TRIP4 Antibody
-
中文名稱:TRIP4兔多克隆抗體
-
貨號:CSB-PA193346
-
規格:¥1100
-
圖片:
-
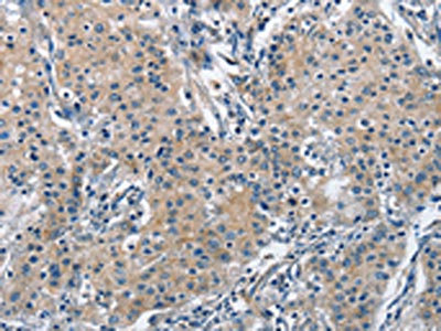
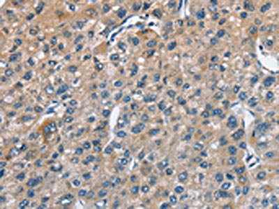
The image on the left is immunohistochemistry of paraffin-embedded Human liver cancer tissue using CSB-PA193346(TRIP4 Antibody) at dilution 1/50, on the right is treated with fusion protein. (Original magnification: ×200)
-
The image on the left is immunohistochemistry of paraffin-embedded Human gastric cancer tissue using CSB-PA193346(TRIP4 Antibody) at dilution 1/50, on the right is treated with fusion protein. (Original magnification: ×200)
-
Gel: 6%SDS-PAGE, Lysate: 40 μg, Lane: A431 cells, Primary antibody: CSB-PA193346(TRIP4 Antibody) at dilution 1/400, Secondary antibody: Goat anti rabbit IgG at 1/8000 dilution, Exposure time: 10 seconds
-
-
其他:
產品詳情
-
Uniprot No.:
-
基因名:TRIP4
-
別名:Activating signal cointegrator 1 antibody; ASC 1 antibody; ASC-1 antibody; HsT17391 antibody; Thyroid hormone receptor interactor 4 antibody; Thyroid receptor interacting protein 4 antibody; Thyroid receptor-interacting protein 4 antibody; TR-interacting protein 4 antibody; TRIP 4 antibody; TRIP-4 antibody; Trip4 antibody; TRIP4_HUMAN antibody; ZC2HC5 antibody; Zinc finger C2HC5 type antibody
-
宿主:Rabbit
-
反應種屬:Human,Mouse
-
免疫原:Fusion protein of Human TRIP4
-
免疫原種屬:Homo sapiens (Human)
-
標記方式:Non-conjugated
-
抗體亞型:IgG
-
純化方式:Antigen affinity purification
-
濃度:It differs from different batches. Please contact us to confirm it.
-
保存緩沖液:-20°C, pH7.4 PBS, 0.05% NaN3, 40% Glycerol
-
產品提供形式:Liquid
-
應用范圍:ELISA,WB,IHC
-
推薦稀釋比:
Application Recommended Dilution ELISA 1:2000-1:5000 WB 1:500-1:2000 IHC 1:25-1:100 -
Protocols:
-
儲存條件:Upon receipt, store at -20°C or -80°C. Avoid repeated freeze.
-
貨期:Basically, we can dispatch the products out in 1-3 working days after receiving your orders. Delivery time maybe differs from different purchasing way or location, please kindly consult your local distributors for specific delivery time.
-
用途:For Research Use Only. Not for use in diagnostic or therapeutic procedures.
相關產品
靶點詳情
-
功能:Transcription coactivator which associates with nuclear receptors, transcriptional coactivators including EP300, CREBBP and NCOA1, and basal transcription factors like TBP and TFIIA to facilitate nuclear receptors-mediated transcription. May thereby play an important role in establishing distinct coactivator complexes under different cellular conditions. Plays a role in thyroid hormone receptor and estrogen receptor transactivation. Also involved in androgen receptor transactivation. Plays a pivotal role in the transactivation of NF-kappa-B, SRF and AP1. Acts as a mediator of transrepression between nuclear receptor and either AP1 or NF-kappa-B. May play a role in the development of neuromuscular junction. May play a role in late myogenic differentiation. Also functions as part of the RQC trigger (RQT) complex that activates the ribosome quality control (RQC) pathway, a pathway that degrades nascent peptide chains during problematic translation.
-
基因功能參考文獻:
- Reports reveal the first TRIP4 mutation defining a novel form of congenital muscle disease and establish the importance of ASC-1 in human skeletal muscle, identify transcriptional co-regulation as novel pathophysiological pathway, define ASC-1 as a regulator of late myogenic differentiation and suggest defects in myotube growth as a novel myopathic mechanism. PMID: 27008887
- GWAS in a large Spanish sample identifies TRIP4 (rs74615166) as a significant locus for Alzheimer's disease risk. PMID: 24495969
- Gastrin activates paracrine networks leading to induction of PAI-2 via MAZ and ASC-1. PMID: 19074642
-
相關疾病:Spinal muscular atrophy with congenital bone fractures 1 (SMABF1); Muscular dystrophy, congenital, Davignon-Chauveau type (MDCDC)
-
亞細胞定位:Nucleus. Cytoplasm, cytosol. Cytoplasm, cytoskeleton, microtubule organizing center, centrosome.
-
數據庫鏈接:
Most popular with customers
-
-
YWHAB Recombinant Monoclonal Antibody
Applications: ELISA, WB, IHC, IF, FC
Species Reactivity: Human, Mouse, Rat
-
Phospho-YAP1 (S127) Recombinant Monoclonal Antibody
Applications: ELISA, WB, IHC
Species Reactivity: Human
-
-
-
-
-















