TNS4 Antibody
-
中文名稱:TNS4兔多克隆抗體
-
貨號:CSB-PA810319LA01HU
-
規格:¥440
-
圖片:
-
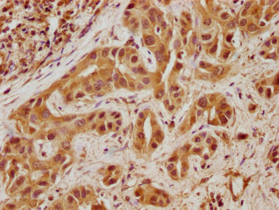
IHC image of CSB-PA810319LA01HU diluted at 1:100 and staining in paraffin-embedded human liver cancer performed on a Leica BondTM system. After dewaxing and hydration, antigen retrieval was mediated by high pressure in a citrate buffer (pH 6.0). Section was blocked with 10% normal goat serum 30min at RT. Then primary antibody (1% BSA) was incubated at 4°C overnight. The primary is detected by a biotinylated secondary antibody and visualized using an HRP conjugated SP system.
-
Western Blot
Positive WB detected in: Hela whole cell lysate, HepG2 whole cell lysate, PC-3 whole cell lysate, A549 whole cell lysate
All lanes: TNS4 antibody at 1:1000
Secondary
Goat polyclonal to rabbit IgG at 1/50000 dilution
Predicted band size: 77 kDa
Observed band size: 77 kDa
-
-
其他:
產品詳情
-
產品名稱:Rabbit anti-Homo sapiens (Human) TNS4 Polyclonal antibody
-
Uniprot No.:
-
基因名:TNS4
-
別名:C terminal tensin like antibody; C terminal tensin like protein antibody; C-terminal tensin-like protein antibody; CTEN antibody; FLJ14950 antibody; PP14434 antibody; TENS4_HUMAN antibody; Tensin 4 antibody; Tensin-4 antibody; Tns4 antibody
-
宿主:Rabbit
-
反應種屬:Human
-
免疫原:Recombinant Human Tensin-4 protein (20-231AA)
-
免疫原種屬:Homo sapiens (Human)
-
標記方式:Non-conjugated
本頁面中的產品,TNS4 Antibody (CSB-PA810319LA01HU),的標記方式是Non-conjugated。對于TNS4 Antibody,我們還提供其他標記。見下表:
-
克隆類型:Polyclonal
-
抗體亞型:IgG
-
純化方式:Antigen Affinity Purified
-
濃度:It differs from different batches. Please contact us to confirm it.
-
保存緩沖液:Preservative: 0.03% Proclin 300
Constituents: 50% Glycerol, 0.01M PBS, pH 7.4 -
產品提供形式:Liquid
-
應用范圍:ELISA, WB, IHC
-
推薦稀釋比:
Application Recommended Dilution WB 1:500-1:2000 IHC 1:20-1:200 -
Protocols:
-
儲存條件:Upon receipt, store at -20°C or -80°C. Avoid repeated freeze.
-
貨期:Basically, we can dispatch the products out in 1-3 working days after receiving your orders. Delivery time maybe differs from different purchasing way or location, please kindly consult your local distributors for specific delivery time.
-
用途:For Research Use Only. Not for use in diagnostic or therapeutic procedures.
相關產品
靶點詳情
-
功能:May be involved in cell migration, cartilage development and in linking signal transduction pathways to the cytoskeleton. May promote apoptosis, via its cleavage by caspase-3.
-
基因功能參考文獻:
- CTEN activated the expression of TGFB1, thereby prompting epithelial-mesenchymal transition in lung adenocarcinoma cancer cells. PMID: 29985912
- Overexpression of the TNS4 gene is a useful independent predictor of outcomes in patients with stage II/III gastric cancer who undergo surgery and receive adjuvant chemotherapy with S-1. PMID: 29102927
- Cten-Snail signaling pathway contributes to cell motility in colorectal cancer (CRC), mediated by the stabilization of Snail protein. PMID: 28691764
- Conclude that in colorectal cancer, Cten is upregulated by EGFR and Kras but downregulated by STAT3. PMID: 26852686
- Tensin4 is up-regulated by EGF-induced ERK1/2 activity and promotes cell proliferation and migration in hepatocellular carcinoma PMID: 26035355
- Cten expression mediates invasion of human lung cancer cells and is upregulated by epidermal growth factor via STAT3. PMID: 25439778
- Findings indicate that induction of Cten protein expression is a relatively early event in melanoma progression, and that Cten has the potential to serve as a prognostic marker for primary melanoma patients. PMID: 24244691
- Up-regulated cten modulates cell migration induced by FGF2. PMID: 23625726
- Significant correlation between MET and TNS4 expression in human colon carcinoma and ovarian carcinoma suggests TNS4 plays a critical role in MET stability in cancer. PMID: 24814316
- CTEN regulates EGFR protein levels through a posttranslational mechanism. PMID: 23774213
- Phylogenetic analysis, expression patterns, and transcriptional regulation of human CTEN gene. PMID: 23500447
- Show an oncogenic role for CTEN in pancreatic cancer through promotion of colony formation and cell motility. PMID: 22750970
- conclude that, in the colon and pancreas, Cten is a downstream target of Kras and may be a mechanism through which Kras regulates of cell motility PMID: 21698197
- Cten expression is of prognostic significance in colorectal carcinoma, and delineate a Cten-ILK pathway controlling cell motility and possibly promoting metastasis. PMID: 21339732
- CTEN (C-terminal tensin-like), a novel oncogene overexpressed in invasive breast carcinoma. PMID: 20390342
- Increased cten mRNA expression was correlated with tumor progression in lung cancers PMID: 12711115
- Cten/GAPDH mRNA expression was correlated with evidence of tumor progression in thymoma. PMID: 15001839
- These results provide a novel mechanism whereby the SH2 domain of cten-mediated focal adhesion localization of DLC-1 plays an essential role in its tumor suppression activity. PMID: 17190795
- Expression of CTEN correlates with high tumor grade and metastasis to lymph nodes, suggesting that CTEN may contribute to tumor invasiveness. PMID: 17765673
- TNS4 mRNA expression was significantly higher in gastric cancer. PMID: 18612693
- Cten is a novel nuclear partner of beta-catenin, and has an oncogenic activity in colon cancers. PMID: 19487278
- CTEN plays an important role in paclitaxel sensitivity, and CTEN expression level may be a prognostic predictive factor for prostate cancer patients. PMID: 19725034
顯示更多
收起更多
-
亞細胞定位:Cell junction, focal adhesion. Cytoplasm, cytoskeleton.
-
組織特異性:Prostate and placenta. Down regulated in prostate cancer.
-
數據庫鏈接:
Most popular with customers
-
-
Phospho-YAP1 (S127) Recombinant Monoclonal Antibody
Applications: ELISA, WB, IHC
Species Reactivity: Human
-
-
-
-
-
-















