TRAF3IP3 Antibody
-
中文名稱:TRAF3IP3兔多克隆抗體
-
貨號:CSB-PA112350
-
規格:¥1100
-
圖片:
-
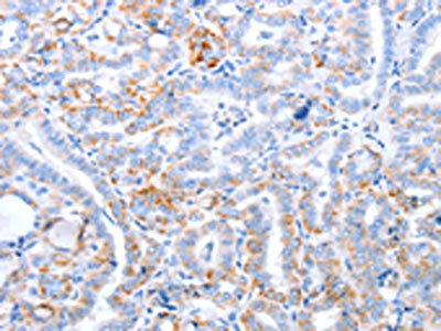
The image on the left is immunohistochemistry of paraffin-embedded Human thyroid cancer tissue using CSB-PA112350(TRAF3IP3 Antibody) at dilution 1/25, on the right is treated with fusion protein. (Original magnification: ×200)
-
Gel: 10%SDS-PAGE, Lysate: 40 μg, Lane: Jurkat cells, Primary antibody: CSB-PA112350(TRAF3IP3 Antibody) at dilution 1/400, Secondary antibody: Goat anti rabbit IgG at 1/8000 dilution, Exposure time: 1 second
-
-
其他:
產品詳情
-
Uniprot No.:
-
基因名:TRAF3IP3
-
別名:TRAF3IP3 antibody; T3JAM antibody; TRAF3-interacting JNK-activating modulator antibody; TRAF3-interacting protein 3 antibody
-
宿主:Rabbit
-
反應種屬:Human,Mouse
-
免疫原:Fusion protein of Human TRAF3IP3
-
免疫原種屬:Homo sapiens (Human)
-
標記方式:Non-conjugated
-
抗體亞型:IgG
-
純化方式:Antigen affinity purification
-
濃度:It differs from different batches. Please contact us to confirm it.
-
保存緩沖液:-20°C, pH7.4 PBS, 0.05% NaN3, 40% Glycerol
-
產品提供形式:Liquid
-
應用范圍:ELISA,WB,IHC
-
推薦稀釋比:
Application Recommended Dilution ELISA 1:1000-1:2000 WB 1:200-1:1000 IHC 1:15-1:50 -
Protocols:
-
儲存條件:Upon receipt, store at -20°C or -80°C. Avoid repeated freeze.
-
貨期:Basically, we can dispatch the products out in 1-3 working days after receiving your orders. Delivery time maybe differs from different purchasing way or location, please kindly consult your local distributors for specific delivery time.
-
用途:For Research Use Only. Not for use in diagnostic or therapeutic procedures.
相關產品
靶點詳情
-
功能:Adapter protein that plays essential roles in both innate and adaptive immunity. Plays a crucial role in the regulation of thymocyte development. Mechanistically, mediates TCR-stimulated activation through recruiting MAP2K1/MEK1 to the Golgi and, thereby, facilitating the interaction of MAP2K1/MEK1 with its activator BRAF. Plays also an essential role in regulatory T-cell stability and function by recruiting the serine-threonine phosphatase catalytic subunit (PPP2CA) to the lysosome, thereby facilitating the interaction of PP2Ac with the mTORC1 component RPTOR and restricting glycolytic metabolism. Positively regulates TLR4 signaling activity in macrophage-mediated inflammation by acting as a molecular clamp to facilitate LPS-induced translocation of TLR4 to lipid rafts. In response to viral infection, facilitates the recruitment of TRAF3 to MAVS within mitochondria leading to IRF3 activation and interferon production. However, participates in the maintenance of immune homeostasis and the prevention of overzealous innate immunity by promoting 'Lys-48'-dependent ubiquitination of TBK1.
-
基因功能參考文獻:
- This paper provides an alignment of the mouse and human proteins. PMID: 14572659
- TRAF3IP3 stimulated cell growth by modulating the c-Jun N-terminal kinase (JNK) pathway PMID: 17868742
-
亞細胞定位:Cell membrane. Golgi apparatus membrane; Single-pass type IV membrane protein. Lysosome membrane. Mitochondrion outer membrane.
-
數據庫鏈接:
Most popular with customers
-
-
YWHAB Recombinant Monoclonal Antibody
Applications: ELISA, WB, IHC, IF, FC
Species Reactivity: Human, Mouse, Rat
-
Phospho-YAP1 (S127) Recombinant Monoclonal Antibody
Applications: ELISA, WB, IHC
Species Reactivity: Human
-
-
-
-
-















