TUBA1B Antibody
-
中文名稱:TUBA1B兔多克隆抗體
-
貨號:CSB-PA04189A0Rb
-
規格:¥440
-
圖片:
-
Western blot
All lanes: TUBA1B antibody at 12 μg/ml
Lane 1: Mouse brain tissue
Lane 2: Mouse liver tissue
Secondary
Goat polyclonal to rabbit IgG at 1/10000 dilution
Predicted band size: 51, 38 kDa
Observed band size: 51, 34, 75 kDa -
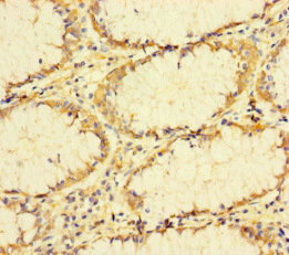
Immunohistochemistry of paraffin-embedded human colon cancer using CSB-PA04189A0Rb at dilution of 1:100
-
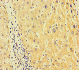
Immunohistochemistry of paraffin-embedded human liver cancer using CSB-PA04189A0Rb at dilution of 1:100
-
Immunofluorescent analysis of HepG2 cells using CSB-PA04189A0Rb at dilution of 1:100 and Alexa Fluor 488-congugated AffiniPure Goat Anti-Rabbit IgG(H+L)
-
-
其他:
產品詳情
-
產品名稱:Rabbit anti-Homo sapiens (Human) TUBA1B Polyclonal antibody
-
Uniprot No.:
-
基因名:
-
別名:ta 2b antibody; Alpha tubulin antibody; Alpha-tubulin ubiquitous antibody; beta Ib tubulin antibody; CDCBM5 antibody; CDCBM6 antibody; fd02b12 antibody; K ALPHA 1 antibody; M40 antibody; OK/SW-cl.56 antibody; TBA1B_HUMAN antibody; TUBA1B antibody; TUBB1 antibody; TUBB2 antibody; TUBB5 antibody; tubulin alpha 1b antibody; Tubulin alpha-1B chain antibody; Tubulin alpha-ubiquitous chain antibody; Tubulin beta 1b antibody; Tubulin beta 2A antibody; tubulin beta 2A class IIa antibody; Tubulin beta antibody; tubulin beta chain antibody; tubulin beta class I antibody; tubulin beta-1 chain antibody; tubulin beta-2A chain antibody; tubulin beta-5 chain antibody; Tubulin K-alpha-1 antibody; tubulin; alpha; ubiquitous antibody; tubulin; beta 2A class IIa antibody; tubulin; beta polypeptide 2 antibody; tubulin; beta polypeptide antibody; tubulin; beta; class IIA antibody; wu:fd02b12 antibody; zgc:55461 antibody
-
宿主:Rabbit
-
反應種屬:Human, Mouse
-
免疫原:Recombinant Human Tubulin alpha-1B chain protein (29-310AA)
-
免疫原種屬:Homo sapiens (Human)
-
標記方式:Non-conjugated
本頁面中的產品,TUBA1B Antibody (CSB-PA04189A0Rb),的標記方式是Non-conjugated。對于TUBA1B Antibody,我們還提供其他標記。見下表:
-
克隆類型:Polyclonal
-
抗體亞型:IgG
-
純化方式:>95%, Protein G purified
-
濃度:It differs from different batches. Please contact us to confirm it.
-
保存緩沖液:Preservative: 0.03% Proclin 300
Constituents: 50% Glycerol, 0.01M PBS, PH 7.4 -
產品提供形式:Liquid
-
應用范圍:ELISA, WB, IHC, IF
-
推薦稀釋比:
Application Recommended Dilution WB 1:1000-1:5000 IHC 1:20-1:200 IF 1:50-1:200 -
Protocols:
-
儲存條件:Upon receipt, store at -20°C or -80°C. Avoid repeated freeze.
-
貨期:Basically, we can dispatch the products out in 1-3 working days after receiving your orders. Delivery time maybe differs from different purchasing way or location, please kindly consult your local distributors for specific delivery time.
-
用途:For Research Use Only. Not for use in diagnostic or therapeutic procedures.
相關產品
靶點詳情
-
功能:Tubulin is the major constituent of microtubules. It binds two moles of GTP, one at an exchangeable site on the beta chain and one at a non-exchangeable site on the alpha chain.
-
基因功能參考文獻:
- Data show that retinal endothelial cells (HREC) treated with low molecular weight fraction of commercial 5% human serum albumin (LMWF5A) exhibit a rapid increase in the amount and distribution of acetylated alpha-tubulin. PMID: 27613088
- The C-terminal tail from the tubulin beta I isotype, but not the beta III isotype, formed contacts in the putative binding site of a recently discovered antineoplastic peptide that disrupts microtubule formation in glioma cells. PMID: 28290671
- TUBA1B/ESR1 gene interaction might play pivotal roles in the occurrence and development of Postmenopausal Osteoporosis. PMID: 26676054
- Taken together our data provide valuable information regarding the interaction of CK1delta and a-tubulin and a novel approach for the development of pharmacological tools to inhibit proliferation of cancer cells. PMID: 26996302
- Results suggest that lithium chloride (LiCl) treatments activate alpha-tubulin N-acetyltransferase 1 (alphaTAT1) by the inhibition of glycogen synthase kinase 3 beta (GSK-3beta) and promote the alpha-tubulin acetylation, and then elongate the primary cilia. PMID: 24760594
- NAD-dependent regulation of alpha-tubulin acetylation is mediated by SIRT2. PMID: 24814981
- Data indicate that the derivatives exhibited much better potency to inhibit tubulin polymerization but a decreased activity to inhibit Hsp27 chaperone function. PMID: 23767669
- Increased TUBA1B expression is associated with poor overall survival in hepatocellular carcinoma. PMID: 23625295
- ARHGAP21 is a Rho-GAP involved in cell-cell junction remodeling that affects migration and EMT through alpha-tubulin interaction and acetylation PMID: 23235160
- TQ induced a concentration- and time-dependent degradation of alpha/beta tubulin in both cancer cell types. PMID: 21881916
- the ethyl acetate extract of Lactuca sativa induced HL-60 cell death, which correlated with the acetylation of alpha-tubulin. PMID: 20204303
- Confocal microscopic analyses showed co-localization of the TaSP protein with alpha-tubulin and reciprocal immuno-co-precipitation experiments demonstrated an association of TaSP with alpha-tubulin in vivo. PMID: 20162433
- This protein has been found differentially expressed in the anterior cingulate cortex from patients with schizophrenia PMID: 20381070
- increased levels in paclitaxel-resistant breast cancer cells PMID: 12054644
- Candidate gene K-ALPHA-1 expression in malignant and non-malignant prostate tissue samples after microdissection. PMID: 17628775
- accumulation of alpha-synuclein might contribute to the pathogenesis of PD and other Lewy body diseases by promoting alterations in parkin and tubulin solubility PMID: 18195004
- N-terminal sequencing and blastx analysis as well as blocking with K-alpha1 tubulin-specific Ab identified the epithelial Ag as K-alpha1 tubulin[K-alpha1 tubulin] PMID: 18354170
- These results imply that MeCP2 is involved in the regulation of neuronal alpha-tubulin and add molecular evidence that reversal of the effects of MeCP2 deficiency is achievable PMID: 19174478
- Increased expression of centrosomal TUBA1B in atypical ductal hyperplasia and carcinoma of the breast is reported. PMID: 19215229
- alpha-tubulin interacted with ARL7. PMID: 19409876
- This protein has been found differentially expressed in the Wernicke's Area from patients with schizophrenia. PMID: 19405953
顯示更多
收起更多
-
亞細胞定位:Cytoplasm, cytoskeleton.
-
蛋白家族:Tubulin family
-
數據庫鏈接:
Most popular with customers
-
YWHAB Recombinant Monoclonal Antibody
Applications: ELISA, WB, IHC, IF, FC
Species Reactivity: Human, Mouse, Rat
-
Phospho-YAP1 (S127) Recombinant Monoclonal Antibody
Applications: ELISA, WB, IHC
Species Reactivity: Human
-
-
-
-
-
-















