TPPP3 Antibody
-
中文名稱:TPPP3兔多克隆抗體
-
貨號:CSB-PA024117LA01HU
-
規格:¥440
-
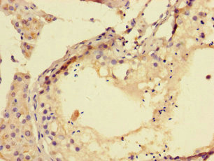
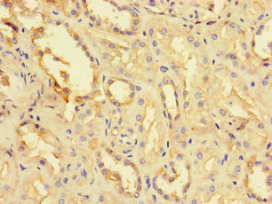
圖片:
-
其他:
產品詳情
-
產品名稱:Rabbit anti-Homo sapiens (Human) TPPP3 Polyclonal antibody
-
Uniprot No.:
-
基因名:TPPP3
-
別名:CGI-38 antibody; p20 antibody; p25gamma antibody; TPPP/p20 antibody; Tppp3 antibody; TPPP3_HUMAN antibody; Tubulin polymerization-promoting protein family member 3 antibody
-
宿主:Rabbit
-
反應種屬:Human
-
免疫原:Recombinant Human Tubulin polymerization-promoting protein family member 3 protein (2-176AA)
-
免疫原種屬:Homo sapiens (Human)
-
標記方式:Non-conjugated
本頁面中的產品,TPPP3 Antibody (CSB-PA024117LA01HU),的標記方式是Non-conjugated。對于TPPP3 Antibody,我們還提供其他標記。見下表:
-
克隆類型:Polyclonal
-
抗體亞型:IgG
-
純化方式:>95%, Protein G purified
-
濃度:It differs from different batches. Please contact us to confirm it.
-
保存緩沖液:Preservative: 0.03% Proclin 300
Constituents: 50% Glycerol, 0.01M PBS, PH 7.4 -
產品提供形式:Liquid
-
應用范圍:ELISA, IHC
-
推薦稀釋比:
Application Recommended Dilution IHC 1:20-1:200 -
Protocols:
-
儲存條件:Upon receipt, store at -20°C or -80°C. Avoid repeated freeze.
-
貨期:Basically, we can dispatch the products out in 1-3 working days after receiving your orders. Delivery time maybe differs from different purchasing way or location, please kindly consult your local distributors for specific delivery time.
-
用途:For Research Use Only. Not for use in diagnostic or therapeutic procedures.
相關產品
靶點詳情
-
功能:Regulator of microtubule dynamic that has microtubule bundling activity. Required for embryo implantation; possibly by regulating beta-catenin. Also required for decidualization via regulation of beta-catenin.
-
基因功能參考文獻:
- TPPP3 overexpression enhanced cell proliferation, migration and invasion and regulated the expression of Twist1, suggesting that aberrant expression of TPPP3 could induce a more metastatic phenotype in non-small-cell lung carcinoma. PMID: 30404076
- TPPP3 played a crucial role in cell mitosis by regulating centrosomes amplification and/or spindles translocation processes. PMID: 19633818
-
亞細胞定位:Cytoplasm. Cytoplasm, cytoskeleton.
-
蛋白家族:TPPP family
-
組織特異性:Expressed in endometrium during the mid-secretory phase (LH + 7) (at protein level).
-
數據庫鏈接:
Most popular with customers
-
-
YWHAB Recombinant Monoclonal Antibody
Applications: ELISA, WB, IHC, IF, FC
Species Reactivity: Human, Mouse, Rat
-
Phospho-YAP1 (S127) Recombinant Monoclonal Antibody
Applications: ELISA, WB, IHC
Species Reactivity: Human
-
-
-
-
-















