UBE2V2 Antibody
-
中文名稱:UBE2V2兔多克隆抗體
-
貨號:CSB-PA025484DA01HU
-
規格:¥440
-
圖片:
-
Western Blot
Positive WB detected in: HL60 whole cell lysate, K562 whole cell lyaste, Mouse brain tissue, Rat brain tissue
All lanes: UBE2V2 antibody at 1.5µg/ml
Secondary
Goat polyclonal to rabbit IgG at 1/50000 dilution
Predicted band size: 17 kDa
Observed band size: 17 kDa -
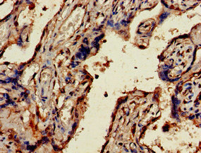
Immunohistochemistry of paraffin-embedded human placenta tissue using CSB-PA025484DA01HU at dilution of 1:100
-
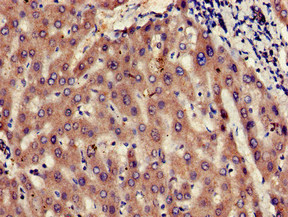
Immunohistochemistry of paraffin-embedded human liver tissue using CSB-PA025484DA01HU at dilution of 1:100
-
-
其他:
產品詳情
-
產品名稱:Rabbit anti-Homo sapiens (Human) UBE2V2 Polyclonal antibody
-
Uniprot No.:
-
基因名:UBE2V2
-
別名:1 alpha 25 dihydroxyvitamin D3 inducible antibody; DDVit 1 antibody; DDVIT1 antibody; EDAF-1 antibody; EDAF1 antibody; EDPF-1 antibody; EDPF1 antibody; Enterocyte differentiation associated factor EDAF 1 antibody; Enterocyte differentiation promoting factor antibody; Enterocyte differentiation-associated factor 1 antibody; Enterocyte differentiation-promoting factor 1 antibody; Methyl methanesulfonate sensitive 2 antibody; MMS 2 antibody; MMS2 antibody; MMS2 homolog antibody; UB2V2_HUMAN antibody; UBE2V 2 antibody; UBE2V2 antibody; Ubiquitin conjugating enzyme E2 variant 2 antibody; Ubiquitin conjugating enzyme E2v2 antibody; Ubiquitin-conjugating enzyme E2 variant 2 antibody; UEV 2 antibody; UEV2 antibody; Vitamin D3 inducible protein antibody; Vitamin D3-inducible protein antibody
-
宿主:Rabbit
-
反應種屬:Human, Mouse, Rat
-
免疫原:Recombinant Human Ubiquitin-conjugating enzyme E2 variant 2 protein (2-145AA)
-
免疫原種屬:Homo sapiens (Human)
-
標記方式:Non-conjugated
本頁面中的產品,UBE2V2 Antibody (CSB-PA025484DA01HU),的標記方式是Non-conjugated。對于UBE2V2 Antibody,我們還提供其他標記。見下表:
-
克隆類型:Polyclonal
-
抗體亞型:IgG
-
純化方式:>95%, Protein G purified
-
濃度:It differs from different batches. Please contact us to confirm it.
-
保存緩沖液:Preservative: 0.03% Proclin 300
Constituents: 50% Glycerol, 0.01M PBS, pH 7.4 -
產品提供形式:Liquid
-
應用范圍:ELISA, WB, IHC
-
推薦稀釋比:
Application Recommended Dilution WB 1:500-1:5000 IHC 1:20-1:200 -
Protocols:
-
儲存條件:Upon receipt, store at -20°C or -80°C. Avoid repeated freeze.
-
貨期:Basically, we can dispatch the products out in 1-3 working days after receiving your orders. Delivery time maybe differs from different purchasing way or location, please kindly consult your local distributors for specific delivery time.
-
用途:For Research Use Only. Not for use in diagnostic or therapeutic procedures.
相關產品
靶點詳情
-
功能:Has no ubiquitin ligase activity on its own. The UBE2V2/UBE2N heterodimer catalyzes the synthesis of non-canonical poly-ubiquitin chains that are linked through 'Lys-63'. This type of poly-ubiquitination does not lead to protein degradation by the proteasome. Mediates transcriptional activation of target genes. Plays a role in the control of progress through the cell cycle and differentiation. Plays a role in the error-free DNA repair pathway and contributes to the survival of cells after DNA damage.
-
基因功能參考文獻:
- Functional analysis of selected regulated proteins revealed that knockdown of HNRPD, PHB2 and UB2V2 can increase HCMV replication, while knockdown of A4 and KSRP resulted in decreased HCMV replication. PMID: 25910425
- suppression of hMMS2 reverses L-OHP tolerance in differentiated human colorectal carcinoma cells by promoting apoptosis PMID: 24846979
- UBE2v2 signalling through PCNA ubiquitination is not required for immunoglobulin diversification in DT40 cells. PMID: 15725630
- Insight into the influence of protein dynamics on the affinity of ubiquitin for Mms2. PMID: 15952783
- Mms2 physical association with ubiquitin is correlated with its ability to promote Lys63-linked ubiquitin chain assembly PMID: 17964296
- These results point to a high level of redundancy in the DNA damage tolerance pathway and suggest the existence of another hMMS2 variant (hMMSv) or complex that can compensate for its loss. PMID: 18284681
顯示更多
收起更多
-
蛋白家族:Ubiquitin-conjugating enzyme family
-
組織特異性:Detected in placenta, colon, liver and skin. Detected at very low levels in most tissues.
-
數據庫鏈接:
Most popular with customers
-
-
YWHAB Recombinant Monoclonal Antibody
Applications: ELISA, WB, IHC, IF, FC
Species Reactivity: Human, Mouse, Rat
-
-
-
-
-
-















