TSEN15 Antibody
-
中文名稱:TSEN15兔多克隆抗體
-
貨號:CSB-PA840989LA01HU
-
規格:¥440
-
圖片:
-
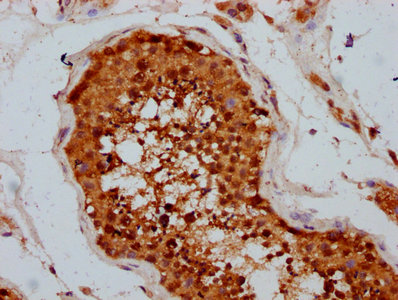
IHC image of CSB-PA840989LA01HU diluted at 1:400 and staining in paraffin-embedded human testis tissue performed on a Leica BondTM system. After dewaxing and hydration, antigen retrieval was mediated by high pressure in a citrate buffer (pH 6.0). Section was blocked with 10% normal goat serum 30min at RT. Then primary antibody (1% BSA) was incubated at 4°C overnight. The primary is detected by a biotinylated secondary antibody and visualized using an HRP conjugated SP system.
-
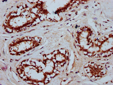
IHC image of CSB-PA840989LA01HU diluted at 1:400 and staining in paraffin-embedded human breast cancer performed on a Leica BondTM system. After dewaxing and hydration, antigen retrieval was mediated by high pressure in a citrate buffer (pH 6.0). Section was blocked with 10% normal goat serum 30min at RT. Then primary antibody (1% BSA) was incubated at 4°C overnight. The primary is detected by a biotinylated secondary antibody and visualized using an HRP conjugated SP system.
-
-
其他:
產品詳情
-
產品名稱:Rabbit anti-Homo sapiens (Human) TSEN15 Polyclonal antibody
-
Uniprot No.:
-
基因名:TSEN15
-
別名:TSEN15 antibody; C1orf19 antibody; SEN15 antibody; tRNA-splicing endonuclease subunit Sen15 antibody; SEN15 homolog antibody; HsSEN15 antibody; tRNA-intron endonuclease Sen15 antibody
-
宿主:Rabbit
-
反應種屬:Human
-
免疫原:Recombinant Human tRNA-splicing endonuclease subunit Sen15 protein (1-171AA)
-
免疫原種屬:Homo sapiens (Human)
-
標記方式:Non-conjugated
本頁面中的產品,TSEN15 Antibody (CSB-PA840989LA01HU),的標記方式是Non-conjugated。對于TSEN15 Antibody,我們還提供其他標記。見下表:
-
克隆類型:Polyclonal
-
抗體亞型:IgG
-
純化方式:>95%, Protein G purified
-
濃度:It differs from different batches. Please contact us to confirm it.
-
保存緩沖液:Preservative: 0.03% Proclin 300
Constituents: 50% Glycerol, 0.01M PBS, pH 7.4 -
產品提供形式:Liquid
-
應用范圍:ELISA, IHC
-
推薦稀釋比:
Application Recommended Dilution IHC 1:200-1:500 -
Protocols:
-
儲存條件:Upon receipt, store at -20°C or -80°C. Avoid repeated freeze.
-
貨期:Basically, we can dispatch the products out in 1-3 working days after receiving your orders. Delivery time maybe differs from different purchasing way or location, please kindly consult your local distributors for specific delivery time.
-
用途:For Research Use Only. Not for use in diagnostic or therapeutic procedures.
相關產品
靶點詳情
-
功能:Non-catalytic subunit of the tRNA-splicing endonuclease complex, a complex responsible for identification and cleavage of the splice sites in pre-tRNA. It cleaves pre-tRNA at the 5' and 3' splice sites to release the intron. The products are an intron and two tRNA half-molecules bearing 2',3' cyclic phosphate and 5'-OH termini. There are no conserved sequences at the splice sites, but the intron is invariably located at the same site in the gene, placing the splice sites an invariant distance from the constant structural features of the tRNA body. The tRNA splicing endonuclease is also involved in mRNA processing via its association with pre-mRNA 3'-end processing factors, establishing a link between pre-tRNA splicing and pre-mRNA 3'-end formation, suggesting that the endonuclease subunits function in multiple RNA-processing events.
-
基因功能參考文獻:
- results demonstrate that mutations in any known subunit of the TSEN complex can cause pontocerebellar hypoplasia and progressive microcephaly, emphasizing the importance of its function during brain development PMID: 27392077
- A candidate SNP associated with the tRNA-splicing protein gene TSEN15 was independently associated with the risk of atrial fibrillation. PMID: 24944287
-
相關疾病:Pontocerebellar hypoplasia 2F (PCH2F)
-
亞細胞定位:Nucleus. Nucleus, nucleolus.
-
蛋白家族:SEN15 family
-
組織特異性:Widely expressed. Highly expressed in testis and uterus.
-
數據庫鏈接:
Most popular with customers
-
-
YWHAB Recombinant Monoclonal Antibody
Applications: ELISA, WB, IHC, IF, FC
Species Reactivity: Human, Mouse, Rat
-
Phospho-YAP1 (S127) Recombinant Monoclonal Antibody
Applications: ELISA, WB, IHC
Species Reactivity: Human
-
-
-
-
-















