TOP1MT Antibody
-
中文名稱:TOP1MT兔多克隆抗體
-
貨號:CSB-PA853372LA01HU
-
規格:¥440
-
圖片:
-
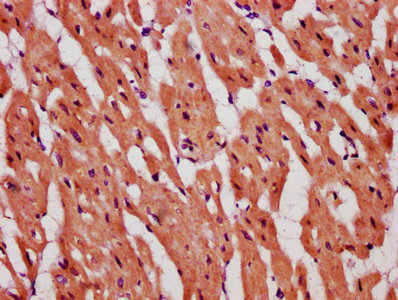
IHC image of CSB-PA853372LA01HU diluted at 1:600 and staining in paraffin-embedded human heart tissue performed on a Leica BondTM system. After dewaxing and hydration, antigen retrieval was mediated by high pressure in a citrate buffer (pH 6.0). Section was blocked with 10% normal goat serum 30min at RT. Then primary antibody (1% BSA) was incubated at 4°C overnight. The primary is detected by a biotinylated secondary antibody and visualized using an HRP conjugated SP system.
-
-
其他:
產品詳情
-
產品名稱:Rabbit anti-Homo sapiens (Human) TOP1MT Polyclonal antibody
-
Uniprot No.:
-
基因名:TOP1MT
-
別名:TOP1MT antibody; DNA topoisomerase I antibody; mitochondrial antibody; TOP1mt antibody; EC 5.6.2.1 antibody
-
宿主:Rabbit
-
反應種屬:Human
-
免疫原:Recombinant Human DNA topoisomerase I, mitochondrial protein (270-400AA)
-
免疫原種屬:Homo sapiens (Human)
-
標記方式:Non-conjugated
本頁面中的產品,TOP1MT Antibody (CSB-PA853372LA01HU),的標記方式是Non-conjugated。對于TOP1MT Antibody,我們還提供其他標記。見下表:
-
克隆類型:Polyclonal
-
抗體亞型:IgG
-
純化方式:>95%, Protein G purified
-
濃度:It differs from different batches. Please contact us to confirm it.
-
保存緩沖液:Preservative: 0.03% Proclin 300
Constituents: 50% Glycerol, 0.01M PBS, pH 7.4 -
產品提供形式:Liquid
-
應用范圍:ELISA, IHC
-
推薦稀釋比:
Application Recommended Dilution IHC 1:500-1:1000 -
Protocols:
-
儲存條件:Upon receipt, store at -20°C or -80°C. Avoid repeated freeze.
-
貨期:Basically, we can dispatch the products out in 1-3 working days after receiving your orders. Delivery time maybe differs from different purchasing way or location, please kindly consult your local distributors for specific delivery time.
-
用途:For Research Use Only. Not for use in diagnostic or therapeutic procedures.
相關產品
靶點詳情
-
功能:Releases the supercoiling and torsional tension of DNA introduced during duplication of mitochondrial DNA by transiently cleaving and rejoining one strand of the DNA duplex. Introduces a single-strand break via transesterification at a target site in duplex DNA. The scissile phosphodiester is attacked by the catalytic tyrosine of the enzyme, resulting in the formation of a DNA-(3'-phosphotyrosyl)-enzyme intermediate and the expulsion of a 5'-OH DNA strand. The free DNA strand then rotates around the intact phosphodiester bond on the opposing strand, thus removing DNA supercoils. Finally, in the religation step, the DNA 5'-OH attacks the covalent intermediate to expel the active-site tyrosine and restore the DNA phosphodiester backbone.
-
基因功能參考文獻:
- This report was the first to focus on the role of TOP1MT in tumors. We identified a new mechanism underlying TOP1MT-deficient gastric cancer (GC) metastasis and showed that TOP1MT played an important role in cancer cells. PMID: 28874393
- Data indicate that the different coordination geometry achieved by the two transition metal ions has an important role in modulating their efficiency as topoisomerase I inhibitors. PMID: 24172750
- DNA topoisomerase I stimulates BLM helicase activity on a nucleolar-relevant RNA:DNA hybrid. PMID: 23261817
- Data reported in this paper indicate that hTop IB does not confer to the cells radio-resistance, but the kinetic analysis of both DNA repair rate as well as colonies growth, demonstrates that the cells containing hTop IB show a more efficient rescue from IR injury. PMID: 23422507
-
亞細胞定位:Mitochondrion.
-
蛋白家族:Type IB topoisomerase family
-
組織特異性:Ubiquitous; highest in skeletal muscle, heart, brain and fetal liver.
-
數據庫鏈接:
Most popular with customers
-
-
YWHAB Recombinant Monoclonal Antibody
Applications: ELISA, WB, IHC, IF, FC
Species Reactivity: Human, Mouse, Rat
-
Phospho-YAP1 (S127) Recombinant Monoclonal Antibody
Applications: ELISA, WB, IHC
Species Reactivity: Human
-
-
-
-
-















