TTI2 Antibody
-
中文名稱:TTI2兔多克隆抗體
-
貨號:CSB-PA764687LA01HU
-
規格:¥440
-
圖片:
-
Western Blot
Positive WB detected in: Hela whole cell lysate, HepG2 whole cell lysate, PC-3 whole cell lysate, Rat kidney tissue
All lanes: TTI2 antibody at 8.7µg/ml
Secondary
Goat polyclonal to rabbit IgG at 1/50000 dilution
Predicted band size: 57 kDa
Observed band size: 57 kDa -
IHC image of CSB-PA764687LA01HU diluted at 1:100 and staining in paraffin-embedded human colon cancer performed on a Leica BondTM system. After dewaxing and hydration, antigen retrieval was mediated by high pressure in a citrate buffer (pH 6.0). Section was blocked with 10% normal goat serum 30min at RT. Then primary antibody (1% BSA) was incubated at 4°C overnight. The primary is detected by a biotinylated secondary antibody and visualized using an HRP conjugated SP system.
-
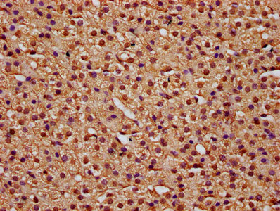
IHC image of CSB-PA764687LA01HU diluted at 1:100 and staining in paraffin-embedded human adrenal gland tissue performed on a Leica BondTM system. After dewaxing and hydration, antigen retrieval was mediated by high pressure in a citrate buffer (pH 6.0). Section was blocked with 10% normal goat serum 30min at RT. Then primary antibody (1% BSA) was incubated at 4°C overnight. The primary is detected by a biotinylated secondary antibody and visualized using an HRP conjugated SP system.
-
Immunofluorescence staining of A549 cells with CSB-PA764687LA01HU at 1:33, counter-stained with DAPI. The cells were fixed in 4% formaldehyde, permeabilized using 0.2% Triton X-100 and blocked in 10% normal Goat Serum. The cells were then incubated with the antibody overnight at 4°C. The secondary antibody was Alexa Fluor 488-congugated AffiniPure Goat Anti-Rabbit IgG(H+L).
-
-
其他:
產品詳情
-
產品名稱:Rabbit anti-Homo sapiens (Human) TTI2 Polyclonal antibody
-
Uniprot No.:
-
基因名:TTI2
-
別名:C8orf41 antibody; CH041_HUMAN antibody; TELO2 interacting protein 2provided antibody; TTI2 antibody; Uncharacterized protein C8orf41 antibody
-
宿主:Rabbit
-
反應種屬:Human, Rat
-
免疫原:Recombinant Human TELO2-interacting protein 2 protein (159-264AA)
-
免疫原種屬:Homo sapiens (Human)
-
標記方式:Non-conjugated
本頁面中的產品,TTI2 Antibody (CSB-PA764687LA01HU),的標記方式是Non-conjugated。對于TTI2 Antibody,我們還提供其他標記。見下表:
-
克隆類型:Polyclonal
-
抗體亞型:IgG
-
純化方式:>95%, Protein G purified
-
濃度:It differs from different batches. Please contact us to confirm it.
-
保存緩沖液:Preservative: 0.03% Proclin 300
Constituents: 50% Glycerol, 0.01M PBS, pH 7.4 -
產品提供形式:Liquid
-
應用范圍:ELISA, WB, IHC, IF
-
推薦稀釋比:
Application Recommended Dilution WB 1:500-1:5000 IHC 1:20-1:200 IF 1:20-1:200 -
Protocols:
-
儲存條件:Upon receipt, store at -20°C or -80°C. Avoid repeated freeze.
-
貨期:Basically, we can dispatch the products out in 1-3 working days after receiving your orders. Delivery time maybe differs from different purchasing way or location, please kindly consult your local distributors for specific delivery time.
-
用途:For Research Use Only. Not for use in diagnostic or therapeutic procedures.
相關產品
靶點詳情
-
功能:Regulator of the DNA damage response (DDR). Part of the TTT complex that is required to stabilize protein levels of the phosphatidylinositol 3-kinase-related protein kinase (PIKK) family proteins. The TTT complex is involved in the cellular resistance to DNA damage stresses, like ionizing radiation (IR), ultraviolet (UV) and mitomycin C (MMC). Together with the TTT complex and HSP90 may participate in the proper folding of newly synthesized PIKKs.
-
基因功能參考文獻:
- The findings emphasises the role of the TTI2 gene in the etiology of intellectual disability. PMID: 23956177
- TTI1 and TTI2 protect cells from spontaneous DNA damage, and are required for the establishment of the intra-S and G2/M checkpoint. PMID: 20810650
-
相關疾病:Mental retardation, autosomal recessive 39 (MRT39)
-
蛋白家族:TTI2 family
-
數據庫鏈接:
Most popular with customers
-
-
YWHAB Recombinant Monoclonal Antibody
Applications: ELISA, WB, IHC, IF, FC
Species Reactivity: Human, Mouse, Rat
-
Phospho-YAP1 (S127) Recombinant Monoclonal Antibody
Applications: ELISA, WB, IHC
Species Reactivity: Human
-
-
-
-
-















