URI1 Antibody
-
中文名稱:URI1兔多克隆抗體
-
貨號:CSB-PA529740LA01HU
-
規格:¥440
-
圖片:
-
Western Blot
Positive WB detected in: U87 whole cell lysate
All lanes: URI1 antibody at 5.3µg/ml
Secondary
Goat polyclonal to rabbit IgG at 1/50000 dilution
Predicted band size: 60, 52, 57, 54 kDa
Observed band size: 52 kDa -
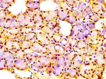
IHC image of CSB-PA529740LA01HU diluted at 1:300 and staining in paraffin-embedded human salivary gland tissue performed on a Leica BondTM system. After dewaxing and hydration, antigen retrieval was mediated by high pressure in a citrate buffer (pH 6.0). Section was blocked with 10% normal goat serum 30min at RT. Then primary antibody (1% BSA) was incubated at 4°C overnight. The primary is detected by a biotinylated secondary antibody and visualized using an HRP conjugated SP system.
-
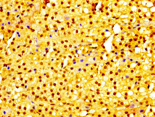
IHC image of CSB-PA529740LA01HU diluted at 1:300 and staining in paraffin-embedded human adrenal gland tissue performed on a Leica BondTM system. After dewaxing and hydration, antigen retrieval was mediated by high pressure in a citrate buffer (pH 6.0). Section was blocked with 10% normal goat serum 30min at RT. Then primary antibody (1% BSA) was incubated at 4°C overnight. The primary is detected by a biotinylated secondary antibody and visualized using an HRP conjugated SP system.
-
Immunofluorescence staining of HepG2 cells with CSB-PA529740LA01HU at 1:100, counter-stained with DAPI. The cells were fixed in 4% formaldehyde, permeabilized using 0.2% Triton X-100 and blocked in 10% normal Goat Serum. The cells were then incubated with the antibody overnight at 4°C. The secondary antibody was Alexa Fluor 488-congugated AffiniPure Goat Anti-Rabbit IgG(H+L).
-
-
其他:
產品詳情
-
產品名稱:Rabbit anti-Homo sapiens (Human) URI1 Polyclonal antibody
-
Uniprot No.:
-
基因名:URI1
-
別名:C19orf2 antibody; Chromosome 19 open reading frame 2 antibody; NNX3 antibody; NNX3 protein antibody; PPP1R19 antibody; Protein NNX3 antibody; Protein phosphatase 1 regulatory subunit 19 antibody; RMP antibody; RMP_HUMAN antibody; RNA polymerase II subunit 5 mediating protein antibody; RNA polymerase II subunit 5-mediating protein antibody; RPB5 mediating protein antibody; RPB5-mediating protein antibody; Unconventional prefoldin RPB5 interactor 1 antibody; Unconventional prefoldin RPB5 interactor antibody; URI antibody; URI1 antibody; URI1, prefoldin-like chaperone antibody
-
宿主:Rabbit
-
反應種屬:Human
-
免疫原:Recombinant Human Unconventional prefoldin RPB5 interactor 1 protein (180-298AA)
-
免疫原種屬:Homo sapiens (Human)
-
標記方式:Non-conjugated
本頁面中的產品,URI1 Antibody (CSB-PA529740LA01HU),的標記方式是Non-conjugated。對于URI1 Antibody,我們還提供其他標記。見下表:
-
克隆類型:Polyclonal
-
抗體亞型:IgG
-
純化方式:>95%, Protein G purified
-
濃度:It differs from different batches. Please contact us to confirm it.
-
保存緩沖液:Preservative: 0.03% Proclin 300
Constituents: 50% Glycerol, 0.01M PBS, pH 7.4 -
產品提供形式:Liquid
-
應用范圍:ELISA, WB, IHC, IF
-
推薦稀釋比:
Application Recommended Dilution WB 1:500-1:5000 IHC 1:200-1:500 IF 1:50-1:200 -
Protocols:
-
儲存條件:Upon receipt, store at -20°C or -80°C. Avoid repeated freeze.
-
貨期:Basically, we can dispatch the products out in 1-3 working days after receiving your orders. Delivery time maybe differs from different purchasing way or location, please kindly consult your local distributors for specific delivery time.
-
用途:For Research Use Only. Not for use in diagnostic or therapeutic procedures.
相關產品
靶點詳情
-
功能:Involved in gene transcription regulation. Acts as a transcriptional repressor in concert with the corepressor UXT to regulate androgen receptor (AR) transcription. May act as a tumor suppressor to repress AR-mediated gene transcription and to inhibit anchorage-independent growth in prostate cancer cells. Required for cell survival in ovarian cancer cells. Together with UXT, associates with chromatin to the NKX3-1 promoter region. Antagonizes transcriptional modulation via hepatitis B virus X protein.; Plays a central role in maintaining S6K1 signaling and BAD phosphorylation under normal growth conditions thereby protecting cells from potential deleterious effects of sustained S6K1 signaling. The URI1-PPP1CC complex acts as a central component of a negative feedback mechanism that counteracts excessive S6K1 survival signaling to BAD in response to growth factors. Mediates inhibition of PPP1CC phosphatase activity in mitochondria. Coordinates the regulation of nutrient-sensitive gene expression availability in a mTOR-dependent manner. Seems to be a scaffolding protein able to assemble a prefoldin-like complex that contains PFDs and proteins with roles in transcription and ubiquitination.
-
基因功能參考文獻:
- Collectively, these findings indicate that RMP promotes Epithelial-mesenchymal transition and hepatocellular carcinoma metastasis through NF-kappaB/CSN2/Snail pathway. These results suggest that RMP and p65 may serve as potential candidates of the targets in the treatment of metastatic hepatocellular carcinoma. PMID: 28423737
- These findings suggest that URI1 has properties of a 'non-oncogene' that supports the oncogenic phenotype of those cancer cells that have evolved a dependency on this molecular chaperone system for survival PMID: 27105489
- Amplification of 19q12 CCNE1/URI was found in 10.4% (28/270) and was significantly associated with type II endometrial cancer (EC) high grade, advanced FIGO stage, and aberrant tumor supressor p53 expression. PMID: 27582547
- that KAP1 phosphorylation is decreased following recruitment of PP2A by URI. PMID: 27780869
- RMP status in tumors may be a useful marker in estimating prognosis in patients with hepatocellular carcinoma and in assisting in the selection of patients who are likely to benefit from adjuvant TACE to prevent relapse. PMID: 25605019
- High URI1 expression is associated with epithelial ovarian cancer. PMID: 25527175
- Results show that URI expression is essential for hepatocarcinogenesis and associated with poor survival. PMID: 25453901
- URI may have an important role in the development of multiple myeloma and chemotherapeutic resistance through activation of the IL-6/STAT3 pathway. PMID: 24625985
- Higher level of URI/RMP expression in high-grade endometrioid adenocarcinomas compared to tissues of adjacent endometrium or gland suggests a diagnostic and possibly, a prognostic value of URI/RMP in endometrioid adenocarcinoma. PMID: 24228101
- Data show that URI is an "addicting" oncogene selectively required for the survival of ovarian cancer cells with increased URI copy number. PMID: 21397856
- a component of a signaling pathway that coordinates nutrient availability with gene expression PMID: 14615539
- Data show that URI and PP1gamma are components of an S6K1-regulated mitochondrial pathway dedicated to oppose sustained S6K1 survival signaling and to ensure that the threshold for apoptosis is set based on nutrient and growth factor availability. PMID: 17936702
顯示更多
收起更多
-
亞細胞定位:Nucleus. Cytoplasm. Mitochondrion. Cell projection, dendrite. Note=Colocalizes with PFDN2, PFDN4, PPP1CC, RPS6KB1 and STAP1 at mitochondrion.
-
蛋白家族:RNA polymerase II subunit 5-mediating protein family
-
組織特異性:Ubiquitous. Expressed in ovarian cancers (at protein level). Expressed strongly in skeletal muscle. Expressed weakly in brain, heart, pancreas and in prostate epithelial cells.
-
數據庫鏈接:
Most popular with customers
-
-
YWHAB Recombinant Monoclonal Antibody
Applications: ELISA, WB, IHC, IF, FC
Species Reactivity: Human, Mouse, Rat
-
Phospho-YAP1 (S127) Recombinant Monoclonal Antibody
Applications: ELISA, WB, IHC
Species Reactivity: Human
-
-
-
-
-















