TNS3 Antibody
-
中文名稱:TNS3兔多克隆抗體
-
貨號:CSB-PA731561ESR1HU
-
規格:¥440
-
圖片:
-
其他:
產品詳情
-
產品名稱:Rabbit anti-Homo sapiens (Human) TNS3 Polyclonal antibody
-
Uniprot No.:
-
基因名:TNS3
-
別名:TEM 6 antibody; TEM6 antibody; TENS 1 antibody; TENS 3 antibody; TENS1 antibody; TENS3 antibody; TENS3_HUMAN antibody; Tensin-3 antibody; tensin-like SH2 domain containing 1 antibody; Tensin-like SH2 domain containing protein 1 antibody; Tensin-like SH2 domain- containing protein 1 antibody; Tensin-like SH2 domain-containing protein 1 antibody; thyroid specific PTB domain protein antibody; TNS 3 antibody; TNS3 antibody; TPP antibody; Tumor endothelial marker 6 antibody
-
宿主:Rabbit
-
反應種屬:Human
-
免疫原:Recombinant Human Tensin-3 protein (1-240AA)
-
免疫原種屬:Homo sapiens (Human)
-
標記方式:Non-conjugated
-
克隆類型:Polyclonal
-
抗體亞型:IgG
-
純化方式:Antigen Affinity Purified
-
濃度:It differs from different batches. Please contact us to confirm it.
-
保存緩沖液:PBS with 0.02% sodium azide, 50% glycerol, pH7.3.
-
產品提供形式:Liquid
-
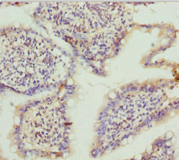
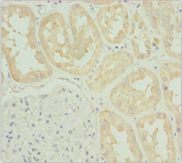
應用范圍:ELISA, IHC
-
推薦稀釋比:
Application Recommended Dilution IHC 1:20-1:200 -
Protocols:
-
儲存條件:Upon receipt, store at -20°C or -80°C. Avoid repeated freeze.
-
貨期:Basically, we can dispatch the products out in 1-3 working days after receiving your orders. Delivery time maybe differs from different purchasing way or location, please kindly consult your local distributors for specific delivery time.
-
用途:For Research Use Only. Not for use in diagnostic or therapeutic procedures.
相關產品
靶點詳情
-
功能:May play a role in actin remodeling. Involved in the dissociation of the integrin-tensin-actin complex. EGF activates TNS4 and down-regulates TNS3 which results in capping the tail of ITGB1. Seems to be involved in mammary cell migration. May be involved in cell migration and bone development.
-
基因功能參考文獻:
- Our work identifies Tns3 as a crucial focal adhesion component regulated by, and functionally contributing to, the switch between adhesive and non-adhesive states in MDA-MB-468 cancer cells. PMID: 28515231
- A phosphorylation-mediated molecular switch comprising DLC), TNS3, PTEN and PI3K controls the spatiotemporal activation of Rac1 and RhoA, thereby initiating directional cell migration induced by growth factors. PMID: 26166433
- The depletion of tensin-3 suppressed breast cancer cell invasiveness. PMID: 25814362
- The phenotypic changes observed in proband cells may arise from TNS3 haploinsufficiency, causing partial loss of full-length Tensin3 protein. Tensin3 plays a rol in cytoskeletal organisation and cell motility. PMID: 23809228
- These results reveal a differential methylation pattern in the TNS3 promoter occurring in human renal cell carcinoma. PMID: 23803643
- Tensin3 may function as a platform for the disassembly of EGF-related signaling complexes at focal adhesions. PMID: 15140944
- Data show that EGF downregulates tensin-3 expression, and concomitantly upregulates cten, a tensin family member that lacks the actin-binding domain. PMID: 17643115
- TNS3-EXOC6B and EXOC6B-TNS3 fusion transcripts are detected in a premature male newborn with a complex multisystemic phenotype associated with a balanced translocation. PMID: 18424204
- Tensin3 mRNA is expressed abundantly in all twelve functional adenomas at almost the same level as in normal thyroid tissue. PMID: 18561090
- Tensins may represent a novel group of metastasis suppressors in the kidney, the loss of which leads to greater tumor cell motility and consequent metastasis. PMID: 19194507
顯示更多
收起更多
-
亞細胞定位:Cell junction, focal adhesion.
-
組織特異性:Expressed in umbilical vein endothelial cells, epithelial cells, and fibroblasts cells (at protein level). Highly expressed in thyroid, kidney and placenta. Low expression in heart, skeletal muscle, spleen, liver, and lung. Expressed in tumor endothelial
-
數據庫鏈接:
Most popular with customers
-
-
Phospho-YAP1 (S127) Recombinant Monoclonal Antibody
Applications: ELISA, WB, IHC
Species Reactivity: Human
-
-
-
-
-
-















