TRIM45 Antibody
-
中文名稱:TRIM45兔多克隆抗體
-
貨號:CSB-PA572337
-
規格:¥1100
-
圖片:
-
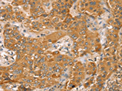
The image on the left is immunohistochemistry of paraffin-embedded Human breast cancer tissue using CSB-PA572337(TRIM45 Antibody) at dilution 1/45, on the right is treated with synthetic peptide. (Original magnification: ×200)
-
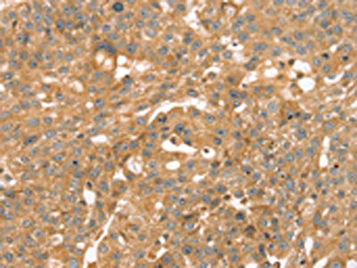
The image on the left is immunohistochemistry of paraffin-embedded Human liver cancer tissue using CSB-PA572337(TRIM45 Antibody) at dilution 1/45, on the right is treated with synthetic peptide. (Original magnification: ×200)
-
-
其他:
產品詳情
-
Uniprot No.:
-
基因名:TRIM45
-
別名:FLJ13181 antibody; RING finger protein 99 antibody; RNF99 antibody; TRI45_HUMAN antibody; TRIM45 antibody; Tripartite motif containing 45 antibody; Tripartite motif containing protein 45 antibody; Tripartite motif-containing protein 45 antibody
-
宿主:Rabbit
-
反應種屬:Human,Mouse
-
免疫原:Synthetic peptide of Human TRIM45
-
免疫原種屬:Homo sapiens (Human)
-
標記方式:Non-conjugated
-
抗體亞型:IgG
-
純化方式:Antigen affinity purification
-
濃度:It differs from different batches. Please contact us to confirm it.
-
保存緩沖液:-20°C, pH7.4 PBS, 0.05% NaN3, 40% Glycerol
-
產品提供形式:Liquid
-
應用范圍:ELISA,IHC
-
推薦稀釋比:
Application Recommended Dilution ELISA 1:2000-1:5000 IHC 1:25-1:100 -
Protocols:
-
儲存條件:Upon receipt, store at -20°C or -80°C. Avoid repeated freeze.
-
貨期:Basically, we can dispatch the products out in 1-3 working days after receiving your orders. Delivery time maybe differs from different purchasing way or location, please kindly consult your local distributors for specific delivery time.
-
用途:For Research Use Only. Not for use in diagnostic or therapeutic procedures.
相關產品
靶點詳情
-
功能:May act as a transcriptional repressor in mitogen-activated protein kinase signaling pathway.
-
基因功能參考文獻:
- These findings suggest that TRIM45 is a novel tumor suppressor that stabilizes and activates p53 in glioma. PMID: 28542145
- The TRIM-FLMN protein TRIM45 directly interacts with RACK1 and negatively regulates PKC-mediated signaling pathway. PMID: 24681954
- These findings suggest that TRIM45 acts as a repressor for the NF-kappaB signal and regulates cell growth. PMID: 22634006
- TRIM45 may act as a new transcriptional repressor in mitogen-activated protein kinase signaling pathway PMID: 15351693
-
亞細胞定位:Cytoplasm. Nucleus.
-
蛋白家族:TRIM/RBCC family
-
組織特異性:Expressed in skeletal muscle, brain, heart and pancreas.
-
數據庫鏈接:
Most popular with customers
-
-
YWHAB Recombinant Monoclonal Antibody
Applications: ELISA, WB, IHC, IF, FC
Species Reactivity: Human, Mouse, Rat
-
Phospho-YAP1 (S127) Recombinant Monoclonal Antibody
Applications: ELISA, WB, IHC
Species Reactivity: Human
-
-
-
-
-















