Tf Antibody
-
中文名稱:Tf兔多克隆抗體
-
貨號:CSB-PA856363LA01MO
-
規格:¥440
-
圖片:
-
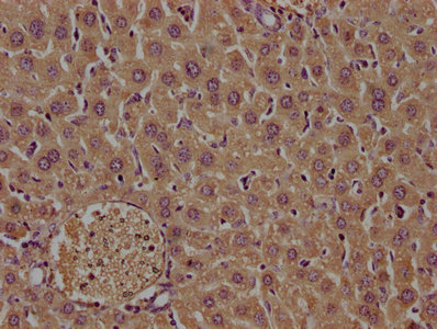
IHC image of CSB-PA856363LA01MO diluted at 1:400 and staining in paraffin-embedded mouse liver tissue performed on a Leica BondTM system. After dewaxing and hydration, antigen retrieval was mediated by high pressure in a citrate buffer (pH 6.0). Section was blocked with 10% normal goat serum 30min at RT. Then primary antibody (1% BSA) was incubated at 4°C overnight. The primary is detected by a biotinylated secondary antibody and visualized using an HRP conjugated SP system.
-
-
其他:
產品詳情
-
產品名稱:Rabbit anti-Mus musculus (Mouse) Tf Polyclonal antibody
-
Uniprot No.:
-
基因名:
-
別名:Tf antibody; Trf antibody; Serotransferrin antibody; Transferrin antibody; Beta-1 metal-binding globulin antibody; Siderophilin antibody
-
宿主:Rabbit
-
反應種屬:Mouse
-
免疫原:Recombinant Mouse Serotransferrin protein (401-697AA)
-
免疫原種屬:Mus musculus (Mouse)
-
標記方式:Non-conjugated
本頁面中的產品,Tf Antibody (CSB-PA856363LA01MO),的標記方式是Non-conjugated。對于Tf Antibody,我們還提供其他標記。見下表:
-
克隆類型:Polyclonal
-
抗體亞型:IgG
-
純化方式:>95%, Protein G purified
-
濃度:It differs from different batches. Please contact us to confirm it.
-
保存緩沖液:Preservative: 0.03% Proclin 300
Constituents: 50% Glycerol, 0.01M PBS, pH 7.4 -
產品提供形式:Liquid
-
應用范圍:ELISA, IHC
-
推薦稀釋比:
Application Recommended Dilution IHC 1:200-1:500 -
Protocols:
-
儲存條件:Upon receipt, store at -20°C or -80°C. Avoid repeated freeze.
-
貨期:Basically, we can dispatch the products out in 1-3 working days after receiving your orders. Delivery time maybe differs from different purchasing way or location, please kindly consult your local distributors for specific delivery time.
-
用途:For Research Use Only. Not for use in diagnostic or therapeutic procedures.
相關產品
靶點詳情
-
功能:Transferrins are iron binding transport proteins which can bind two Fe(3+) ions in association with the binding of an anion, usually bicarbonate. It is responsible for the transport of iron from sites of absorption and heme degradation to those of storage and utilization. Serum transferrin may also have a further role in stimulating cell proliferation.
-
基因功能參考文獻:
- the value of transferrin receptors (TfRs)/cell reveals a 100-fold increase in the number of TfRs per bEnd3 cells compared to human umbilical vein cells. PMID: 27100851
- Identification of multiple transferrin species in the spleen and serum from mice with collagen-induced arthritis which may reflect changes in transferrin glycosylation associated with disease activity: The role of CD38. PMID: 26639305
- Transcytosis and brain uptake of transferrin-containing nanoparticles by tuning avidity to transferrin receptor. PMID: 23650374
- Together, these data indicate that Lcn2, in combination with transferrin, confines Klebsiella pneumoniae to the airways and prevents invasion into tissue containing the pulmonary vasculature. PMID: 23169997
- Transferrin(hpx/hpx) Hemojuvelin(+/+) and Transferrin(hpx/hpx) Hemojuvelin(-/-) phenotypes did not differ markedly, but RBC transfusions increased hepcidin levels in Transferrin(hpx/hpx) Hemojuvelin(+/+) but not Transferrin(hpx/hpx) Hemojuvelin(-/-)mice. PMID: 21993681
- These results indicate that CALM is required for erythroid maturation and transferrin internalization in mice. PMID: 22363754
- Neurodegenerative conditions involving iron-mediated toxicity may be due to a failure of iron transport or storage mechanisms, rather than to the presence of high levels of non-transferrin-bound iron. PMID: 20431983
- Apotransferrin mitigates the neurotoxicity of hemoglobin in a cell culture model of intracerebral hemorrhage. PMID: 21034753
- Descibed is the 2.4 A structure of inhibitor of carbonic anhydrase from a pseudomerohedral twinned crystal: a member of the transferrin superfamily. PMID: 20572014
- transferrin receptor 2 and HFE are involved in holotransferrin-dependent signaling for the regulation of furin which involved Erk phosphorylation. Furin in turn may control hepcidin expression. PMID: 20634490
- hepcidin expression in hypotransferrinemic mice is regulated both by transferrin-restricted erythropoiesis and by transferrin through a mechanism independent of its role in erythropoiesis PMID: 20956801
- These data show that mycobacteria reside in the Rab11(+) endocytic recycling pathway, thereby retaining access to metabolizing transferrin and avoiding endocytosed immunoproteins like Lcn2. PMID: 20121435
- during later times postinfection (1.5 to 3 h), the virus meets up with transferrin in the Rab11-positive recycling endosome PMID: 16611921
- Transsferrin overexpression has negative effects on testicular function and that transfserrin levels require strict regulation in the testis. PMID: 16998850
- developing erythroid cells, which are taking up vast amounts of Fe, deliver the metal directly from transferrin-containing endosomes to mitochondria PMID: 17376890
- The role of transferrin in glial protection was investigated. PMID: 18509548
- Data show that the transferrin receptor TfR1 provided transferrin to the ureteric bud, but not to the capsule or the stroma, and that Scara5 bound serum ferritin and then stimulated its endocytosis from the cell surface with consequent iron delivery. PMID: 19154717
顯示更多
收起更多
-
亞細胞定位:Secreted.
-
蛋白家族:Transferrin family
-
組織特異性:Expressed by the liver and secreted in plasma.
-
數據庫鏈接:
Most popular with customers
-
-
YWHAB Recombinant Monoclonal Antibody
Applications: ELISA, WB, IHC, IF, FC
Species Reactivity: Human, Mouse, Rat
-
Phospho-YAP1 (S127) Recombinant Monoclonal Antibody
Applications: ELISA, WB, IHC
Species Reactivity: Human
-
-
-
-
-















