TRIM31 Antibody
-
中文名稱:TRIM31兔多克隆抗體
-
貨號:CSB-PA587272
-
規格:¥1100
-
圖片:
-
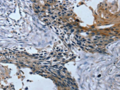
The image on the left is immunohistochemistry of paraffin-embedded Human esophagus cancer tissue using CSB-PA587272(TRIM31 Antibody) at dilution 1/20, on the right is treated with fusion protein. (Original magnification: ×200)
-
Gel: 8%SDS-PAGE, Lysate: 40 μg, Lane: Human normal kidney tissue, Primary antibody: CSB-PA587272(TRIM31 Antibody) at dilution 1/300, Secondary antibody: Goat anti rabbit IgG at 1/8000 dilution, Exposure time: 5 minutes
-
-
其他:
產品詳情
-
Uniprot No.:
-
基因名:TRIM31
-
別名:TRIM31 antibody; C6orf13 antibody; RNF antibody; E3 ubiquitin-protein ligase TRIM31 antibody; EC 2.3.2.27 antibody; RING-type E3 ubiquitin transferase TRIM31 antibody; Tripartite motif-containing protein 31 antibody
-
宿主:Rabbit
-
反應種屬:Human
-
免疫原:Fusion protein of Human TRIM31
-
免疫原種屬:Homo sapiens (Human)
-
標記方式:Non-conjugated
-
抗體亞型:IgG
-
純化方式:Antigen affinity purification
-
濃度:It differs from different batches. Please contact us to confirm it.
-
保存緩沖液:-20°C, pH7.4 PBS, 0.05% NaN3, 40% Glycerol
-
產品提供形式:Liquid
-
應用范圍:ELISA,WB,IHC
-
推薦稀釋比:
Application Recommended Dilution ELISA 1:1000-1:2000 WB 1:200-1:1000 IHC 1:10-1:50 -
Protocols:
-
儲存條件:Upon receipt, store at -20°C or -80°C. Avoid repeated freeze.
-
貨期:Basically, we can dispatch the products out in 1-3 working days after receiving your orders. Delivery time maybe differs from different purchasing way or location, please kindly consult your local distributors for specific delivery time.
-
用途:For Research Use Only. Not for use in diagnostic or therapeutic procedures.
相關產品
靶點詳情
-
功能:Regulator of Src-induced anchorage independent cell growth. May have E3 ubiquitin-protein ligase activity.
-
基因功能參考文獻:
- knockdown of TRIM31 reduced the expression of MMP2, MMP9 and phospho-Akt. PMID: 29864908
- TRIM31 could promote hepatocellular carcinoma progression by targeting TSC1-TSC2 complex for degradation and further overactivating mTORC1 pathway. PMID: 28967907
- feedback suppressor of NLRP3 inflammasome activity PMID: 27929086
- Study reports that TRIM31 plays a critical role in the formation of autolysosomes in Atg5-/-or Atg7-/- cells, thus promoting elimination of invading bacteria through an Atg5- or Atg7-independent alternative pathway in the intestinal cells. PMID: 27216961
- TRIM31 gene expression is regulated by miR-551b in ovarian cancer. PMID: 27743201
- TRIM31 directly binds to NSE4, suggesting the existence of a TRIM31-MAGEA1-NSE4 complex reminiscent of the NSE1-NSE3-NSE4 trimer. PMID: 25590999
- TRIM31 might serve as a tumor suppressor in non-small cell lung cancer. PMID: 24566900
- The cellular level of TRIM31, an RBCC protein overexpressed in gastric cancer, is regulated by multiple mechanisms including the ubiquitin-proteasome system. PMID: 21231912
- The TRIm31 gene is related to intelligence in an ADHD background. PMID: 21302343
顯示更多
收起更多
-
亞細胞定位:Cytoplasm. Mitochondrion. Note=Predominantly expressed in the cytoplasm but a fraction is associated with the mitochondria.
-
蛋白家族:TRIM/RBCC family
-
組織特異性:Up-regulated in gastric adenocarcinomas.
-
數據庫鏈接:
Most popular with customers
-
-
YWHAB Recombinant Monoclonal Antibody
Applications: ELISA, WB, IHC, IF, FC
Species Reactivity: Human, Mouse, Rat
-
Phospho-YAP1 (S127) Recombinant Monoclonal Antibody
Applications: ELISA, WB, IHC
Species Reactivity: Human
-
-
-
-
-















