TRIM3 Antibody
-
中文名稱:TRIM3兔多克隆抗體
-
貨號:CSB-PA974470
-
規格:¥1100
-
圖片:
-
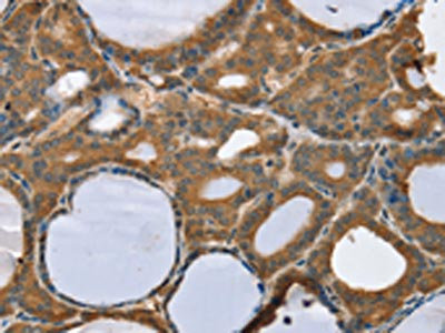
The image on the left is immunohistochemistry of paraffin-embedded Human thyroid cancer tissue using CSB-PA974470(TRIM3 Antibody) at dilution 1/45, on the right is treated with synthetic peptide. (Original magnification: ×200)
-
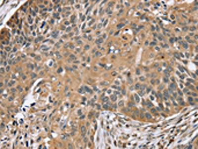
The image on the left is immunohistochemistry of paraffin-embedded Human esophagus cancer tissue using CSB-PA974470(TRIM3 Antibody) at dilution 1/45, on the right is treated with synthetic peptide. (Original magnification: ×200)
-
Gel: 6%SDS-PAGE, Lysate: 40 μg, Lane 1-2: Mouse brain tissue, human fetal brain tissue, Primary antibody: CSB-PA974470(TRIM3 Antibody) at dilution 1/200, Secondary antibody: Goat anti rabbit IgG at 1/8000 dilution, Exposure time: 10 minutes
-
-
其他:
產品詳情
-
Uniprot No.:
-
基因名:TRIM3
-
別名:BERP antibody; Brain expressed ring finger antibody; Brain-expressed RING finger protein antibody; FLJ16135 antibody; HAC1 antibody; RING finger protein 22 antibody; RING finger protein 97 antibody; RNF22 antibody; RNF97 antibody; Trim3 antibody; TRIM3_HUMAN antibody; Tripartite motif containing 3 antibody; Tripartite motif protein TRIM3 antibody; Tripartite motif-containing protein 3 antibody
-
宿主:Rabbit
-
反應種屬:Human,Mouse,Rat
-
免疫原:Synthetic peptide of Human TRIM3
-
免疫原種屬:Homo sapiens (Human)
-
標記方式:Non-conjugated
-
抗體亞型:IgG
-
純化方式:Antigen affinity purification
-
濃度:It differs from different batches. Please contact us to confirm it.
-
保存緩沖液:-20°C, pH7.4 PBS, 0.05% NaN3, 40% Glycerol
-
產品提供形式:Liquid
-
應用范圍:ELISA,WB,IHC
-
推薦稀釋比:
Application Recommended Dilution ELISA 1:2000-1:5000 WB 1:200-1:1000 IHC 1:50-1:200 -
Protocols:
-
儲存條件:Upon receipt, store at -20°C or -80°C. Avoid repeated freeze.
-
貨期:Basically, we can dispatch the products out in 1-3 working days after receiving your orders. Delivery time maybe differs from different purchasing way or location, please kindly consult your local distributors for specific delivery time.
-
用途:For Research Use Only. Not for use in diagnostic or therapeutic procedures.
相關產品
靶點詳情
-
功能:Probably involved in vesicular trafficking via its association with the CART complex. The CART complex is necessary for efficient transferrin receptor recycling but not for EGFR degradation. Positively regulates motility of microtubule-dependent motor protein KIF21B.
-
基因功能參考文獻:
- TRIM3 plays a tumor-suppressing role in the regulation of liver cancer development by reducing cell proliferation through cell cycle arrest at the G0/G1 phase. PMID: 28950898
- The results of quantitative real-time RT-PCR and western blotting showed that the TRIM3 expression was very low in five cervical cancer cell lines. The TRIM3 overexpression weakened cell viability, and promote apoptosis of C-33A and SiHa cells in vitro, and inhibit tumor growth in vivo, which suggested that TRIM3 could reduce proliferation of cervical cancer cells. PMID: 29524410
- TRIM3 exerted an anti-proliferation role in rheumatoid arthritis fibroblast-like synoviocytes via p38 signaling pathway. PMID: 28259936
- results support a novel role for Brat/TRIM3 in maintaining stem cell equilibrium and suppressing tumor growth by regulating NICD nuclear transport PMID: 26893479
- TRIM3 functions as a tumour suppressor in CRC progression. This tumour-suppressive function is exerted partially through regulation of p53 protein. PMID: 26691157
- Studies indicate most-studied TRIpartite Motif (TRIM)-NHL proteins TRIM2, TRIM3, TRIM32 and TRIM71, and their mutations have been linked to diseases. PMID: 26514622
- TRIM3 may play a significant role in hepatocellular carcinoma progression.TRIM3 is downregulated in hepatocellular carcinoma at both the mRNA and protein levels and that low TRIM3 expression is correlated with an unfavorable prognosis. PMID: 24994609
- TRIM3 acts as a tumor suppressor in GBM by restoring asymmetric cell division. PMID: 24947043
- Data indicate TRIM3 and p21 interact in cells. PMID: 23318451
- TRIM63 is a candidate for genes mediating the glucocorticoid-induced promotion of osteoblastic differentiation. PMID: 20173306
- brain-expressed RING finger protein (BERP) is a gene whose expression is up-regulated in a p53-dependent manner PMID: 20543135
- the endosome-associated protein hrs is a subunit of a protein complex containing actinin-4, BERP, and myosin V that is necessary for efficient TfR recycling but not for EGFR degradation PMID: 15772161
- Loss of heterozygosity of chromosome segment 11p15.5 in malignant gliomas suggests TRIM3 as a candidate brain tumor suppressor gene. PMID: 19250537
顯示更多
收起更多
-
亞細胞定位:Cytoplasm. Early endosome. Golgi apparatus, trans-Golgi network. Cell projection, dendrite.
-
蛋白家族:TRIM/RBCC family
-
組織特異性:Expressed in brain, heart, uterus and testis.
-
數據庫鏈接:
Most popular with customers
-
-
YWHAB Recombinant Monoclonal Antibody
Applications: ELISA, WB, IHC, IF, FC
Species Reactivity: Human, Mouse, Rat
-
Phospho-YAP1 (S127) Recombinant Monoclonal Antibody
Applications: ELISA, WB, IHC
Species Reactivity: Human
-
-
-
-
-















