UNC93A Antibody
-
中文名稱:UNC93A兔多克隆抗體
-
貨號:CSB-PA773046LA01HU
-
規格:¥440
-
圖片:
-
Western blot
All lanes: UNC93A antibody at 14µg/ml + Hela whole cell lysate
Secondary
Goat polyclonal to rabbit IgG at 1/10000 dilution
Predicted band size: 51, 46 kDa
Observed band size: 51 kDa -
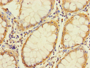
Immunohistochemistry of paraffin-embedded human colon cancer using CSB-PA773046LA01HU at dilution of 1:100
-
-
其他:
產品詳情
-
產品名稱:Rabbit anti-Homo sapiens (Human) UNC93A Polyclonal antibody
-
Uniprot No.:
-
基因名:UNC93A
-
別名:UNC93AProtein unc-93 homolog A antibody; HmUnc-93A antibody; Unc-93A antibody
-
宿主:Rabbit
-
反應種屬:Human
-
免疫原:Recombinant Human Protein unc-93 homolog A protein (374-415AA)
-
免疫原種屬:Homo sapiens (Human)
-
標記方式:Non-conjugated
本頁面中的產品,UNC93A Antibody (CSB-PA773046LA01HU),的標記方式是Non-conjugated。對于UNC93A Antibody,我們還提供其他標記。見下表:
-
克隆類型:Polyclonal
-
抗體亞型:IgG
-
純化方式:>95%, Protein G purified
-
濃度:It differs from different batches. Please contact us to confirm it.
-
保存緩沖液:Preservative: 0.03% Proclin 300
Constituents: 50% Glycerol, 0.01M PBS, PH 7.4 -
產品提供形式:Liquid
-
應用范圍:ELISA, WB, IHC
-
推薦稀釋比:
Application Recommended Dilution WB 1:1000-1:5000 IHC 1:20-1:200 -
Protocols:
-
儲存條件:Upon receipt, store at -20°C or -80°C. Avoid repeated freeze.
-
貨期:Basically, we can dispatch the products out in 1-3 working days after receiving your orders. Delivery time maybe differs from different purchasing way or location, please kindly consult your local distributors for specific delivery time.
-
用途:For Research Use Only. Not for use in diagnostic or therapeutic procedures.
相關產品
靶點詳情
-
基因功能參考文獻:
- Results suggest that no evidence for UNC93A as a tumour suppressor gene in sporadic ovarian cancer has been identified and further research is required to evaluate its normal function and role in the pathogenesis of ovarian cancer. PMID: 12381271
-
亞細胞定位:Cell membrane; Multi-pass membrane protein.
-
蛋白家族:Unc-93 family
-
組織特異性:Expressed in testis, small intestine, spleen, prostate and ovary.
-
數據庫鏈接:
Most popular with customers
-
-
YWHAB Recombinant Monoclonal Antibody
Applications: ELISA, WB, IHC, IF, FC
Species Reactivity: Human, Mouse, Rat
-
Phospho-YAP1 (S127) Recombinant Monoclonal Antibody
Applications: ELISA, WB, IHC
Species Reactivity: Human
-
-
-
-
-















