TRIM71 Antibody
-
中文名稱:TRIM71兔多克隆抗體
-
貨號:CSB-PA652403LA01HU
-
規格:¥440
-
圖片:
-
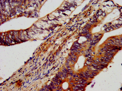
IHC image of CSB-PA652403LA01HU diluted at 1:600 and staining in paraffin-embedded human colon cancer performed on a Leica BondTM system. After dewaxing and hydration, antigen retrieval was mediated by high pressure in a citrate buffer (pH 6.0). Section was blocked with 10% normal goat serum 30min at RT. Then primary antibody (1% BSA) was incubated at 4°C overnight. The primary is detected by a biotinylated secondary antibody and visualized using an HRP conjugated SP system.
-
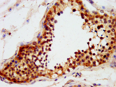
IHC image of CSB-PA652403LA01HU diluted at 1:600 and staining in paraffin-embedded human testis tissue performed on a Leica BondTM system. After dewaxing and hydration, antigen retrieval was mediated by high pressure in a citrate buffer (pH 6.0). Section was blocked with 10% normal goat serum 30min at RT. Then primary antibody (1% BSA) was incubated at 4°C overnight. The primary is detected by a biotinylated secondary antibody and visualized using an HRP conjugated SP system.
-
-
其他:
產品詳情
-
產品名稱:Rabbit anti-Homo sapiens (Human) TRIM71 Polyclonal antibody
-
Uniprot No.:
-
基因名:TRIM71
-
別名:2610206G21Rik antibody; Abnormal cell LINeage LIN 41 antibody; AL022943 antibody; E3 ubiquitin-protein ligase TRIM71 antibody; Gm1127 antibody; Homolog of C. elegans Lin 41 antibody; LIN 41 antibody; LIN41 antibody; LIN41_HUMAN antibody; mlin 41 antibody; Protein lin 41 homolog antibody; Protein lin-41 homolog antibody; RGD1566388 antibody; Ripply2 antibody; TRIM 71 antibody; TRIM71 antibody; Tripartite motif containing 71 antibody; Tripartite motif-containing protein 71 antibody
-
宿主:Rabbit
-
反應種屬:Human
-
免疫原:Recombinant Human E3 ubiquitin-protein ligase TRIM71 protein (125-209AA)
-
免疫原種屬:Homo sapiens (Human)
-
標記方式:Non-conjugated
本頁面中的產品,TRIM71 Antibody (CSB-PA652403LA01HU),的標記方式是Non-conjugated。對于TRIM71 Antibody,我們還提供其他標記。見下表:
-
克隆類型:Polyclonal
-
抗體亞型:IgG
-
純化方式:>95%, Protein G purified
-
濃度:It differs from different batches. Please contact us to confirm it.
-
保存緩沖液:Preservative: 0.03% Proclin 300
Constituents: 50% Glycerol, 0.01M PBS, pH 7.4 -
產品提供形式:Liquid
-
應用范圍:ELISA, IHC
-
推薦稀釋比:
Application Recommended Dilution IHC 1:500-1:1000 -
Protocols:
-
儲存條件:Upon receipt, store at -20°C or -80°C. Avoid repeated freeze.
-
貨期:Basically, we can dispatch the products out in 1-3 working days after receiving your orders. Delivery time maybe differs from different purchasing way or location, please kindly consult your local distributors for specific delivery time.
-
用途:For Research Use Only. Not for use in diagnostic or therapeutic procedures.
相關產品
靶點詳情
-
功能:E3 ubiquitin-protein ligase that cooperates with the microRNAs (miRNAs) machinery and promotes embryonic stem cells proliferation and maintenance (Probable). Binds to miRNAs and associates with AGO2, participating in post-transcriptional repression of transcripts such as CDKN1A. In addition, participates in post-transcriptional mRNA repression in a miRNA independent mechanism. Facilitates the G1-S transition to promote rapid embryonic stem cell self-renewal by repressing CDKN1A expression. Required to maintain proliferation and prevent premature differentiation of neural progenitor cells during early neural development: positively regulates FGF signaling by controlling the stability of SHCBP1. Specific regulator of miRNA biogenesis. Binds to miRNA MIR29A hairpin and postranscriptionally modulates MIR29A levels, which indirectly regulates TET proteins expression.
-
基因功能參考文獻:
- TRIM71 acts through post-transcriptional repression of Lin28B and subsequent modulation of let-7-HMGA2 signaling during tumorigenesis to potentially function as a tumor suppressor. PMID: 27821801
- Studies indicate most-studied TRIpartite Motif (TRIM)-NHL proteins TRIM2, TRIM3, TRIM32 and TRIM71, and their mutations have been linked to diseases. PMID: 26514622
- Consistent with the let-7 microRNA stimulatory role of TRIM71 via Lin28B polyubiquitination. PMID: 24602972
- poiopi poiopi i90iy9oyu8 PMID: 23892092
- The stem cell E3-ligase Lin-41 promotes liver cancer progression through inhibition of microRNA-mediated gene silencing. PMID: 23097274
- Trim71 cooperates with microRNAs to repress Cdkn1a expression and promote embryonic stem cell proliferation PMID: 22735451
- Repression of human TRIM71 and the zebrafish lin-41 ortholog was abolished when predicted let-7 target sites were mutated. Regulation of TRIM71 expression by let-7 seems to have been evolutionarily conserved. PMID: 17890240
顯示更多
收起更多
-
亞細胞定位:Cytoplasm, P-body.
-
蛋白家族:TRIM/RBCC family
-
組織特異性:Specifically expressed in testis.
-
數據庫鏈接:
Most popular with customers
-
YWHAB Recombinant Monoclonal Antibody
Applications: ELISA, WB, IHC, IF, FC
Species Reactivity: Human, Mouse, Rat
-
Phospho-YAP1 (S127) Recombinant Monoclonal Antibody
Applications: ELISA, WB, IHC
Species Reactivity: Human
-
-
-
-
-
-















