TRIAP1 Antibody
-
中文名稱:TRIAP1兔多克隆抗體
-
貨號:CSB-PA024443ESR2HU
-
規格:¥440
-
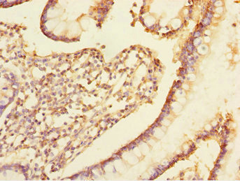
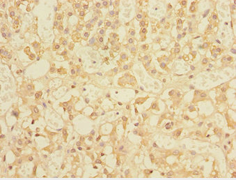
圖片:
-
其他:
產品詳情
-
產品名稱:Rabbit anti-Homo sapiens (Human) TRIAP1 Polyclonal antibody
-
Uniprot No.:
-
基因名:TRIAP1
-
別名:p53-inducible cell-survival factor antibody; p53CSV antibody; Protein 15E1.1 antibody; TP53-regulated inhibitor of apoptosis 1 antibody; TRIA1_HUMAN antibody; Triap1 antibody; WF 1 antibody; WF1 antibody
-
宿主:Rabbit
-
反應種屬:Human
-
免疫原:Recombinant Human TP53-regulated inhibitor of apoptosis 1 protein (1-76AA)
-
免疫原種屬:Homo sapiens (Human)
-
標記方式:Non-conjugated
-
克隆類型:Polyclonal
-
抗體亞型:IgG
-
純化方式:Antigen Affinity Purified
-
濃度:It differs from different batches. Please contact us to confirm it.
-
保存緩沖液:PBS with 0.02% sodium azide, 50% glycerol, pH7.3.
-
產品提供形式:Liquid
-
應用范圍:ELISA, IHC
-
推薦稀釋比:
Application Recommended Dilution IHC 1:20-1:200 -
Protocols:
-
儲存條件:Upon receipt, store at -20°C or -80°C. Avoid repeated freeze.
-
貨期:Basically, we can dispatch the products out in 1-3 working days after receiving your orders. Delivery time maybe differs from different purchasing way or location, please kindly consult your local distributors for specific delivery time.
-
用途:For Research Use Only. Not for use in diagnostic or therapeutic procedures.
相關產品
靶點詳情
-
功能:Involved in the modulation of the mitochondrial apoptotic pathway by ensuring the accumulation of cardiolipin (CL) in mitochondrial membranes. In vitro, the TRIAP1:PRELID1 complex mediates the transfer of phosphatidic acid (PA) between liposomes and probably functions as a PA transporter across the mitochondrion intermembrane space to provide PA for CL synthesis in the inner membrane. Likewise, the TRIAP1:PRELID3A complex mediates the transfer of phosphatidic acid (PA) between liposomes (in vitro) and probably functions as a PA transporter across the mitochondrion intermembrane space (in vivo). Mediates cell survival by inhibiting activation of caspase-9 which prevents induction of apoptosis.
-
基因功能參考文獻:
- TRIAP1 is regulated by miR-320b and has a role in progression in nasopharyngeal carcinoma PMID: 27428374
- Results describe the upregulation of TRIAP1 in drugresistant breast cancer cells. Its experimental modulation changed breast tumor cells sensitivity to doxorubicin, thus confirming its role in drug resistance. PMID: 25998939
- TRIAP1 is Conserved Specific Coregulators of the p21:PUMA Expression Ratio. PMID: 23684607
- Under specific conditions of stress, p53 regulates transcription of p53CSV and that p53CSV is one of the important players in the p53-mediated cell survival. PMID: 15735003
- Upregulated in at least 50% of multiple myeloma cases tested. PMID: 19171422
- HSPC132 is p53CSV, a novel p53-inducible gene involved in the p53-dependent cell-survival pathway PMID: 15735003
顯示更多
收起更多
-
亞細胞定位:Mitochondrion. Mitochondrion intermembrane space.
-
蛋白家族:TRIAP1/MDM35 family
-
數據庫鏈接:
Most popular with customers
-
-
YWHAB Recombinant Monoclonal Antibody
Applications: ELISA, WB, IHC, IF, FC
Species Reactivity: Human, Mouse, Rat
-
Phospho-YAP1 (S127) Recombinant Monoclonal Antibody
Applications: ELISA, WB, IHC
Species Reactivity: Human
-
-
-
-
-















