TRAF6 Antibody
-
中文名稱:TRAF6兔多克隆抗體
-
貨號:CSB-PA024154LA01HU
-
規格:¥440
-
圖片:
-
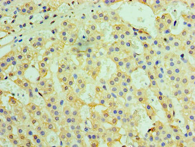
Immunohistochemistry of paraffin-embedded human liver tissue using CSB-PA024154LA01HU at dilution of 1:100
-
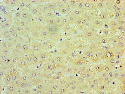
Immunohistochemistry of paraffin-embedded human adrenal gland tissue using CSB-PA024154LA01HU at dilution of 1:100
-
Immunofluorescence staining of Hela cells with CSB-PA024154LA01HU at 1:333, counter-stained with DAPI. The cells were fixed in 4% formaldehyde, permeabilized using 0.2% Triton X-100 and blocked in 10% normal Goat Serum. The cells were then incubated with the antibody overnight at 4°C. The secondary antibody was Alexa Fluor 488-congugated AffiniPure Goat Anti-Rabbit IgG(H+L).
-
-
其他:
產品詳情
-
產品名稱:Rabbit anti-Homo sapiens (Human) TRAF6 Polyclonal antibody
-
Uniprot No.:
-
基因名:
-
別名:E3 ubiquitin-protein ligase TRAF6 antibody; Interleukin 1 signal transducer antibody; Interleukin-1 signal transducer antibody; MGC 3310 antibody; MGC:3310 antibody; MGC3310 antibody; OTTHUMP00000232772 antibody; OTTHUMP00000232773 antibody; RING finger protein 85 antibody; RNF 85 antibody; RNF85 antibody; TNF receptor associated factor 6 antibody; TNF receptor-associated factor 6 antibody; TNF receptor-associated factor 6; E3 ubiquitin protein ligase antibody; TRAF 6 antibody; Traf6 antibody; TRAF6_HUMAN antibody
-
宿主:Rabbit
-
反應種屬:Human
-
免疫原:Recombinant Human TNF receptor-associated factor 6 protein (1-522AA)
-
免疫原種屬:Homo sapiens (Human)
-
標記方式:Non-conjugated
本頁面中的產品,TRAF6 Antibody (CSB-PA024154LA01HU),的標記方式是Non-conjugated。對于TRAF6 Antibody,我們還提供其他標記。見下表:
-
克隆類型:Polyclonal
-
抗體亞型:IgG
-
純化方式:>95%, Protein G purified
-
濃度:It differs from different batches. Please contact us to confirm it.
-
保存緩沖液:Preservative: 0.03% Proclin 300
Constituents: 50% Glycerol, 0.01M PBS, PH 7.4 -
產品提供形式:Liquid
-
應用范圍:ELISA, IHC, IF
-
推薦稀釋比:
Application Recommended Dilution IHC 1:20-1:200 IF 1:50-1:500 -
Protocols:
-
儲存條件:Upon receipt, store at -20°C or -80°C. Avoid repeated freeze.
-
貨期:Basically, we can dispatch the products out in 1-3 working days after receiving your orders. Delivery time maybe differs from different purchasing way or location, please kindly consult your local distributors for specific delivery time.
-
用途:For Research Use Only. Not for use in diagnostic or therapeutic procedures.
相關產品
靶點詳情
-
功能:E3 ubiquitin ligase that, together with UBE2N and UBE2V1, mediates the synthesis of 'Lys-63'-linked-polyubiquitin chains conjugated to proteins, such as IKBKG, IRAK1, AKT1 and AKT2. Also mediates ubiquitination of free/unanchored polyubiquitin chain that leads to MAP3K7 activation. Leads to the activation of NF-kappa-B and JUN. Seems to also play a role in dendritic cells (DCs) maturation and/or activation. Represses c-Myb-mediated transactivation, in B-lymphocytes. Adapter protein that seems to play a role in signal transduction initiated via TNF receptor, IL-1 receptor and IL-17 receptor. Regulates osteoclast differentiation by mediating the activation of adapter protein complex 1 (AP-1) and NF-kappa-B, in response to RANK-L stimulation. Together with MAP3K8, mediates CD40 signals that activate ERK in B-cells and macrophages, and thus may play a role in the regulation of immunoglobulin production.
-
基因功能參考文獻:
- The overexpression of miR-146a significantly increased the ErbB4 expression, decreased the expression of TRAF6, IRAK1, caspase 3, and the phosphorylation level of NF-kappaB, and also increased the Bcl-2/Bax ratio, suggesting the inhibition of inflammation and apoptosis. PMID: 30224945
- TRAF6 can promote the proliferation of stromal cells of benign prostatic hyperplasia via Akt/mTOR signaling. PMID: 29171041
- Study identified IRAK1 and TRAF6 are direct targets of miR-146a in cervical cancer cells. Their expression is downregulated by miR-146a to promote cell viability. PMID: 29693168
- Immune profiling of human prostate epithelial cells in health and pathology determined by expression of p38/TRAF-6/ERK MAP kinases pathways has been reported. PMID: 29475459
- Downregulation of miR-124 in human osteosarcoma tissues and cell lines may increase the expression of TRAF6 protein. miR-124 may inhibit cell cycle progression and invasion of osteosarcoma cells, and promote apoptosis by regulating TRAF6. PMID: 29436576
- Low TRAF6 expression is associated with posterior longitudinal ligament ossification. PMID: 29782494
- these results suggest that miR-146a-5p affects proliferation and apoptosis in a cellular context-dependent manner and selectively disarms the TRAF6-mediated branch of the TGF-beta signaling in oral squamous cell carcinoma cell lines by sparing Smad4 involvement PMID: 29048658
- MALT1 and TRAF6 cooperatively interact with CARMA1-BCL10 filaments and form CARMA1-BCL10-MALT1-TRAF6 signalosome. PMID: 29382759
- our data demonstrated that miR146b5p, as a tumor suppressor, mediated temozolomide resistance in GBM cells through negatively regulating TRAF6 expression, indicating that miR146b5p and its targeted genes would be potential therapeutic targets for glioma therapy. PMID: 29048680
- genetic association studies in Han population in southern China: Data suggest that, in subjects with type 2 diabetes, an SNP in NLRX1 (rs4245191) is associated with macro-vascular complications and cerebral infarction in the population studied; no such association was found for two other SNPs in NLRX1 (rs10790286, rs561830) or for two SNPs in TRAF6 (rs5030445, rs16928973). (NLRX1 = NLR family member-X1) PMID: 29046236
- protein-protein interaction studies on TRAF6 and BSG to get molecular level insights of the reactions. PMID: 28612997
- miR-146a suppresses the inflammatory response in human white adipocytes via targeting the expression of IRAK1 and TRAF6. PMID: 27922090
- miRNA146a expression was significantly higher in hepatitis C patients with a best cut off value 1.63 to discriminate between hepatitis C patients and healthy controls. Meanwhile, it was negatively correlated to IRAK1 and TRAF6 levels and positively correlated to viral load in hepatitis C patients. PMID: 28587864
- Suggest role for EBV-EBER1 in the induction of increased TRAF6 expression in the peripheral B cells of Sjogren's patients. PMID: 28470929
- theses results indicate that miR-146b-5p inhibits tumor growth and metastasis of hepatocellular carcinoma by targeting TRAF6 mediated Akt phosphorylation PMID: 28404923
- TRAF6 plays direct roles in the pro-inflammatory effects and proliferation of Rheumatoid arthritis (RA) fibroblast-like synoviocytes. TRAF6 may serve as a potential treatment target in RA. PMID: 28506571
- MiR-146a declined, while TRAF6 increased in lupus nephritis patients compared with healthy controls. PMID: 28549054
- Epigallocatechin-3-gallate is a novel E3 ubiquitin ligase inhibitor that could be used to target TRAF6 activity in melanoma cells, inhibiting cell proliferation/migration. PMID: 27791197
- Results identified TRAF6 as a direct target of miR-429, and its downregulation partially attenuates the effect of miR-429 in promoting hepatocellular carcinoma cell proliferation and motility. PMID: 28440423
- Compared with normal chondrocytes, the expression of miR-146a decreased, while the mRNA and protein expressions of TRAF6 and NF-kappaB increased in osteoarthritis chondrocytes. PMID: 28314786
- We report two siblings with SCID and an atypical phenotype of osteopetrosis (OP). A biallelic microdeletion encompassing the 5' region of TRAF6, RAG1 and RAG2 genes was identified. TRAF6, a tumor necrosis factor receptor-associated family member, plays an important role in T cell signaling and in RANKL-dependent osteoclast differentiation and activation but its role in human OP has not been previously reported PMID: 27808398
- Taken together, these results define a novel role for miR-146a as a negative regulator of dengue virus-induced autophagy and identify TRAF6 as a key target of this microRNA in modulating the dengue virus-autophagy interaction. PMID: 28825144
- These data define that YOD1 antagonizes TRAF6/p62-dependent IL-1 signaling to NF-kappaB. PMID: 28244869
- high expression of TRAF6 is significant for esophageal cancer progression, and TRAF6 indicates poor prognosis in esophageal cancer patients. PMID: 27697099
- the polymorphisms in TLR-MyD88-NF-kappaB signaling pathway confer genetic susceptibility to Type 2 diabetes mellitus and diabetic nephropathy. PMID: 27062898
- The E3 ligase TRAF6 binds to DCP1a and indirectly regulates DCP1a phosphorylation, expression of decapping factors, and gene-specific mRNA decay. PMID: 27315556
- Study showed that patients without a history of atrial fibrillation who develop postoperative atrial fibrillation have a higher percentage of left atrial fibrosis, increased expression of TRAF6, higher serum Ang II levels, and changes in the activities of the MAPKs/TGF-beta1/TRAF6 pathway. PMID: 28323847
- Low TRAF6 expression is associated with graft-versus-host disease. PMID: 27485827
- Consistent with cellular studies, icaritin downregulated TRAF6 and NFATc1 protein expression in CD11b(+) /Gr-1(-/low) osteoclast precursors PMID: 27813153
- Results suggest that overexpression of miR-146a could promote IDD through the TRAF/NF-kappaB pathway. PMID: 28161709
- TRAF6 and H2AX overexpression and gammaH2AX-mediated HIF1alpha enrichment in the nucleus of cancer cells lead to overactivation of HIF1alpha-driven tumorigenesis, glycolysis and metastasis. PMID: 27918549
- These findings show that SopB suppresses host cell apoptosis by binding to TRAF6 and preventing mitochondrial reactive oxygen species generation. PMID: 27473656
- HCV infection suppressed the host innate immune response through the induction of autophagic degradation of TRAF6. This finding provided important information for further understanding how HCV evades host immunity to establish persistence PMID: 27681126
- Vav3 is a novel TRAF6 interaction partner that functions in the activation of cooperative signaling between T6BSs and the IVVY motif in the RANK signaling complex. PMID: 27507811
- TRAF6 expression was decreased in tympanic membrane of otitis media patients. PMID: 27497395
- Peripheral blood levels of S100A8 and TRAF6 in SAE patients were elevated and might be related to the severity of SAE and predict the outcome of SAE. PMID: 27411454
- Low TRAF6 expression is associated with Graves' disease. PMID: 28219358
- MiR-146a regulates inflammatory macrophage infiltration in Polymyositis/Dermatomyositis by targeting TRAF6 and affecting the IL-17/ICAM-1 pathway. PMID: 27889748
- Study demonstrates that TRAF6 is upregulated in human lung cancer cells, and siRNA-induced TRAF6 knockdown inhibits the invasion of lung cancer cells and promotes apoptosis. PMID: 26847475
- High TRAF6 expression is associated with melanoma invasion and metastasis. PMID: 26769849
- The expression of TRAF6 was positively correlated with an advanced N stage and acted as a predictor of a poor prognosis in patients with gastric cancer PMID: 26627263
- DAT stabilized IkBa by inhibiting the phosphorylation of Ika by the IkB kinase (IKK) complex. DAT induced proteasomal degradation of TRAF6, and DAT suppressed IKKb-phosphorylation through downregulation of TRAF6 PMID: 26647777
- TRAF6 may be involved in cell migration, invasion, and apoptosis of SPC-A-1 cells, possibly through regulating the NF-B-CD24/CXCR4 pathway.. PMID: 26582220
- In 816 matched pairs of Han Chinese with and without ischemic stroke, TRAF6 rs5030416 was associated with increased susceptibility in various genetic models. No association was found for rs5030411, although it was associated with total cholesterol. PMID: 25999280
- Identify miR-146b-5p as a tumor suppressor and novel prognostic biomarker of gliomas, and suggest miR-146b-5p and TRAF6 as potential therapeutic candidates for malignant gliomas. PMID: 26320176
- miR146a has an important promoting effect on the apoptosis of granulosa cells by targeting IRAK1 and TRAF6 via the caspase cascade pathway PMID: 26151128
- Findings show that TRAF6 is involved in regulating HUVECs proliferation after intermittent hypoxia by modulating cell signaling downstream of AT1R which can be helpful in treating cardiovascular disorders for instance. PMID: 26223916
- These findings suggest that TRAF6 is required for BLyS-mediated NF-kappaB signaling in myeloma cells PMID: 26334396
- TIFAB loss increases TRAF6 protein and the dynamic range of TLR4 signaling PMID: 26458771
- Transmembrane motif T6BM2-mediated TRAF6 binding is required for MAVS-related antiviral response. PMID: 26385923
顯示更多
收起更多
-
亞細胞定位:Cytoplasm. Cytoplasm, cell cortex. Nucleus. Lipid droplet.
-
蛋白家族:TNF receptor-associated factor family, A subfamily
-
組織特異性:Expressed in heart, brain, placenta, lung, liver, skeletal muscle, kidney and pancreas.
-
數據庫鏈接:















