USP47 Antibody
-
中文名稱:USP47兔多克隆抗體
-
貨號:CSB-PA045692
-
規格:¥1100
-
圖片:
-
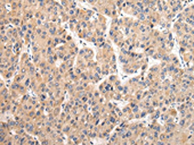
The image on the left is immunohistochemistry of paraffin-embedded Human liver cancer tissue using CSB-PA045692(USP47 Antibody) at dilution 1/20, on the right is treated with fusion protein. (Original magnification: ×200)
-
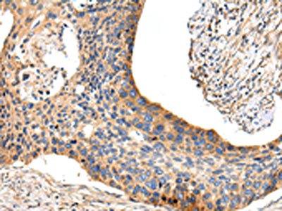
The image on the left is immunohistochemistry of paraffin-embedded Human esophagus cancer tissue using CSB-PA045692(USP47 Antibody) at dilution 1/20, on the right is treated with fusion protein. (Original magnification: ×200)
-
-
其他:
產品詳情
-
Uniprot No.:
-
基因名:USP47
-
別名:Deubiquitinating enzyme 47 antibody; TFRP antibody; Trf TATA binding protein related factor proximal homolog antibody; Trf TATA binding protein related factor proximal homolog Drosophila antibody; Ubiquitin carboxyl-terminal hydrolase 47 antibody; Ubiquitin specific peptidase 47 antibody; Ubiquitin specific processing protease 47 antibody; Ubiquitin specific protease 47 antibody; Ubiquitin thioesterase 47 antibody; Ubiquitin thiolesterase 47 antibody; Ubiquitin-specific-processing protease 47 antibody; UBP47_HUMAN antibody; USP47 antibody
-
宿主:Rabbit
-
反應種屬:Human,Mouse
-
免疫原:Fusion protein of Human USP47
-
免疫原種屬:Homo sapiens (Human)
-
標記方式:Non-conjugated
-
抗體亞型:IgG
-
純化方式:Antigen affinity purification
-
濃度:It differs from different batches. Please contact us to confirm it.
-
保存緩沖液:-20°C, pH7.4 PBS, 0.05% NaN3, 40% Glycerol
-
產品提供形式:Liquid
-
應用范圍:ELISA,IHC
-
推薦稀釋比:
Application Recommended Dilution ELISA 1:2000-1:5000 IHC 1:25-1:100 -
Protocols:
-
儲存條件:Upon receipt, store at -20°C or -80°C. Avoid repeated freeze.
-
貨期:Basically, we can dispatch the products out in 1-3 working days after receiving your orders. Delivery time maybe differs from different purchasing way or location, please kindly consult your local distributors for specific delivery time.
-
用途:For Research Use Only. Not for use in diagnostic or therapeutic procedures.
相關產品
靶點詳情
-
功能:Ubiquitin-specific protease that specifically deubiquitinates monoubiquitinated DNA polymerase beta (POLB), stabilizing POLB thereby playing a role in base-excision repair (BER). Acts as a regulator of cell growth and genome integrity. May also indirectly regulate CDC25A expression at a transcriptional level.
-
基因功能參考文獻:
- these results suggest that USP47 may play distinct roles in ubiquitin-mediated cellular processes via de-ubiquitinating enzymes activity. PMID: 26115687
- miR-204-5p acts as a tumor suppressor in gastric cancer through inhibiting USP47 and RAB22A. PMID: 25429829
- USP47 is a deubiquitinase that prevents beta-catenin ubiquitination. PMID: 26169834
- Data indicate that E-cadherin ubiquitination consistently increases after depletion of kinesin-like protein KIFC3 or ubiquitin-specific protease USP47. PMID: 25253721
- The results of this study indicated that USP47 plays a crucial role in the control of axonal growth during neuronal development by antagonizing CHIP-mediated katanin-p60 degradation. PMID: 23904609
- USP47 has a role in regulating DNA repair and maintaining genome integrity PMID: 21362556
- USP47, a novel beta-Trcp interactor, regulates cell growth and survival, potentially providing a novel target for anticancer therapies. PMID: 19966869
顯示更多
收起更多
-
亞細胞定位:Cytoplasm.
-
蛋白家族:Peptidase C19 family
-
組織特異性:Expressed in skeletal muscle, heart and testis.
-
數據庫鏈接:
Most popular with customers
-
-
Phospho-YAP1 (S127) Recombinant Monoclonal Antibody
Applications: ELISA, WB, IHC
Species Reactivity: Human
-
-
-
-
-
-















