UTP23 Antibody
-
中文名稱:UTP23兔多克隆抗體
-
貨號:CSB-PA874796LA01HU
-
規格:¥440
-
圖片:
-
Western blot
All lanes: UTP23 antibody at 7μg/ml + Mouse liver tissue
Secondary
Goat polyclonal to rabbit IgG at 1/10000 dilution
Predicted band size: 29, 17 kDa
Observed band size: 29 kDa -
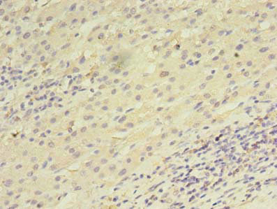
Immunohistochemistry of paraffin-embedded human liver cancer using CSB-PA874796LA01HU at dilution of 1:100
-
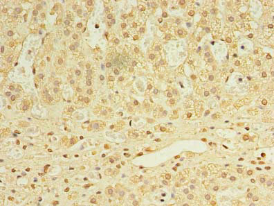
Immunohistochemistry of paraffin-embedded human adrenal gland tissue using CSB-PA874796LA01HU at dilution of 1:100
-
-
其他:
產品詳情
-
產品名稱:Rabbit anti-Homo sapiens (Human) UTP23 Polyclonal antibody
-
Uniprot No.:
-
基因名:UTP23
-
別名:1700010I21Rik antibody; AI662478 antibody; BB238373 antibody; C8orf53 antibody; D530033C11R antibody; MGC14595 antibody; RGD1307179 antibody; rRNA processing protein UTP23 homolog antibody; rRNA-processing protein UTP23 homolog antibody; UTP 23 antibody; utp23 antibody; UTP23 small subunit (SSU) processome component homolog (yeast) antibody; UTP23_HUMAN antibody
-
宿主:Rabbit
-
反應種屬:Human, Mouse
-
免疫原:Recombinant Human rRNA-processing protein UTP23 homolog protein (1-249AA)
-
免疫原種屬:Homo sapiens (Human)
-
標記方式:Non-conjugated
本頁面中的產品,UTP23 Antibody (CSB-PA874796LA01HU),的標記方式是Non-conjugated。對于UTP23 Antibody,我們還提供其他標記。見下表:
-
克隆類型:Polyclonal
-
抗體亞型:IgG
-
純化方式:>95%, Protein G purified
-
濃度:It differs from different batches. Please contact us to confirm it.
-
保存緩沖液:Preservative: 0.03% Proclin 300
Constituents: 50% Glycerol, 0.01M PBS, PH 7.4 -
產品提供形式:Liquid
-
應用范圍:ELISA, WB, IHC
-
推薦稀釋比:
Application Recommended Dilution WB 1:500-1:2000 IHC 1:20-1:200 -
Protocols:
-
儲存條件:Upon receipt, store at -20°C or -80°C. Avoid repeated freeze.
-
貨期:Basically, we can dispatch the products out in 1-3 working days after receiving your orders. Delivery time maybe differs from different purchasing way or location, please kindly consult your local distributors for specific delivery time.
-
用途:For Research Use Only. Not for use in diagnostic or therapeutic procedures.
相關產品
靶點詳情
-
功能:Involved in rRNA-processing and ribosome biogenesis.
-
基因功能參考文獻:
- yUtp23/hUTP23 could therefore be central to the coordinated integration and release of ES6 binding factors and likely plays a pivotal role in remodeling this pre-rRNA region in both yeast and humans. Finally, studies using RNAi-rescue systems in human cells revealed that intact PIN domain and Zinc finger motifs in human hUTP23 are essential for 18S rRNA maturation. PMID: 28082392
-
亞細胞定位:Nucleus, nucleolus.
-
蛋白家族:UTP23/FCF1 family, UTP23 subfamily
-
數據庫鏈接:
Most popular with customers
-
-
Phospho-YAP1 (S127) Recombinant Monoclonal Antibody
Applications: ELISA, WB, IHC
Species Reactivity: Human
-
-
-
-
-
-















