TNP2 Antibody
-
中文名稱:TNP2兔多克隆抗體
-
貨號:CSB-PA024019LA01HU
-
規格:¥440
-
圖片:
-
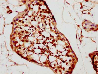
IHC image of CSB-PA024019LA01HU diluted at 1:200 and staining in paraffin-embedded human testis tissue performed on a Leica BondTM system. After dewaxing and hydration, antigen retrieval was mediated by high pressure in a citrate buffer (pH 6.0). Section was blocked with 10% normal goat serum 30min at RT. Then primary antibody (1% BSA) was incubated at 4°C overnight. The primary is detected by a biotinylated secondary antibody and visualized using an HRP conjugated SP system.
-
Immunofluorescence staining of Hela cells with CSB-PA024019LA01HU at 1:66, counter-stained with DAPI. The cells were fixed in 4% formaldehyde, permeabilized using 0.2% Triton X-100 and blocked in 10% normal Goat Serum. The cells were then incubated with the antibody overnight at 4°C. The secondary antibody was Alexa Fluor 488-congugated AffiniPure Goat Anti-Rabbit IgG(H+L).
-
-
其他:
產品詳情
-
產品名稱:Rabbit anti-Homo sapiens (Human) TNP2 Polyclonal antibody
-
Uniprot No.:
-
基因名:TNP2
-
別名:TNP2 antibody; Nuclear transition protein 2 antibody; TP-2 antibody; TP2 antibody
-
宿主:Rabbit
-
反應種屬:Human
-
免疫原:Recombinant Human Nuclear transition protein 2 protein (1-138AA)
-
免疫原種屬:Homo sapiens (Human)
-
標記方式:Non-conjugated
本頁面中的產品,TNP2 Antibody (CSB-PA024019LA01HU),的標記方式是Non-conjugated。對于TNP2 Antibody,我們還提供其他標記。見下表:
-
克隆類型:Polyclonal
-
抗體亞型:IgG
-
純化方式:>95%, Protein G purified
-
濃度:It differs from different batches. Please contact us to confirm it.
-
保存緩沖液:Preservative: 0.03% Proclin 300
Constituents: 50% Glycerol, 0.01M PBS, pH 7.4 -
產品提供形式:Liquid
-
應用范圍:ELISA, IHC, IF
-
推薦稀釋比:
Application Recommended Dilution IHC 1:200-1:500 IF 1:50-1:200 -
Protocols:
-
儲存條件:Upon receipt, store at -20°C or -80°C. Avoid repeated freeze.
-
貨期:Basically, we can dispatch the products out in 1-3 working days after receiving your orders. Delivery time maybe differs from different purchasing way or location, please kindly consult your local distributors for specific delivery time.
-
用途:For Research Use Only. Not for use in diagnostic or therapeutic procedures.
相關產品
靶點詳情
-
功能:Plays a key role in the replacement of histones to protamine in the elongating spermatids of mammals. In condensing spermatids, loaded onto the nucleosomes, where it promotes the recruitment and processing of protamines, which are responsible for histone eviction.
-
基因功能參考文獻:
- the quantity of PRM1, PRM2, and TNP2 transcripts and the PRM1/PRM2 mRNA ratio affect spermiogenesis, sperm morphology PMID: 25536093
- MiR-122 may influence spermatozoa-like cells by suppressing TNP2 expression and inhibiting the expression of proteins associated with sperm development. PMID: 23327642
- analysis of the TNP2 gene did not show any association with infertility. PMID: 20522125
- Acetylation of transition protein 2 (TP2) by KAT3B (p300) alters its DNA condensation property and interaction with putative histone chaperone NPM3. PMID: 19710011
-
亞細胞定位:Nucleus. Chromosome.
-
蛋白家族:Nuclear transition protein 2 family
-
組織特異性:Expressed by spermatids (at protein level).
-
數據庫鏈接:
Most popular with customers
-
-
YWHAB Recombinant Monoclonal Antibody
Applications: ELISA, WB, IHC, IF, FC
Species Reactivity: Human, Mouse, Rat
-
Phospho-YAP1 (S127) Recombinant Monoclonal Antibody
Applications: ELISA, WB, IHC
Species Reactivity: Human
-
-
-
-
-















