TUBGCP2 Antibody
-
中文名稱:TUBGCP2兔多克隆抗體
-
貨號:CSB-PA154414
-
規格:¥1100
-
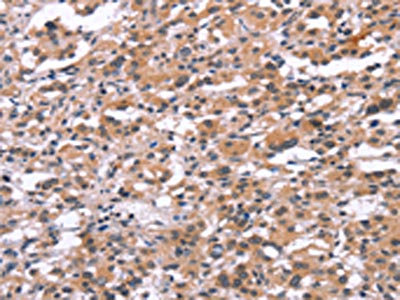
圖片:
-
The image on the left is immunohistochemistry of paraffin-embedded Human thyroid cancer tissue using CSB-PA154414(TUBGCP2 Antibody) at dilution 1/15, on the right is treated with synthetic peptide. (Original magnification: ×200)
-
The image on the left is immunohistochemistry of paraffin-embedded Human gastric cancer tissue using CSB-PA154414(TUBGCP2 Antibody) at dilution 1/15, on the right is treated with synthetic peptide. (Original magnification: ×200)
-
-
其他:
產品詳情
-
Uniprot No.:
-
基因名:
-
別名:1700022B05Rik antibody; A disintegrin and metalloprotease domain 8 antibody; Adam8 antibody; Gamma ring complex protein 103 kDa antibody; Gamma tubulin complex component 2 antibody; Gamma tubulin complex protein 2 antibody; Gamma-ring complex protein 103 kDa antibody; Gamma-tubulin complex component 2 antibody; GCP 2 antibody; GCP-2 antibody; GCP2 antibody; GCP2_HUMAN antibody; h103p antibody; hGCP2 antibody; hGrip103 antibody; hSpc97 antibody; MGC138162 antibody; MGC83533 antibody; OTTHUMP00000020808 antibody; SPBC97 antibody; Spc97p antibody; Spindle pole body protein Spc97 homolog antibody; TUBGCP 2 antibody; Tubgcp2 antibody; Tubulin gamma complex associated protein 2 antibody
-
宿主:Rabbit
-
反應種屬:Human,Mouse
-
免疫原:Synthetic peptide of Human TUBGCP2
-
免疫原種屬:Homo sapiens (Human)
-
標記方式:Non-conjugated
-
抗體亞型:IgG
-
純化方式:Antigen affinity purification
-
濃度:It differs from different batches. Please contact us to confirm it.
-
保存緩沖液:-20°C, pH7.4 PBS, 0.05% NaN3, 40% Glycerol
-
產品提供形式:Liquid
-
應用范圍:ELISA,IHC
-
推薦稀釋比:
Application Recommended Dilution ELISA 1:1000-1:2000 IHC 1:25-1:100 -
Protocols:
-
儲存條件:Upon receipt, store at -20°C or -80°C. Avoid repeated freeze.
-
貨期:Basically, we can dispatch the products out in 1-3 working days after receiving your orders. Delivery time maybe differs from different purchasing way or location, please kindly consult your local distributors for specific delivery time.
-
用途:For Research Use Only. Not for use in diagnostic or therapeutic procedures.
相關產品
靶點詳情
-
功能:Gamma-tubulin complex is necessary for microtubule nucleation at the centrosome. Plays a role in neuronal migration.
-
亞細胞定位:Cytoplasm, cytoskeleton, microtubule organizing center, centrosome.
-
蛋白家族:TUBGCP family
-
組織特異性:Ubiquitously expressed.
-
數據庫鏈接:
Most popular with customers
-
-
YWHAB Recombinant Monoclonal Antibody
Applications: ELISA, WB, IHC, IF, FC
Species Reactivity: Human, Mouse, Rat
-
Phospho-YAP1 (S127) Recombinant Monoclonal Antibody
Applications: ELISA, WB, IHC
Species Reactivity: Human
-
-
-
-
-















