 diverge functionally, traffic independently and support distinct forms of neurotransmission PMID: 22406549
- VAMP7 is involved in many fusion processes and thus plays a more general function in NK-cell activity than VAMP4. PMID: 21805468
顯示更多
收起更多
-
亞細胞定位:Golgi apparatus, trans-Golgi network membrane; Single-pass type IV membrane protein. Note=Associated with trans Golgi network (TGN) and newly formed immature secretory granules (ISG). Not found on the mature secretory organelles.
-
蛋白家族:Synaptobrevin family
-
數據庫鏈接:
Most popular with customers
-
-
YWHAB Recombinant Monoclonal Antibody
Applications: ELISA, WB, IHC, IF, FC
Species Reactivity: Human, Mouse, Rat
-
Phospho-YAP1 (S127) Recombinant Monoclonal Antibody
Applications: ELISA, WB, IHC
Species Reactivity: Human
-
-
-
-
-















