TRIP12 Antibody
-
中文名稱:TRIP12兔多克隆抗體
-
貨號:CSB-PA617924ESR2HU
-
規格:¥440
-
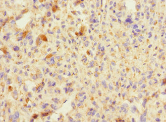
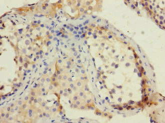
圖片:
-
其他:
產品詳情
-
產品名稱:Rabbit anti-Homo sapiens (Human) TRIP12 Polyclonal antibody
-
Uniprot No.:
-
基因名:
-
別名:TRIP12 antibody; KIAA0045 antibody; ULF antibody; E3 ubiquitin-protein ligase TRIP12 antibody; EC 2.3.2.26 antibody; E3 ubiquitin-protein ligase for Arf antibody; ULF antibody; HECT-type E3 ubiquitin transferase TRIP12 antibody; Thyroid receptor-interacting protein 12 antibody; TR-interacting protein 12 antibody; TRIP-12 antibody
-
宿主:Rabbit
-
反應種屬:Human
-
免疫原:Recombinant Human E3 ubiquitin-protein ligase TRIP12 protein (1-240AA)
-
免疫原種屬:Homo sapiens (Human)
-
標記方式:Non-conjugated
-
克隆類型:Polyclonal
-
抗體亞型:IgG
-
純化方式:Antigen Affinity Purified
-
濃度:It differs from different batches. Please contact us to confirm it.
-
保存緩沖液:PBS with 0.02% sodium azide, 50% glycerol, pH7.3.
-
產品提供形式:Liquid
-
應用范圍:ELISA, IHC
-
推薦稀釋比:
Application Recommended Dilution IHC 1:20-1:200 -
Protocols:
-
儲存條件:Upon receipt, store at -20°C or -80°C. Avoid repeated freeze.
-
貨期:Basically, we can dispatch the products out in 1-3 working days after receiving your orders. Delivery time maybe differs from different purchasing way or location, please kindly consult your local distributors for specific delivery time.
-
用途:For Research Use Only. Not for use in diagnostic or therapeutic procedures.
相關產品
靶點詳情
-
功能:E3 ubiquitin-protein ligase involved in ubiquitin fusion degradation (UFD) pathway and regulation of DNA repair. Part of the ubiquitin fusion degradation (UFD) pathway, a process that mediates ubiquitination of protein at their N-terminus, regardless of the presence of lysine residues in target proteins. Acts as a key regulator of DNA damage response by acting as a suppressor of RNF168, an E3 ubiquitin-protein ligase that promotes accumulation of 'Lys-63'-linked histone H2A and H2AX at DNA damage sites, thereby acting as a guard against excessive spreading of ubiquitinated chromatin at damaged chromosomes. In normal cells, mediates ubiquitination and degradation of isoform p19ARF/ARF of CDKN2A, a lysine-less tumor suppressor required for p53/TP53 activation under oncogenic stress. In cancer cells, however, isoform p19ARF/ARF and TRIP12 are located in different cell compartments, preventing isoform p19ARF/ARF ubiquitination and degradation. Does not mediate ubiquitination of isoform p16-INK4a of CDKN2A. Also catalyzes ubiquitination of NAE1 and SMARCE1, leading to their degradation. Ubiquitination and degradation of target proteins is regulated by interaction with proteins such as MYC, TRADD or SMARCC1, which disrupt the interaction between TRIP12 and target proteins. Mediates ubiquitination of ASXL1: following binding to N(6)-methyladenosine methylated DNA, ASXL1 is ubiquitinated by TRIP12, leading to its degradation and subsequent inactivation of the PR-DUB complex.
-
基因功能參考文獻:
- p16 overexpression led to downregulation of TRIP12, which in turn led to increased RNF168 levels, repressed DNA damage repair (DDR), increased 53BP1 foci and enhanced radioresponsiveness. PMID: 27425591
- We describe the TRIP12-associated phenotype, showing that TRIP12 is a risk gene for non-syndromic intellectual disability with and without autism spectrum disorder, and that TRIP12 mutation carriers present with a broad phenotypic range within the neurodevelopmental phenotypes. PMID: 27848077
- nine presented pathogenic variants further document that TRIP12 haploinsufficiency causes a childhood-onset neurodevelopmental disorder PMID: 28251352
- Data indicate that E3 ubiquitin ligase thyroid hormone receptor-interacting protein 12 (TRIP12) promotes proteasomal degradation of pancreas transcription factor 1a (PTF1a)and regulates PTF1a activities. PMID: 25355311
- An exon3-skipping event in TRIP12 was detected in acute myeloid leukemia patients at remission PMID: 24961348
- HUWE1 and TRIP12 collaborate in degradation of ubiquitin-fusion proteins and misframed ubiquitin. PMID: 23209776
- Study shows that TRIP12 and UBR5, two HECT domain ubiquitin E3 ligases, control accumulation of RNF168, a rate-limiting component of a pathway that ubiquitylates histones after DNA breakage. PMID: 22884692
- data indicate that TRADD shuttles dynamically from the cytoplasm into the nucleus to modulate the interaction between p19(Arf) and its E3 ubiquitin ligase ULF, thereby promoting p19(Arf) protein stability and tumour suppression PMID: 22561347
- ULF is a bona fide E3 ligase for ARF and also suggest that ULF is an important target for activating the ARF-p53 axis in human acute myeloid leukaemia cells. PMID: 20699639
- Data show that the mechanism of BAF155-mediated stabilization of BAF57 involves blocking its ubiquitination by preventing interaction with TRIP12. PMID: 20829358
- TRIP12 promotes degradation of APP-BP1 by catalyzing its ubiquitination, which in turn modulates the neddylation pathway. PMID: 18627766
- The HECT domain of TRIP12 ubiquitinates substrates of the ubiquitin fusion degradation pathway. PMID: 19028681
顯示更多
收起更多
-
亞細胞定位:Nucleus, nucleoplasm.
-
蛋白家族:UPL family, K-HECT subfamily
-
數據庫鏈接:
Most popular with customers
-
-
YWHAB Recombinant Monoclonal Antibody
Applications: ELISA, WB, IHC, IF, FC
Species Reactivity: Human, Mouse, Rat
-
Phospho-YAP1 (S127) Recombinant Monoclonal Antibody
Applications: ELISA, WB, IHC
Species Reactivity: Human
-
-
-
-
-















