TRAFD1 Antibody
-
中文名稱:TRAFD1兔多克隆抗體
-
貨號:CSB-PA275058
-
規格:¥1100
-
圖片:
-
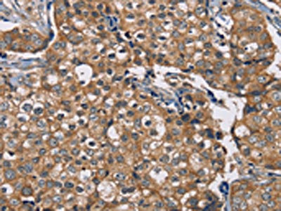
The image on the left is immunohistochemistry of paraffin-embedded Human thyroid cancer tissue using CSB-PA275058(TRAFD1 Antibody) at dilution 1/20, on the right is treated with fusion protein. (Original magnification: ×200)
-
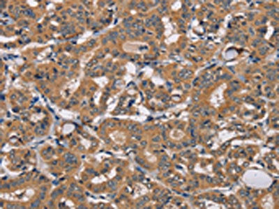
The image on the left is immunohistochemistry of paraffin-embedded Human breast cancer tissue using CSB-PA275058(TRAFD1 Antibody) at dilution 1/20, on the right is treated with fusion protein. (Original magnification: ×200)
-
-
其他:
產品詳情
-
Uniprot No.:
-
基因名:TRAFD1
-
別名:FLN29 antibody; FLN29 gene product antibody; Protein FLN29 antibody; TRAD1_HUMAN antibody; TRAF type zinc finger domain containing 1 antibody; TRAF type zinc finger domain containing protein 1 antibody; TRAF-type zinc finger domain-containing protein 1 antibody; TRAFD 1 antibody; TRAFD1 antibody
-
宿主:Rabbit
-
反應種屬:Human
-
免疫原:Fusion protein of Human TRAFD1
-
免疫原種屬:Homo sapiens (Human)
-
標記方式:Non-conjugated
-
抗體亞型:IgG
-
純化方式:Antigen affinity purification
-
濃度:It differs from different batches. Please contact us to confirm it.
-
保存緩沖液:-20°C, pH7.4 PBS, 0.05% NaN3, 40% Glycerol
-
產品提供形式:Liquid
-
應用范圍:ELISA,IHC
-
推薦稀釋比:
Application Recommended Dilution ELISA 1:1000-1:2000 IHC 1:25-1:100 -
Protocols:
-
儲存條件:Upon receipt, store at -20°C or -80°C. Avoid repeated freeze.
-
貨期:Basically, we can dispatch the products out in 1-3 working days after receiving your orders. Delivery time maybe differs from different purchasing way or location, please kindly consult your local distributors for specific delivery time.
-
用途:For Research Use Only. Not for use in diagnostic or therapeutic procedures.
相關產品
靶點詳情
-
功能:Negative feedback regulator that controls excessive innate immune responses. Regulates both Toll-like receptor 4 (TLR4) and DDX58/RIG1-like helicases (RLH) pathways. May inhibit the LTR pathway by direct interaction with TRAF6 and attenuation of NF-kappa-B activation. May negatively regulate the RLH pathway downstream from MAVS and upstream of NF-kappa-B and IRF3.
-
基因功能參考文獻:
- FLN29 is a new negative feedback regulator of TLR signaling PMID: 16221674
- FLN29, in addition to playing a negative regulatory role in the TLR4 signaling pathway, negatively regulates the RIG-I-like helicase signaling pathway at the level of IPS-1/TRAF6 and IPS-1/TRAF3 complexes PMID: 18849341
-
數據庫鏈接:
Most popular with customers
-
YWHAB Recombinant Monoclonal Antibody
Applications: ELISA, WB, IHC, IF, FC
Species Reactivity: Human, Mouse, Rat
-
Phospho-YAP1 (S127) Recombinant Monoclonal Antibody
Applications: ELISA, WB, IHC
Species Reactivity: Human
-
-
-
-
-
-















