UMPS Antibody
-
中文名稱:UMPS兔多克隆抗體
-
貨號:CSB-PA728898LA01HU
-
規格:¥440
-
圖片:
-
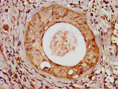
IHC image of CSB-PA728898LA01HU diluted at 1:100 and staining in paraffin-embedded human cervical cancer performed on a Leica BondTM system. After dewaxing and hydration, antigen retrieval was mediated by high pressure in a citrate buffer (pH 6.0). Section was blocked with 10% normal goat serum 30min at RT. Then primary antibody (1% BSA) was incubated at 4°C overnight. The primary is detected by a biotinylated secondary antibody and visualized using an HRP conjugated SP system.
-
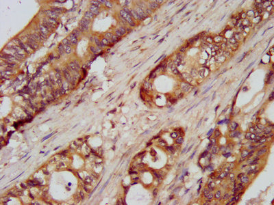
IHC image of CSB-PA728898LA01HU diluted at 1:100 and staining in paraffin-embedded human colon cancer performed on a Leica BondTM system. After dewaxing and hydration, antigen retrieval was mediated by high pressure in a citrate buffer (pH 6.0). Section was blocked with 10% normal goat serum 30min at RT. Then primary antibody (1% BSA) was incubated at 4°C overnight. The primary is detected by a biotinylated secondary antibody and visualized using an HRP conjugated SP system.
-
Immunofluorescence staining of Hela cells with CSB-PA728898LA01HU at 1:33, counter-stained with DAPI. The cells were fixed in 4% formaldehyde, permeabilized using 0.2% Triton X-100 and blocked in 10% normal Goat Serum. The cells were then incubated with the antibody overnight at 4°C. The secondary antibody was Alexa Fluor 488-congugated AffiniPure Goat Anti-Rabbit IgG(H+L).
-
-
其他:
產品詳情
-
產品名稱:Rabbit anti-Homo sapiens (Human) UMPS Polyclonal antibody
-
Uniprot No.:
-
基因名:UMPS
-
別名:ODC antibody; OMPdecase antibody; OPRT antibody; OPRTase antibody; Orotate phosphoribosyl transferase and orotidine 5' decarboxylase antibody; Orotate phosphoribosyltransferase antibody; Orotate phosphoribosyltransferase phosphoribosyltransferase antibody; Orotidine 5' phosphate decarboxylase antibody; Orotidine 5''-phosphate decarboxylase antibody; RP11-71H17.9 antibody; UMP synthase antibody; Umps antibody; UMPS_HUMAN antibody; Uridine 5' monophosphate synthase antibody; Uridine monophosphate synthetase antibody
-
宿主:Rabbit
-
反應種屬:Human
-
免疫原:Recombinant Human Uridine 5\'-monophosphate synthase protein (314-444AA)
-
免疫原種屬:Homo sapiens (Human)
-
標記方式:Non-conjugated
本頁面中的產品,UMPS Antibody (CSB-PA728898LA01HU),的標記方式是Non-conjugated。對于UMPS Antibody,我們還提供其他標記。見下表:
-
克隆類型:Polyclonal
-
抗體亞型:IgG
-
純化方式:>95%, Protein G purified
-
濃度:It differs from different batches. Please contact us to confirm it.
-
保存緩沖液:Preservative: 0.03% Proclin 300
Constituents: 50% Glycerol, 0.01M PBS, pH 7.4 -
產品提供形式:Liquid
-
應用范圍:ELISA, IHC, IF
-
推薦稀釋比:
Application Recommended Dilution IHC 1:20-1:200 IF 1:20-1:200 -
Protocols:
-
儲存條件:Upon receipt, store at -20°C or -80°C. Avoid repeated freeze.
-
貨期:Basically, we can dispatch the products out in 1-3 working days after receiving your orders. Delivery time maybe differs from different purchasing way or location, please kindly consult your local distributors for specific delivery time.
-
用途:For Research Use Only. Not for use in diagnostic or therapeutic procedures.
相關產品
靶點詳情
-
基因功能參考文獻:
- Partial UMPS-deficiency should be included in the differential diagnosis of mild orotic aciduria. PMID: 28205048
- The UMPS 638 CC genotype might be a candidate biomarker predicting toxicity in patients receiving tegafur-uracil/leucovorin-based preoperative chemoradiation for locally advanced rectal cancer PMID: 28347333
- OPRT transition state analogues identify crucial components of potent inhibitors targeting OPRT enzymes. PMID: 24158442
- The observed mutations, aberrant splicing and downregulation of UMPS represent novel mechanisms for acquired 5-FU resistance in colorectal cancer PMID: 22249354
- [review] It is confirmed that the type I defect in hereditary orotic aciduria is caused by loss of uridine monophosphate (UMP)synthase activity PMID: 19562503
- OPRT expression in colorectal carcinoma tissues is not correlated with the toxicity of 5-FU, but OPRT expression in the normal tissues can help predict the toxicity associated with 5-FU. PMID: 22931617
- Although no association was detected between UMPS variants and gastrointestinal cancer risk in Caucasians, polymerase chain reaction-RFLP with BsrI digestion and DHPLC set up at 59 degrees C are reliable and cost-effective methods to genotype UMPS. PMID: 21631301
- novel phosphoribosyltransferase transition states PMID: 20527751
- orotate phosphoribosyl transferase/DPD ratio has a relation to cancer staging and survival rate. PMID: 20647710
- Increased orotate phosphoribosyltransferase expression is associated with bladder cancers. PMID: 20112501
- expression of OPRT gene and the OPRT/dihydropyrimidine dehydrogenase ratio might be useful as predictive parameters for the efficacy of fluoropyrimidine-based chemotherapy for metastatic colorectal cancer PMID: 14562021
- thymidylate synthase and orotate phosphoribosyl transferase, but not dihydropyrimidine dehydrogenase, are more highly expressed in prostate cancer than in benign prostatic hyperplasia PMID: 15999119
- orotate phosphoribosyl transferase has a role in lymph node metastasis of gastric cancer PMID: 16142362
- The investigated SNPs of OPRT may have no major influence on 5-FU sensitivity. PMID: 16328050
- The OPRT Gly213Ala polymorphism seems to be a useful marker for predicting toxicity to bolus 5-FU chemotherapy. PMID: 16818689
- Overexpression of the OPRT gene plays an important role in the antiproliferative effect of 5-FU. PMID: 17237621
- High expression of OPRT is associated with the response to adjuvant chemotherapy in human pancreatic cancer PMID: 17549346
- data suggest that OPRT is involved in early events of pancreatic and gallbladder carcinogenesis and invasion of hepatocellular carcinomas PMID: 17607371
- decreased the sensitivities of the cultured tumor cells to 5-FU. These results suggest that the OPRT expression level in tumors is an additional determinant of the efficacy of 5-FU. PMID: 17854773
- OPRT activity levels in tumor tissue may be prognostic factor for survival in colorectal carcinoma with radical resection and 5-FU chemotherapy;postoperative survival was significantly better in patients with high OPRT activity PMID: 18597678
- determination of OPRT levels in gastric carcinoma tissue enables to predict the response to S-1-based neoadjuvant/adjuvant chemotherapy PMID: 18633253
- orotate phosphoribosyltransferase is involved in the invasion and metastasis of colorectal carcinoma PMID: 18949394
- decreased activity of OPRT plays an important role in the acquired resistance of gastric cancer cells towards 5-FU PMID: 19020740
- head & neck, gastric, colorectal, breast, lung & pancreatic cancer were examined; findings show mRNA expression & protein level of thymidylate synthase, dihydropyrimidine dehydrogenase & orotate phosphoribosyltransferase differed according to cancer type PMID: 19020767
- Immunohistochemical staining for Orotate phosphoribosyl transferase (OPRT)revealed strong expression of OPRT in prostate cancer cells. There was a significant correlation between OPRT mRNA expression levels and the tumor pathological grade PMID: 19082440
- High orotate phosphoribosyltransferase gene expression is associated with complete response to chemoradiotherapy in patients with squamous cell carcinoma of the esophagus PMID: 19307741
顯示更多
收起更多
-
相關疾?。?/div>Orotic aciduria 1 (ORAC1)蛋白家族:Purine/pyrimidine phosphoribosyltransferase family; OMP decarboxylase family數據庫鏈接:
Most popular with customers
-
-
YWHAB Recombinant Monoclonal Antibody
Applications: ELISA, WB, IHC, IF, FC
Species Reactivity: Human, Mouse, Rat
-
Phospho-YAP1 (S127) Recombinant Monoclonal Antibody
Applications: ELISA, WB, IHC
Species Reactivity: Human
-
-
-
-
-















