UXT Antibody
-
中文名稱:UXT兔多克隆抗體
-
貨號:CSB-PA880062ESR2HU
-
規格:¥440
-
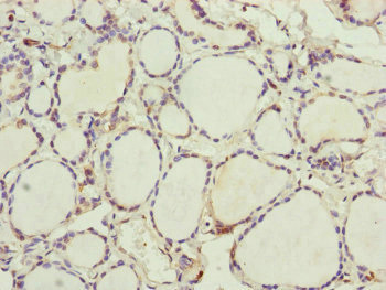
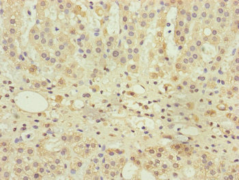
圖片:
-
其他:
產品詳情
-
產品名稱:Rabbit anti-Homo sapiens (Human) UXT Polyclonal antibody
-
Uniprot No.:
-
基因名:UXT
-
別名:Androgen receptor trapped clone 27 protein antibody; ART 27 antibody; ART-27 antibody; OTTHUMP00000023226 antibody; OTTHUMP00000023227 antibody; Protein UXT antibody; SKP2 associated alpha PFD 1 antibody; STAP1 antibody; Ubiquitously expressed prefoldin like chaperone antibody; Ubiquitously expressed transcript antibody; Ubiquitously expressed transcript protein antibody; Uxt antibody; UXT_HUMAN antibody
-
宿主:Rabbit
-
反應種屬:Human
-
免疫原:Recombinant Human Protein UXT protein (1-157AA)
-
免疫原種屬:Homo sapiens (Human)
-
標記方式:Non-conjugated
-
克隆類型:Polyclonal
-
抗體亞型:IgG
-
純化方式:Antigen Affinity Purified
-
濃度:It differs from different batches. Please contact us to confirm it.
-
保存緩沖液:PBS with 0.02% sodium azide, 50% glycerol, pH7.3.
-
產品提供形式:Liquid
-
應用范圍:ELISA, IHC
-
推薦稀釋比:
Application Recommended Dilution IHC 1:20-1:200 -
Protocols:
-
儲存條件:Upon receipt, store at -20°C or -80°C. Avoid repeated freeze.
-
貨期:Basically, we can dispatch the products out in 1-3 working days after receiving your orders. Delivery time maybe differs from different purchasing way or location, please kindly consult your local distributors for specific delivery time.
-
用途:For Research Use Only. Not for use in diagnostic or therapeutic procedures.
相關產品
靶點詳情
-
功能:Involved in gene transcription regulation. Acts in concert with the corepressor URI1 to regulate androgen receptor AR-mediated transcription. Together with URI1, associates with chromatin to the NKX3-1 promoter region. Negatively regulates the transcriptional activity of the estrogen receptor ESR1 by inducing its translocation into the cytoplasm. May act as nuclear chaperone that facilitates the formation of the NF-kappa-B enhanceosome and thus positively regulates NF-kappa-B transcription activity. Potential component of mitochondrial-associated LRPPRC, a multidomain organizer that potentially integrates mitochondria and the microtubular cytoskeleton with chromosome remodeling. Increasing concentrations of UXT contributes to progressive aggregation of mitochondria and cell death potentially through its association with LRPPRC. Suppresses cell transformation and it might mediate this function by interaction and inhibition of the biological activity of cell proliferation and survival stimulatory factors like MECOM.; Plays a role in protecting cells against TNF-alpha-induced apoptosis by preventing the recruitment of FADD and caspase 8 to the apoptotic complex I, composed of TRADD, TRAF2 and RIPK1/RIP.
-
基因功能參考文獻:
- UXT Is a LOX-PP Interacting Protein That Modulates Estrogen Receptor Alpha Activity in Breast Cancer Cells. PMID: 28106301
- EZH1, SUZ12 and UXT work synergistically to regulate pathway activation in the nucleus. PMID: 27127229
- we describe the identification of UXT as a novel MDMX-interacting protein PMID: 25974965
- UXT is a binding protein of PIAS2, and interaction between PIAS2 and UXT may be important for the transcriptional activation of AR. PMID: 25434787
- Art27 interacts with GATA4, FOG2 and NKX2.5 and is a novel co-repressor of cardiac genes. PMID: 24743694
- Knockdown of UXT expression in Treg cells results in a less-suppressive phenotype. PMID: 24136450
- Data found that the UXT isoforms elicit dual opposing regulatory effects on SARM-induced apoptosis. PMID: 24021647
- Epstein-Barr virus BGLF4 kinase downregulates NF-kappaB transactivation through phosphorylation of coactivator UXT PMID: 22933289
- Loss of ART-27 enhances expression of many androgen-regulated genes, suggesting that ART-27 inhibits gene expression, and nuclear ART-27 expression was lost in the majority of AR-positive recurrent prostate cancers. PMID: 19318562
- UXT-V1 represents a novel integral component of the MAVS signalosome on mitochondria, mediating the innate antiviral signal transduction. PMID: 22131337
- these results suggest that Als2 is a binding partner of Uxt and Als2/Uxt interaction could be important for the activation of Nf-kappaB pathway. PMID: 21907703
- Data show that while Art-27 can bind AR directly, URI is bound to chromatin prior to hormone-dependent recruitment of AR, suggesting a role for URI in modulating AR recruitment to target genes. PMID: 21730289
- Ubiquitously expressed transcript, UXT-V1, is a novel regulator of TNF-induced apoptosis. It protects cells against TNF-induced apoptosis through modulating complex II formation. PMID: 21307340
- decreased levels of ART-27 protein in prostate cancer tissue may occur as a result of de-differentiation, and indicate that ART-27 is likely to regulate a subset of AR-responsive genes important to prostate growth suppression and differentiation. PMID: 14711828
- UXT is a component of centrosome and is essential for cell viability and may facilitate transformation by corrupting regulated centrosome functions. PMID: 16221885
- Increasing concentrations of UXT contributes to progressive aggregation of mitochondria. PMID: 17554592
- UXT is a novel and essential cofactor in the NF-kappa B transcriptional enhanceosome. PMID: 17620405
- UXT suppresses cell transformation and might mediate this function by interaction and inhibition of the biological activity of cell proliferation and survival stimulatory factors like ecotropic viral integration site 1 PMID: 17635584
- propose a transcriptional regulatory circuit for the developmental expression of ART-27 that includes repression by chromatin modification through a trichostatin A-sensitive factor and activation upon growth factor stimulation via CREB PMID: 17761951
- Is part of an RNA polymerase II-associated complex with possible chaperone activity. PMID: 19450687
- UXT was identified in a screen for proteins that interact with the Androgen Receptor N-terminal activation domain. We termed the protein Androgen Receptor Trapped clone 27 (ART-27). ART-27 appears to function as a transcriptional coactivator protein. PMID: 11854421
顯示更多
收起更多
-
亞細胞定位:[Isoform 1]: Cytoplasm.; Cytoplasm. Nucleus. Cytoplasm, cytoskeleton, microtubule organizing center, centrosome. Cytoplasm, cytoskeleton, spindle pole.
-
蛋白家族:UXT family
-
組織特異性:Ubiquitous. Expressed in prostate epithelial cells. Expressed in mammary epithelial cells. Highest levels in the heart, skeletal muscle, pancreas, kidney, liver, adrenal gland, peripheral blood leukocytes, lymph node, prostate, and thyroid and the lowest
-
數據庫鏈接:
Most popular with customers
-
-
YWHAB Recombinant Monoclonal Antibody
Applications: ELISA, WB, IHC, IF, FC
Species Reactivity: Human, Mouse, Rat
-
Phospho-YAP1 (S127) Recombinant Monoclonal Antibody
Applications: ELISA, WB, IHC
Species Reactivity: Human
-
-
-
-
-















