UTS2 Antibody
-
中文名稱:UTS2兔多克隆抗體
-
貨號:CSB-PA025771ESR1HU
-
規格:¥440
-
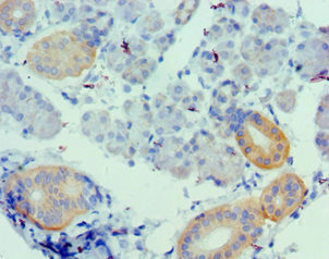
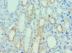
圖片:
-
其他:
產品詳情
-
產品名稱:Rabbit anti-Homo sapiens (Human) UTS2 Polyclonal antibody
-
Uniprot No.:
-
基因名:UTS2
-
別名:PRO1068 antibody; U-II antibody; UCN2 antibody; UII antibody; Urotensin 2 preproprotein isoform a antibody; Urotensin 2 preproprotein isoform b antibody; Urotensin II antibody; Urotensin-2 antibody; UTS2 antibody; UTS2_HUMAN antibody; UTSII antibody
-
宿主:Rabbit
-
反應種屬:Human
-
免疫原:Recombinant Human Urotensin-2 protein (35-124AA)
-
免疫原種屬:Homo sapiens (Human)
-
標記方式:Non-conjugated
-
克隆類型:Polyclonal
-
抗體亞型:IgG
-
純化方式:Antigen Affinity Purified
-
濃度:It differs from different batches. Please contact us to confirm it.
-
保存緩沖液:PBS with 0.02% sodium azide, 50% glycerol, pH7.3.
-
產品提供形式:Liquid
-
應用范圍:ELISA, IHC
-
推薦稀釋比:
Application Recommended Dilution IHC 1:20-1:200 -
Protocols:
-
儲存條件:Upon receipt, store at -20°C or -80°C. Avoid repeated freeze.
-
貨期:Basically, we can dispatch the products out in 1-3 working days after receiving your orders. Delivery time maybe differs from different purchasing way or location, please kindly consult your local distributors for specific delivery time.
-
用途:For Research Use Only. Not for use in diagnostic or therapeutic procedures.
相關產品
靶點詳情
-
功能:Highly potent vasoconstrictor.
-
基因功能參考文獻:
- polymorphisms of the UTS2 gene are not risk factors for migraine in our sample of Turkish migraine patients. PMID: 28686849
- Host genetics influences UTS2 levels, which may contribute to inflammation and cardiovascular damage in KD PMID: 28753597
- Opposite actions of urotensin II and relaxin-2 on cellular expression of fibronectin in renal fibrosis PMID: 28613403
- Ser89Asn (S89N) polymorphisms of the UTS2 gene were associated with hypertension in a Chinese female population. Additionally, we demonstrated that genotype Asn89Asn was associated with left ventricular posterior wall thickness for subjects with hypertension and cardiac hypertrophy in a Chinese female population. PMID: 27941008
- Children and adolescents with CKD, particularly those who are not on hemodialysis (HD) and renal transplantation, have significantly higher levels of UII than healthy subjects. UII levels increase significantly at the end of the HD session. The presence of metabolic acidosis affects significantly plasma UII levels. PMID: 28359257
- UII/GPR14 signaling was involved in the DSS-induced colonic inflammation and its inhibition may serve as a potential therapeutic target, which may be associated with the NF-kappaB signaling pathway. PMID: 27600191
- Ser89Asn polymorphisms of the UTS2 gene are significantly associated with atrial fibrillation in the Chinese population. Additionally, we demonstrated that genotype Met21Met may have a potential beneficial role in atrial fibrillation. PMID: 26811505
- Serum urotensin II levels were significantly lower in hemodialysis patients compared to healthy subjects. PMID: 26870964
- expression of UII is associated with ERS in patients with SPE. Our results indicate that UII may trigger ERS in placental trophoblastic cells in patients with preeclampsia. PMID: 25880595
- Our study suggests that U-II may play a role in migraine pathogenesis; also Thr21Met polymorphism was associated with the risk of migraine disease. PMID: 27090416
- Used transgenic rabbits as a model to study macrophage-specific expressing human UII (hUII) and studied the role of autocrine UII in the development of atherosclerosis. PMID: 26640798
- Urotensin II-increased reactive oxygen species production via the NADPH oxidase pathway is partially associated with activation of the PI3K/Akt and ERK cascades PMID: 26658815
- provide evidence that, in glioma cells, homogeneous concentration of UII allowed translocation of Galpha13 to the UT receptor at the plasma membrane and increased actin stress fibers, lamellipodia formation and vinculin-stained focal adhesions PMID: 25597409
- enzyme-linked immunosorbent assay (ELISA) and restriction fragment length polymorphism analysis were used to evaluate plasma levels of urotensin-II and Thr21Met and Ser89Asn polymorphisms of UTS2 gene in breast cancer patients. PMID: 25604143
- Urotensin II can induce the proliferation of BEL-7402 cells via the urotensin receptor mediated PKC/ERK/p38 MAPK signaling pathways. PMID: 25514221
- Urotensin-II induces activating transcription factor 3 (ATF3) at both mRNA and protein levels. PMID: 25268131
- The significantly high Urotensin-II levels in the knee synovial fluid of osteoarthritic patients than in non-osteoarthritic patients. PMID: 24468547
- This study revealed high plasma U-II level might be accepted as a risk factor for in-stent restenosis with bare metal stent PMID: 24831766
- Urotensin II seems be associated with menopausal status, and extra-nodal and lymphatic invasion in breast cancer patients. PMID: 25112588
- Study suggests that soluble CD40 ligand and urotensin II likely play a role in the pathogenesis of slow coronary flow. PMID: 25648034
- Plasma urotensin II levels are elevated in patients with acute coronary syndrome. PMID: 24642358
- U-II induces IL-8 expression in human umbilical vein endothelial cells via p38 mitogen-activated protein kinase and extracellular signal-regulated kinase signaling pathways. PMID: 24587311
- U-II level was higher in schizophrenia patients than in controls. PMID: 24552634
- results indicated that urotensin II might be an independent risk factor for essential hypertension. PMID: 24339964
- Elevation or urotensin II in the serum of preeclampsia patients could be corrected to the severity and/or progression of the disease. The urotensin genotype frequency between patients and control groups showed a significant difference. PMID: 25134283
- family-based analysis of association between blood pressure, glomerular filtration and genes of the urotensin-II pathway (urotensin-II, urotensin-II related peptide, urotensin-II receptor) saturated with 28 tagging single nucleotide polymorphisms PMID: 24391740
- mutation associated with pre-eclampsia risk PMID: 23905608
- Serum urotensin II levels were higher in patients with non-dipper hypertension than in patients with dipper hypertension (204 [106-533] vs. 140 [96-309]. There was a positive correlation between total systolic blood pressure and serum urotensin II levels. PMID: 23301552
- Data suggest that both urotensin II (UTS2) and C-reactive protein (CRP) are elevated in sera of subjects with polycystic ovary syndrome; UTS2 may play role in physiopathology of insulin resistance and increased cardiovascular events in such patients. PMID: 23981122
- Thr21Met (T21M) but not Ser89Asn (S89N) polymorphisms of the urotensin-II (UTS-II) gene are associated with Behcet's disease in a Turkish population. PMID: 23333481
- Data suggest that aortic urotensin II (UII) is increased in diabetes-associated atherosclerosis in humans and mice; diabetes-associated plaque development is attenuated by UII/UII receptor antagonism in in vitro (human) and in vivo (mouse) settings. PMID: 23344731
- Urotensin II was expressed in the lung of pulmonary hypertension patients with congenital heart disease. PMID: 23158820
- Associations between Thr21Met and Ser89Asn polymorphisms in the UTS2 gene and diabetic retinopathy strongly suggest that these polymorphisms may be an important a risk factor in Caucasians. PMID: 22587369
- U-II elicited penile erection through eNOS activation PMID: 22319601
- High urotensin II levels in recipients of kidney transplants could be drug-related (immunosuppressive drugs) and may be of practical importance that may be used to improve the long-term outcome of the patients PMID: 22098077
- Data show an association between Thr21Met, but not Ser89Asn, in the urotensin II gene and systemic sclerosis. PMID: 22045841
- Increased UT-II, sTM, and vWF in ankylosing spondylitis patient sera regardless of treatment and disease activity suggest an increased tendency for atherosclerosis. PMID: 21556780
- In Korean women, the common UTS-II 143 G/A polymorphism is unlikely to have an association with the risk of preeclampsia. PMID: 21623998
- polymorphisms in UTS2 and PER3 may have roles in glucose homeostasis and diabetes PMID: 21559414
- U-II levels in serum are significantly increased in children with chronic liver disease (portal hypertension or liver cirrhosis) compared with healthy controls; magnitude of U-II increase is related to severity and long-term liver disease outcomes. PMID: 21694541
- Urotensin-II may have a vital role in systemic sclerosis. PMID: 21274584
- the precursor undergoes pH- and Ca(2+)-dependent conformational and stability changes; ProUII has a stable tertiary structure at pH 5.5 in presence of Ca(2+) and is correctly cleaved in these conditions by prohormone convertases. PMID: 21605557
- circulating urotensin II may participate in the worsening course of some type 2 diabetes mellitus patients. PMID: 20695946
- This study suggest that UTS2 single gene (S89N) polymorphism is not associated with pre-eclampsia. PMID: 20653105
- elevated in plasma of pre-eclamptic women PMID: 20017703
- The expression of urotensin 2 is increased in airways of rat asthmatic models and of patients with asthma. PMID: 17045018
- These findings suggest that the intrahepatic UII/UT system has an important pathophysiological role in cirrhosis and portal hypertension. PMID: 20428787
- Endothelin-1 and urotensin-II levels are increased in plasma of patients with coronary heart disease. PMID: 20339975
- The U-II, in addition to the well known role in the regulation of cardiovascular function, also exert a specific angiogenic activity. PMID: 19362580
- Urocortin II exhibits motor suppressive and delayed anxiolytic-like effects, suggesting a time-dependent role in the regulation of stress-related behavior. PMID: 12088848
顯示更多
收起更多
-
亞細胞定位:Secreted.
-
蛋白家族:Urotensin-2 family
-
組織特異性:Brain specific.
-
數據庫鏈接:
Most popular with customers
-
-
Phospho-YAP1 (S127) Recombinant Monoclonal Antibody
Applications: ELISA, WB, IHC
Species Reactivity: Human
-
-
-
-
-
-















