TRIM9 Antibody
-
中文名稱:TRIM9兔多克隆抗體
-
貨號:CSB-PA880153LA01HU
-
規格:¥440
-
圖片:
-
其他:
產品詳情
-
產品名稱:Rabbit anti-Homo sapiens (Human) TRIM9 Polyclonal antibody
-
Uniprot No.:
-
基因名:TRIM9
-
別名:TRIM9 antibody; KIAA0282 antibody; RNF91 antibody; E3 ubiquitin-protein ligase TRIM9 antibody; EC 2.3.2.27 antibody; RING finger protein 91 antibody; RING-type E3 ubiquitin transferase TRIM9 antibody; Tripartite motif-containing protein 9 antibody
-
宿主:Rabbit
-
反應種屬:Human
-
免疫原:Recombinant Human E3 ubiquitin-protein ligase TRIM9 protein (1-550AA)
-
免疫原種屬:Homo sapiens (Human)
-
標記方式:Non-conjugated
本頁面中的產品,TRIM9 Antibody (CSB-PA880153LA01HU),的標記方式是Non-conjugated。對于TRIM9 Antibody,我們還提供其他標記。見下表:
-
克隆類型:Polyclonal
-
抗體亞型:IgG
-
純化方式:>95%, Protein G purified
-
濃度:It differs from different batches. Please contact us to confirm it.
-
保存緩沖液:Preservative: 0.03% Proclin 300
Constituents: 50% Glycerol, 0.01M PBS, PH 7.4 -
產品提供形式:Liquid
-
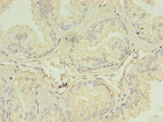
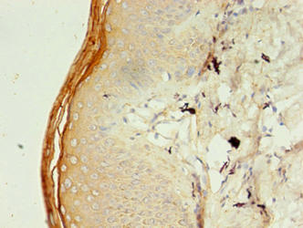
應用范圍:ELISA, IHC
-
推薦稀釋比:
Application Recommended Dilution IHC 1:20-1:200 -
Protocols:
-
儲存條件:Upon receipt, store at -20°C or -80°C. Avoid repeated freeze.
-
貨期:Basically, we can dispatch the products out in 1-3 working days after receiving your orders. Delivery time maybe differs from different purchasing way or location, please kindly consult your local distributors for specific delivery time.
-
用途:For Research Use Only. Not for use in diagnostic or therapeutic procedures.
相關產品
靶點詳情
-
功能:E3 ubiquitin-protein ligase which ubiquitinates itself in cooperation with an E2 enzyme UBE2D2/UBC4 and serves as a targeting signal for proteasomal degradation. May play a role in regulation of neuronal functions and may also participate in the formation or breakdown of abnormal inclusions in neurodegenerative disorders. May act as a regulator of synaptic vesicle exocytosis by controlling the availability of SNAP25 for the SNARE complex formation.
-
基因功能參考文獻:
- TRIM9s undergoes Lys-63-linked auto-polyubiquitination and serves as a platform to bridge GSK3beta to TBK1, leading to the activation of IRF3 signaling. PMID: 26915459
- Authors demonstrate that tripartite motif protein 9 (TRIM9)-dependent ubiquitination of DCC blocks the interaction with and phosphorylation of FAK. PMID: 28701345
- TRIM9 is a brain-specific negative regulator of the NF-kappaB pro-inflammatory signalling pathway. PMID: 25190485
- These results suggest that TRIM9 plays an important role in the regulation of neuronal functions and participates in pathological process of Lewy body disease through its ligase activity. PMID: 20085810
-
亞細胞定位:Cytoplasm. Cell projection, dendrite. Cytoplasmic vesicle, secretory vesicle, synaptic vesicle. Cell junction, synapse. Cytoplasm, cytoskeleton.
-
蛋白家族:TRIM/RBCC family
-
組織特異性:Brain. Highly expressed in the cerebral cortex (at protein level). Severely decreased in the affected brain areas in Parkinson disease and dementia with Lewy bodies.
-
數據庫鏈接:
Most popular with customers
-
Phospho-YAP1 (S127) Recombinant Monoclonal Antibody
Applications: ELISA, WB, IHC
Species Reactivity: Human
-
-
-
-
-
-
-















