UBE2Q2 Antibody
-
中文名稱:UBE2Q2兔多克隆抗體
-
貨號:CSB-PA845153HA01HU
-
規格:¥440
-
圖片:
-
Western blot
All lanes: UBE2Q2 antibody at 2µg/ml + A431 whole cell lysate
Secondary
Goat polyclonal to rabbit IgG at 1/10000 dilution
Predicted band size: 43, 37, 41, 39 kDa
Observed band size: 43 kDa -
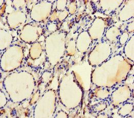
Immunohistochemistry of paraffin-embedded human thyroid tissue using CSB-PA845153HA01HU at dilution of 1:100
-
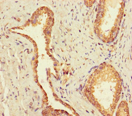
Immunohistochemistry of paraffin-embedded human prostate cancer using CSB-PA845153HA01HU at dilution of 1:100
-
-
其他:
產品詳情
-
產品名稱:Rabbit anti-Homo sapiens (Human) UBE2Q2 Polyclonal antibody
-
Uniprot No.:
-
基因名:UBE2Q2
-
別名:LOC92912 antibody; UB2Q2_HUMAN antibody; UBE2Q2 antibody; Ubiquitin carrier protein Q2 antibody; Ubiquitin conjugating enzyme E2Q 2 antibody; Ubiquitin conjugating enzyme E2Q family member 2 antibody; Ubiquitin-conjugating enzyme E2 Q2 antibody; ubiquitin-conjugating enzyme E2Q (putative) 2 antibody; Ubiquitin-protein ligase Q2 antibody
-
宿主:Rabbit
-
反應種屬:Human
-
免疫原:Recombinant Human Ubiquitin-conjugating enzyme E2 Q2 protein (1-375AA)
-
免疫原種屬:Homo sapiens (Human)
-
標記方式:Non-conjugated
本頁面中的產品,UBE2Q2 Antibody (CSB-PA845153HA01HU),的標記方式是Non-conjugated。對于UBE2Q2 Antibody,我們還提供其他標記。見下表:
-
克隆類型:Polyclonal
-
抗體亞型:IgG
-
純化方式:>95%, Protein G purified
-
濃度:It differs from different batches. Please contact us to confirm it.
-
保存緩沖液:Preservative: 0.03% Proclin 300
Constituents: 50% Glycerol, 0.01M PBS, PH 7.4 -
產品提供形式:Liquid
-
應用范圍:ELISA, WB, IHC
-
推薦稀釋比:
Application Recommended Dilution WB 1:1000-1:5000 IHC 1:20-1:200 -
Protocols:
-
儲存條件:Upon receipt, store at -20°C or -80°C. Avoid repeated freeze.
-
貨期:Basically, we can dispatch the products out in 1-3 working days after receiving your orders. Delivery time maybe differs from different purchasing way or location, please kindly consult your local distributors for specific delivery time.
-
用途:For Research Use Only. Not for use in diagnostic or therapeutic procedures.
相關產品
靶點詳情
-
功能:Accepts ubiquitin from the E1 complex and catalyzes its covalent attachment to other proteins. In vitro catalyzes 'Lys-48'-linked polyubiquitination.
-
基因功能參考文獻:
- UBE2Q1 hypomethylation is associated with Colorectal Cancer. PMID: 26745068
- The newly characterized human gene, UBE2Q2, may have implications for the pathogenesis of acute lymphoblastic leukemia. PMID: 22642244
- In the 21 breast cancer cases investigated, a high increase in UBE2Q2 expression was found in 8 breast cancers (38.1%), a moderately increased UBE2Q2 expression was observed in 7 cases (33.3%), and no sig. changes were detected in 6 cases (28.6%). PMID: 20193842
- Found high expression levels of UBE2Q2 in human head and neck carcinoma cell lines and cancer tissues; found the level of UBE2Q2 is decreased in cell lines and cancer tissues that have resistance to CDDP or docetaxel. PMID: 19723876
- the novel LOC92912 gene is characterized. It is over-expressed in hypopharyngeal tumours. Its functions may be linked with the cytoskeleton; it may represent a new target for cancer therapeutics. PMID: 16300736
- Inhibition of the UBE2Q2 protein causes cells to undergo a prolonged prophase arrest suggesting that UBE2Q2 normally functions to antagonize an early mitotic checkpoint. PMID: 17471241
顯示更多
收起更多
-
亞細胞定位:Cytoplasm.
-
蛋白家族:Ubiquitin-conjugating enzyme family
-
組織特異性:Detected in hypopharyngeal head and neck squamous cell carcinoma, in tumor masses and invasive epithelium.
-
數據庫鏈接:
Most popular with customers
-
-
YWHAB Recombinant Monoclonal Antibody
Applications: ELISA, WB, IHC, IF, FC
Species Reactivity: Human, Mouse, Rat
-
Phospho-YAP1 (S127) Recombinant Monoclonal Antibody
Applications: ELISA, WB, IHC
Species Reactivity: Human
-
-
-
-
-















