TRPC6 Antibody
-
中文名稱:TRPC6兔多克隆抗體
-
貨號:CSB-PA215862
-
規格:¥1100
-
圖片:
-
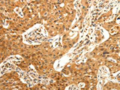
The image on the left is immunohistochemistry of paraffin-embedded Human liver cancer tissue using CSB-PA215862(TRPC6 Antibody) at dilution 1/50, on the right is treated with synthetic peptide. (Original magnification: ×200)
-
The image on the left is immunohistochemistry of paraffin-embedded Human lung cancer tissue using CSB-PA215862(TRPC6 Antibody) at dilution 1/50, on the right is treated with synthetic peptide. (Original magnification: ×200)
-
-
其他:
產品詳情
-
Uniprot No.:
-
基因名:
-
別名:bZ1P14.9 antibody; FLJ11098 antibody; FLJ14863 antibody; FSGS2 antibody; MTRP6 antibody; Short transient receptor potential channel 6 antibody; si:rp71-1p14.9 antibody; Transient receptor potential cation channel subfamily C member 6 antibody; Transient receptor protein 6 antibody; TRP 6 antibody; TRP-6 antibody; TRP6 antibody; TRPC 6 antibody; Trpc6 antibody; TRPC6_HUMAN antibody; TRRP6 antibody
-
宿主:Rabbit
-
反應種屬:Human
-
免疫原:Synthetic peptide of Human TRPC6
-
免疫原種屬:Homo sapiens (Human)
-
標記方式:Non-conjugated
-
抗體亞型:IgG
-
純化方式:Antigen affinity purification
-
濃度:It differs from different batches. Please contact us to confirm it.
-
保存緩沖液:-20°C, pH7.4 PBS, 0.05% NaN3, 40% Glycerol
-
產品提供形式:Liquid
-
應用范圍:ELISA,IHC
-
推薦稀釋比:
Application Recommended Dilution ELISA 1:3000-1:10000 IHC 1:50-1:200 -
Protocols:
-
儲存條件:Upon receipt, store at -20°C or -80°C. Avoid repeated freeze.
-
貨期:Basically, we can dispatch the products out in 1-3 working days after receiving your orders. Delivery time maybe differs from different purchasing way or location, please kindly consult your local distributors for specific delivery time.
-
用途:For Research Use Only. Not for use in diagnostic or therapeutic procedures.
相關產品
靶點詳情
-
功能:Thought to form a receptor-activated non-selective calcium permeant cation channel. Probably is operated by a phosphatidylinositol second messenger system activated by receptor tyrosine kinases or G-protein coupled receptors. Activated by diacylglycerol (DAG) in a membrane-delimited fashion, independently of protein kinase C. Seems not to be activated by intracellular calcium store depletion.
-
基因功能參考文獻:
- TRPC6 was upregulated in Diabetic nephropathy and could promote cell proliferation and inflammation by inhibiting the NFAT signaling pathway in tubular epithelial cells. PMID: 29288897
- Changes in podocyte TRPC channels evoked by plasma and sera from patients with recurrent FSGS and by putative glomerular permeability factors. PMID: 28629718
- Confirmed serine 14 as a target of MAPKs and proline-directed kinases like cyclin-dependent kinase 5 (Cdk5) in cell-based as well as in vitro kinase assays and quantitative phosphoproteomic analysis of TRPC6. Phosphorylation of TRPC6 at serine 14 enhances channel conductance by boosting membrane expression of TRPC6, whereas protein stability and multimerization of TRPC6 are not altered. PMID: 28877958
- Reduction of TRPC6 activity, using either TRPC6 siRNA or a TRPC6 blocker, led to inhibition of hypoxia-induced autophagy, while enhancement of TRPC6 activity with a TRPC6 activator resulted in increased hypoxia-induced autophagy. PMID: 30078002
- axonal colocalization of TRPV4 and TRPC6 was found in the digital Meissner corpuscles PMID: 27874267
- Data suggest that TRPC6-mediated elevation of intracellular Ca2+ stimulates non-small cell lung cancer proliferation by promoting cell cycle progression. PMID: 28030826
- potential implications of transient receptor potential (TRP) channels in the pathogenesis of intestinal fibrosis, since they are known to act as cellular stress sensors/transducers affecting intracellular Ca(2+) homeostasis/dynamics, and are involved in a broad spectrum of cell pathophysiology including inflammation and tissue remodeling. PMID: 27818466
- Studies provide evidence that the TRPC6-mediated signaling pathway in kidney cells is under control of reactive oxygen species under both physiological and pathological conditions. [review] PMID: 26937558
- Functional interaction of upregulated CaSR and upregulated TRPC6 in pulmonary artery smooth muscle cells from idiopathic pulmonary arterial hypertension patients may play an important role in the development and progression of sustained pulmonary vasoconstriction and pulmonary vascular remodeling. PMID: 26968768
- Our comprehensive analysis of human disease-causing TRPC6 mutations reveals loss of TRPC6 function as an additional concept of hereditary focal segmental glomerulosclerosis and provides molecular insights into the mechanism responsible for the loss-of-function phenotype of TRPC6 G757D in humans PMID: 26892346
- study demonstrated that the various mechanisms regulating MDR in HCC cells are calcium dependent through the TRPC6/calcium/STAT3 pathway. We propose that targeting TRPC6 in HCC may be a novel antineoplastic strategy, especially combined with chemotherapy PMID: 27011063
- n response to stretching (20%), ATP was released only from the foremost cells at the wound edge; it then diffused to the cells behind the wound edge and activated the P2Y receptors, which caused propagating Ca(2+) waves via TRPC6 PMID: 28210627
- Data suggest that targeted manipulation of protein kinase C isoforms PKCalpha, PKCbeta, and PKCeta might be beneficial in certain proteinuric kidney diseases with altered transient receptor potential cation channel subfamily C member 6 protein (TRPC6) functions. PMID: 26404773
- Insulin increases the expression of TRPC6 channels in podocytes by activation of the calcineurin-dependent pathway. PMID: 26849622
- This study described the expression and functional relevance of TRPC6 in the pathophysiology of HK-2 cell following ischemia reperfusion. PMID: 26913924
- Genetic Interactions Between TRPC6 and NPHS1 Variants Affect Posttransplant Risk of Recurrent Focal Segmental Glomerulosclerosis. PMID: 26147534
- These findings suggest that lysoPC induces CaM phosphorylation at Tyr(99) by a Src family kinase and that phosphorylated CaM activates PI3K to produce PIP3, which promotes TRPC6 translocation to the cell membrane. PMID: 26858457
- This study demonstrated that TRPC6 reduction or haploinsufficiency leads to altered neuronal development, morphology and function. PMID: 25385366
- TRPC6 specifically interacts with APP leading to inhibition of its cleavage by gamma-secretase and reduction in Abeta production. PMID: 26581893
- results suggest that TRPC6 regulates metabolism to affect HIF-1alpha stability and consequent glucose metabolism in human glioma cells under hypoxia PMID: 26187851
- the transient receptor potential canonical-6 (TRPC6) calcium-permeable channel in the alveolar macrophages also functions to shunt the transmembrane potential generated by proton pumping. PMID: 26604306
- TRPC6 genetic variants are promising candidate predictors of nervous system involvement in systemic lupus erythematosus PMID: 26531690
- Selectively activating endothelial TRPC6 rescues transendothelial migration PMID: 26392222
- TRPC6 plays a prominent role in thrombin-evoked delta-granule platelet exocytosis and calcium mobilization. PMID: 26386308
- This study seems to suggest that c.1-361A > T, c.1-254C > G and c.1-218C > T polymorphisms in TRPC6 gene and c.1166A > C polymorphism in AGTR1 could have a role in the development of this disease. PMID: 25603901
- distribution and activity of TRPC6 can be regulated by cardiotonic steroids like ouabain and the naturally occurring peptide Abeta(1-40) which underlines the pathophysiological significance of these processes. PMID: 26348127
- mutation at N157T can lead to alteration in glycation whereas mutation at A404V was present at a ligand binding site PMID: 26127002
- these findings provide strong evidence for a role of immunophilins, including FKBP25 and FKBP38, in NCCE mediated by TRPC6. PMID: 26239116
- TRPC6 polymorphisms do not affect susceptibility to, or clinical outcomes of idiopathic membranous nephropathy. PMID: 25019165
- Exogenous H2O2 does not induce oxidative stress due to rapid degradation to produce O2 in the podocytes, but the oxygenated podocytes become sensitive to acute ethanol challenge and undergo apoptosis via a TRPC6-dependent elevation of intracellular Ca2+. PMID: 25601712
- Renal ischemia-reperfusion injury induced podocyte effacement and the upregulation of TRPC6 mRNA and protein expression. In in vitro experiments, oxygen glucose deprivation (OGD) treatment enhanced the expression of TRPC6 and TRPC6-dependent Ca2+ influx. PMID: 25896763
- a new pathway for TRPC6 activation by Phospholipase C epsilon PMID: 25521631
- TRPC6 activation and inactivation are regulated by PI(4,5)P2 hydrolysis. PMID: 24470487
- Studied the expression of TRPC6 among prostate cancer cells; experimental results showed that the overexpression of TRPC6 could promote the invasion ability of PC3 prostate cancer cells. PMID: 24418082
- High glucose modifies TRPC6 channels and ROS production via SDC-4 in human podocytes. PMID: 24942878
- the TRPC6 activation mainly occurs at lipid rafts, which is regulated by the mechanical cues of surrounding materials. PMID: 24397990
- -254C>G, a SNP underlying enhanced TRPC6 transcription and expression, may be correlated with the development of steroid resistance in Chinese children with idiopathic nephrotic syndrome. PMID: 23999069
- TRPC6 mechanical activation and activation evoked by DAG/ATP occur through distinct biophysical mechanisms, and provide support for the hypothesis that protein complexes containing wild-type TRPC6 subunits can be intrinsically mechanosensitive. PMID: 24598806
- High expression of TRPC6 mRNA was associated with the higher pT status. PMID: 23686700
- Expression of TRPC6 is markedly increased in renal cell carcinoma specimens and plays an important role in tumor cell proliferation. PMID: 23700295
- The triple mutation Arg852/Lys859/Arg860 exhibited significant disruption of the binding of S100A1 to TRPC6 implicating their involvement in the binding site. PMID: 23671622
- TRPC6 gain-of-function mutation is associated with late-onset focal segmental glomerulosclerosis. PMID: 23291369
- Increasing expression levels of the transient receptor potential cation channel 6 gene in the blood accompanies chronic elevation of intraocular pressure in primary open-angle glaucoma and may serve as a genetic biomarker PMID: 23566105
- Mutations of TRPC6 and ACTN4 occur in only a minor portion of Chinese familial familial focal segmental glomerulosclerosis patients. PMID: 23689571
- A novel frame shift mutation in TRPC6, D873fsX878 was found in a family with podocytopathy. PMID: 23663351
- ANP attenuates the inflammatory actions of histamine via endothelial GC-A/cGMP/cGKI signaling and inhibitory phosphorylation of TRPC6 channels. PMID: 23814119
- Data indicate that expression of mutant TRPC6 induces ERK1/2 activation via both cell-autonomous and non-cell-autonomous mechanisms. PMID: 23645677
- data show that TRPC6 is likely to be a target for 11q21-22.2 amplification that confers enhanced invasive behavior to head and neck squamous cell carcinomas cells. PMID: 23497198
- this paper defines a specific role of TRPC6 channels in CXCR2-induced intermediary chemotaxis. In particular, TRPC6-mediated supply of calcium appears to be critical for activation of downstream signaling components. PMID: 23636057
- an important role of NF-kappaB in a negative regulation of TRPC6 expression at the gene transcription level in kidney cells. PMID: 23525112
顯示更多
收起更多
-
相關疾?。?/div>Focal segmental glomerulosclerosis 2 (FSGS2)亞細胞定位:Cell membrane; Multi-pass membrane protein.蛋白家族:Transient receptor (TC 1.A.4) family, STrpC subfamily, TRPC6 sub-subfamily組織特異性:Expressed primarily in placenta, lung, spleen, ovary and small intestine. Expressed in podocytes and is a component of the glomerular slit diaphragm.數據庫鏈接:
Most popular with customers
-
-
Phospho-YAP1 (S127) Recombinant Monoclonal Antibody
Applications: ELISA, WB, IHC
Species Reactivity: Human
-
-
-
-
-
-















