UGT2B7 Antibody
-
中文名稱:UGT2B7兔多克隆抗體
-
貨號:CSB-PA025598LA01HU
-
規格:¥440
-
圖片:
-
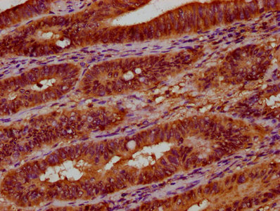
IHC image of CSB-PA025598LA01HU diluted at 1:300 and staining in paraffin-embedded human colon cancer performed on a Leica BondTM system. After dewaxing and hydration, antigen retrieval was mediated by high pressure in a citrate buffer (pH 6.0). Section was blocked with 10% normal goat serum 30min at RT. Then primary antibody (1% BSA) was incubated at 4°C overnight. The primary is detected by a biotinylated secondary antibody and visualized using an HRP conjugated SP system.
-
Immunofluorescence staining of HepG2 cells with CSB-PA025598LA01HU at 1:100, counter-stained with DAPI. The cells were fixed in 4% formaldehyde, permeabilized using 0.2% Triton X-100 and blocked in 10% normal Goat Serum. The cells were then incubated with the antibody overnight at 4°C. The secondary antibody was Alexa Fluor 488-congugated AffiniPure Goat Anti-Rabbit IgG(H+L).
-
-
其他:
產品詳情
-
產品名稱:Rabbit anti-Homo sapiens (Human) UGT2B7 Polyclonal antibody
-
Uniprot No.:
-
基因名:UGT2B7
-
別名:UGT2B7; UGTB2B9; UDP-glucuronosyltransferase 2B7; UDPGT 2B7; UGT2B7; 3,4-catechol estrogen-specific UDPGT; UDP-glucuronosyltransferase 2B9; UDPGT 2B9; UDPGTh-2
-
宿主:Rabbit
-
反應種屬:Human
-
免疫原:Recombinant Human UDP-glucuronosyltransferase 2B7 protein (237-382AA)
-
免疫原種屬:Homo sapiens (Human)
-
標記方式:Non-conjugated
本頁面中的產品,UGT2B7 Antibody (CSB-PA025598LA01HU),的標記方式是Non-conjugated。對于UGT2B7 Antibody,我們還提供其他標記。見下表:
-
克隆類型:Polyclonal
-
抗體亞型:IgG
-
純化方式:>95%, Protein G purified
-
濃度:It differs from different batches. Please contact us to confirm it.
-
保存緩沖液:Preservative: 0.03% Proclin 300
Constituents: 50% Glycerol, 0.01M PBS, pH 7.4 -
產品提供形式:Liquid
-
應用范圍:ELISA, IHC, IF
-
推薦稀釋比:
Application Recommended Dilution IHC 1:200-1:500 IF 1:50-1:200 -
Protocols:
-
儲存條件:Upon receipt, store at -20°C or -80°C. Avoid repeated freeze.
-
貨期:Basically, we can dispatch the products out in 1-3 working days after receiving your orders. Delivery time maybe differs from different purchasing way or location, please kindly consult your local distributors for specific delivery time.
-
用途:For Research Use Only. Not for use in diagnostic or therapeutic procedures.
相關產品
靶點詳情
-
功能:UDP-glucuronosyltransferase (UGT) that catalyzes phase II biotransformation reactions in which lipophilic substrates are conjugated with glucuronic acid to increase the metabolite's water solubility, thereby facilitating excretion into either the urine or bile. Essential for the elimination and detoxification of drugs, xenobiotics and endogenous compounds. Catalyzes the glucuronidation of endogenous steroid hormones such as androgens (epitestosterone, androsterone) and estrogens (estradiol, epiestradiol, estriol, catechol estrogens). Also regulates the levels of retinoic acid, a major metabolite of vitamin A involved in apoptosis, cellular growth and differentiation, and embryonic development. Contributes to bile acid (BA) detoxification by catalyzing the glucuronidation of BA substrates, which are natural detergents for dietary lipids absorption. Involved in the glucuronidation of the AGTR1 angiotensin receptor antagonist losartan, caderastan and zolarsatan, drugs which can inhibit the effect of angiotensin II. Also metabolizes mycophenolate, an immunosuppressive agent.
-
基因功能參考文獻:
- rs7668282 (UGT2B7, T>C) was more prevalent in sodium valproate (VPA)-resistant patients than drug-responsive patients. rs2242480 (CYP3A4, C>T) and rs10188577 (SCN1A, T>C) were more prevalent in drug-responsive patients compared to drug-resistant patients. In children with generalized seizures on VPA therapy, polymorphisms of UGT2B7, CYP3A4, and SCN1A genes were associated with seizure reduction. PMID: 29679912
- Review/Meta-analysis: UGT2B7 G211T and C161T polymorphisms were able to affect the pharmacokinetics in epilepsy patients treated with valproic acid PMID: 29243113
- Icaritin was subjected to significant glucuronidation, wherein UGT1A3, 1A7, 1A8, 1A9 and 2B7 were main contributing enzymes. PMID: 28443723
- This study is the first attempt to investigate the association of genetic polymorphisms of UGT2B7 with anti-tuberculosis drug-induced liver injury (ATLI) in Chinese Han. There is no significant association between UGT2B7 polymorphisms and ATLI in Chinese Han. PMID: 28934901
- This study analyzed the genotypes of 195 epilepsy patients, and preliminarily results confirmed the distribution of UGT2B7 *2 genotypes (802 C > T, H268 > Y) in a population of epilepsy patients. Results indicated that polymorphisms in the UGT2B7 *2 gene exert specific effects on the blood concentrations of valproic acid, but not carbamazepine. PMID: 28958730
- In summary, we explored the effects of CYP3A5*3, UGT2B7*2, and UGT2B7*3 variants on steady-state carbamazepine (CBZ) concentrations in 62 epileptic patients. Our study found that the UGT2B7*2 variant, but not the CYP3A5*3 and UGT2B7*3 variants, can affect steady-state CBZ concentrations in these patients. PMID: 30045320
- Inter-isoform Hetero-dimerization of Human UDP-Glucuronosyltransferases (UGTs) 1A1, 1A9, and 2B7 and Impacts on Glucuronidation Activity PMID: 27857056
- These results suggested that ABCB1 rs1045642 and UGT2B7 rs7439366 may affect oxcarbazepine pharmacokinetics and therapeutic efficacy in Han Chinese patients with epilepsy PMID: 28837897
- Two copies of haplotype D in the UGT2B7 gene increased venous thrombosis risk as well as Sex-hormone-binding-globulin levels in oral contraceptive users and not in non-users. Genetic variation in the UGT2B7 gene may, in part, explain venous thrombosis risk in combined oral contraceptive users. PMID: 28579309
- BDNF enriched in colorectal carcinoma can interact and inhibit UGT2B7 by primarily blocking the positive signals of H3K4Me3 as well as activating H3K27Ac on the promoter region of UGT2B7. PMID: 28418861
- We discovered a rare single nucleotide UGT2B7 variant of potential pharmacogenetic relevance that encodes a nonconservative amino acid substitution at codon 121. PMID: 27612916
- This study showed that UGT2B7 and UGT2B15 3'-UTRs contain miRNA response elements for multiple miRNAs that may contribute to variable drug glucuronidation. PMID: 28962835
- Our findings highlight the influence of UGTT1A4 haplotypes on tamoxifen disposition in Asian breast cancer patients, while genetic variants in UGT2B7 and UGT2B15 appear to be of minor importance. PMID: 27098059
- Neither AUC0-150min, ktr, CL, nor VD were associated with genetic variants in OCT1, ABCB1, and UGT2B7 (all P>0.05). PMID: 28063968
- This study aimed to analyze the relationship of UGT2B7 and UGT1A4 polymorphisms with metabolism of valproic acid (VPA) and lamotrigine (LTG) in epileptic children. UGT2B7 A268G and C802T polymorphisms were demonstrated to affect the serum concentration of VPA (F=3.147, P=0.047; F=22.754, P=0.000). we found that C802T polymorphism exerted strong effects on efficacy of VPA (chi2=9.265, P=0.010). PMID: 27795544
- The CC genotype patients with Uridine Glucuronosyltransferase 2B7 Polymorphism had decreased epirubicin clearance in Early-Stage Breast Cancer. PMID: 26452313
- UGT2B7 contributes to the in-vitro glucuronidation of arctigenin in liver/intestinal microsomes. PMID: 26407805
- Influence of valproic acid concentration and polymorphism of UGT1A4*3, UGT2B7 -161C > T and UGT2B7*2 on serum concentration of lamotrigine in Chinese epileptic children PMID: 26303110
- Significant differences in mean dose consumption were seen among the genotypic groups of the OPRM1 A118G and UGT2B7 C802T variants. These variants were found to predict codeine consumption in the cohort overall and among Caucasians PMID: 25752520
- aprepitant can alter clearance of drugs primarily eliminated by UGT2B7. PMID: 26053558
- The presence of the SNP 802C>T UGT2B7 (UGT2B7*2/*2) is associated with a worse analgesic response to transdermal buprenorphine in the postoperative period of thoracic surgery. PMID: 24256307
- Results show ticagrelor pharmacokinetics to be influenced by SNPs in UGT2B7 though no detectable effects on efficacy or safety were found PMID: 25935875
- This descriptive study examines correlations between concentrations of tamoxifen's glucuronide metabolites and genotypes UGT1A4, UGT2B7, UGT2B15 and UGT2B17 in 132 patients with estrogen receptor-positive breast cancer under treatment with tamoxifen PMID: 26176234
- These results suggested that UGT2B7 C802T may be an important determinant of individual variability in the pharmacokinetics of VPA PMID: 26088889
- This study revealed that three polymorphisms, SCN1A IVS5-91G>A, ABCC2 c.1249 G>A and UGT2B7 c.802T>C, are associated with OXC maintenance dose and lnCDR in Han Chinese epilepsy patients PMID: 25823783
- Kinetic analyses revealed very low Km value for 16alpha-hydroxyestrone glucuronidation by UGT2B7, below 4 muM, suggesting higher affinity than commonly found among UGTs and their substrates PMID: 26220143
- Provide further evidence supporting UGT2B7 as a p53 target gene. PMID: 25713207
- Our small pilot study illustrates that in addition to gestational and postnatal age, the UGT2B7 -900G>A polymorphism significantly alters morphine pharmacokinetics in preterm infants. PMID: 25340733
- study reveals UGT2B7 A268G genetic polymorphism distribution in Chinese epilepsy population; UGT2B7 A268G plays an important role in valproic acid (VPA) metabolism, and has certain effects on VPA's serum concentration PMID: 23981985
- The list of proteins immunoprecipitated with the anti-UGT2B7 antibody. PMID: 24366439
- These data suggest that the UGT2B7 -161C>T polymorphism in pediatric epilepsy patients carrying the CYP2C9*1/*1 genotype affects VPA concentration. PMID: 24365988
- We identified three novel single-nucleotide polymorphisms (SNPs) in the UDP-glucuronosyltransferase 2B7 (UGT2B7) gene. PMID: 24561451
- A novel autoregulatory mechanism of the UGT2B7 glucuronidation pathway. PMID: 24088326
- data indicate UGT2B7 pre-mRNAs are subject to differential splicing in normal, fetal and neoplastic tissues and that 2 mutually exclusive promoters drive UGT2B7 expression; data also indicate a switch toward functional enzyme upon maturation in the kidney and reversal of this process in neoplastic cells PMID: 24128937
- Carbinol glucuronidation activity significantly correlated with UGT2B7 protein. PMID: 23965986
- By considering COMT, OPRM1, and UGT2B7 genotypes, as well as pharmacokinetic results, only COMT polymorphisms appear to be predictive of morphine need in postoperative pain therapy. PMID: 23686330
- log-rank test and hazard ratio were used to reflect association between UGT2B7 802C>T variant and risk of acute graft rejection PMID: 23726609
- UGT2B7 SNPs influence lamotrigine pharmacokinetics in Thai patients. PMID: 23263737
- Report UGT2B7 expression in fetal/adult tissues. PMID: 23223495
- UGT1A9 and 2B7 are the main enzymes involved in ethanol glucuronidation. In addition, our results suggest that cannabinol and cannabidiol could significantly alter ethanol glucuronidation. PMID: 23230132
- the UGT2B7*2 variant allele was significantly rarer in Chinese than in Caucasians and Africans PMID: 23700788
- There were no differences in VPA dose or adjusted plasma VPA concentrations among the UGT2B7*2 or CYP2C9*3 genotypic groups. PMID: 23099353
- These results suggest that N-glycosylation differentially affects the glucuronidation of zidovudine and morphine by human UGT2B7. PMID: 22240840
- genetic association studies in pediatric population in United States: Data suggest that combined SNPs in UGT2B7, UGT1A9, and MRP2 are important in pharmacokinetics/biotransformation of prodrug mycophenolate mofetil in kidney transplant recipients. PMID: 23131697
- These results suggest that SNPs of the UGT2B7 gene may play important roles in opiate withdrawal symptoms. PMID: 22676193
- For both CYP2B6 and UGT2B7 genes, genetic variation was observed among individuals within populations, with the Papua New Guinean population showing the highest values for CYP2B6, and the Asian and European populations showing higher values for UGT2B7. PMID: 22462748
- the present study revealed that EPHX1, UGT2B7 and SCN1A genetic polymorphisms simultaneously modulated the CBZ maintenance doses and CDRs(concentration-dose ratios) PMID: 22188362
- Data suggest that UGT2B7 is the predominant activity in liver microsomes for haloperidol O-glucuronidation (in both human and rat). PMID: 22028316
- In the case of UGT2B7, our results agree with the previously described effect of BSA, namely lowering the K(m) value without a large effect on the enzyme's V(max) value. PMID: 21856742
- these findings point toward a significant variability in structure, abundance, and tissue-specific UGT2B7 transcriptome, in addition to novel functions for UGT2B7-derived proteins PMID: 21881541
顯示更多
收起更多
-
亞細胞定位:Endoplasmic reticulum membrane; Single-pass membrane protein.
-
蛋白家族:UDP-glycosyltransferase family
-
數據庫鏈接:
Most popular with customers
-
-
YWHAB Recombinant Monoclonal Antibody
Applications: ELISA, WB, IHC, IF, FC
Species Reactivity: Human, Mouse, Rat
-
Phospho-YAP1 (S127) Recombinant Monoclonal Antibody
Applications: ELISA, WB, IHC
Species Reactivity: Human
-
-
-
-
-















