UGP2 Antibody
-
中文名稱:UGP2兔多克隆抗體
-
貨號:CSB-PA620986HA01HU
-
規格:¥440
-
圖片:
-
Western blot
All lanes: UGP2 antibody at 2µg/ml + Mouse liver tissue
Secondary
Goat polyclonal to rabbit IgG at 1/10000 dilution
Predicted band size: 57, 56 kDa
Observed band size: 57 kDa -
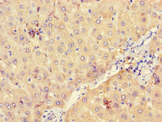
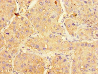
Immunohistochemistry of paraffin-embedded human liver cancer using CSB-PA620986HA01HU at dilution of 1:100
-
Immunohistochemistry of paraffin-embedded human liver tissue using CSB-PA620986HA01HU at dilution of 1:100
-
-
其他:
產品詳情
-
產品名稱:Rabbit anti-Homo sapiens (Human) UGP2 Polyclonal antibody
-
Uniprot No.:
-
基因名:UGP2
-
別名:pHC379 antibody; UDP glucose diphosphorylase antibody; UDP glucose pyrophosphorylase 1 antibody; UDP glucose pyrophosphorylase 2 antibody; UDP glucose pyrophosphorylase antibody; UDP-glucose pyrophosphorylase antibody; UDPG antibody; UDPGP 2 antibody; UDPGP antibody; UDPGP2 antibody; UGP 1 antibody; UGP 2 antibody; UGP1 antibody; Ugp2 antibody; UGPA_HUMAN antibody; UGPase 2 antibody; UGPase antibody; UGPP 1 antibody; UGPP 2 antibody; UGPP1 antibody; UGPP2 antibody; Uridyl diphosphate glucose pyrophosphorylase 1 antibody; Uridyl diphosphate glucose pyrophosphorylase 2 antibody; UTP glucose 1 phosphate uridyltransferase antibody; UTP glucose 1 phosphate uridylyltransferase 2 antibody; UTP glucose 1 phosphate uridylyltransferase antibody; UTP--glucose-1-phosphate uridylyltransferase antibody
-
宿主:Rabbit
-
反應種屬:Human, Mouse
-
免疫原:Recombinant Human UTP--glucose-1-phosphate uridylyltransferase protein (1-497AA)
-
免疫原種屬:Homo sapiens (Human)
-
標記方式:Non-conjugated
本頁面中的產品,UGP2 Antibody (CSB-PA620986HA01HU),的標記方式是Non-conjugated。對于UGP2 Antibody,我們還提供其他標記。見下表:
-
克隆類型:Polyclonal
-
抗體亞型:IgG
-
純化方式:>95%, Protein G purified
-
濃度:It differs from different batches. Please contact us to confirm it.
-
保存緩沖液:Preservative: 0.03% Proclin 300
Constituents: 50% Glycerol, 0.01M PBS, PH 7.4 -
產品提供形式:Liquid
-
應用范圍:ELISA, WB, IHC
-
推薦稀釋比:
Application Recommended Dilution WB 1:1000-1:5000 IHC 1:20-1:200 -
Protocols:
-
儲存條件:Upon receipt, store at -20°C or -80°C. Avoid repeated freeze.
-
貨期:Basically, we can dispatch the products out in 1-3 working days after receiving your orders. Delivery time maybe differs from different purchasing way or location, please kindly consult your local distributors for specific delivery time.
-
用途:For Research Use Only. Not for use in diagnostic or therapeutic procedures.
相關產品
靶點詳情
-
功能:UTP--glucose-1-phosphate uridylyltransferase catalyzing the conversion of glucose-1-phosphate into UDP-glucose, a crucial precursor for the production of glycogen.
-
基因功能參考文獻:
- High UGP2 expression is associated with malignant pancreatic lesions. PMID: 29347944
- This study provides clear evidence that the octameric state is a prerequisite for activity in the uridine diphosphate-glucose pyrophosphorylase. PMID: 23254995
- The crystal structure was determined and shown to form octamers through end-to-end and side-by-side interactions. Mutagenesis studies showed that both dissociation of octamers and mutations of the latch loop can significantly affect the activity. PMID: 22132858
- GYS1 regulation by HIF plays a central role in the hypoxic accumulation of glycogen, and hypoxia also upregulates the expression of UTP:glucose-1-phosphate urydylyltransferase (UGP2) and 1,4-alpha glucan branching enzyme (GBE1) PMID: 20300197
-
亞細胞定位:Cytoplasm.
-
蛋白家族:UDPGP type 1 family
-
組織特異性:Highly expressed in various brain regions. Expressed in amygdala, anterior cingulate cortex, caudate, cerebellar hemisphere, cerebellum, cortex, frontal cortex, hippocampus, hypothalamus, nucleus accumbens, putamen, spinal cord and substantia nigra. Also
-
數據庫鏈接:
Most popular with customers
-
-
YWHAB Recombinant Monoclonal Antibody
Applications: ELISA, WB, IHC, IF, FC
Species Reactivity: Human, Mouse, Rat
-
Phospho-YAP1 (S127) Recombinant Monoclonal Antibody
Applications: ELISA, WB, IHC
Species Reactivity: Human
-
-
-
-
-















